About   Help   FAQ
Gene Expression Data
Assay Details
Assay
Reference: J:228563 Koscielny G, et al., The International Mouse Phenotyping Consortium Web Portal, a unified point of access for knockout mice and related phenotyping data. Nucleic Acids Res. 2014 Jan;42(Database issue):D802-9
Assay type: In situ reporter (knock in)
MGI Accession ID: MGI:6691695
Gene symbol: Kcng4
Gene name: potassium voltage-gated channel, subfamily G, member 4
Reporter: lacZ
Direct Detection
Results
Specimen UC Davis_1880561: postnatal adult; Kcng4tm1.1(KOMP)Vlcg/Kcng4+ (more )
Structure Level Pattern Image Note
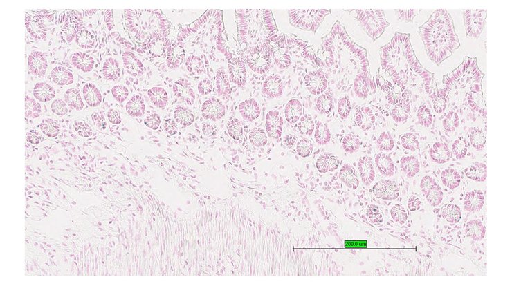
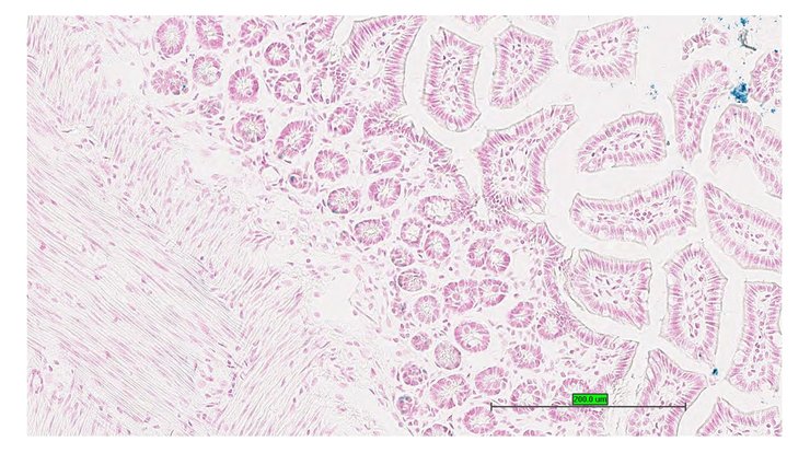
TS28: ileum Present UC Davis_1880561

Specimen UC Davis_1880562: postnatal adult; Kcng4tm1.1(KOMP)Vlcg/Kcng4+ (more )
Structure Level Pattern Image Note
TS28: spinal cord Present UC Davis_1880562

Specimen UC Davis_1880563: postnatal adult; Kcng4tm1.1(KOMP)Vlcg/Kcng4+ (more )
Structure Level Pattern Image Note
TS28: spinal cord Present UC Davis_1880563

Specimen UC Davis_1880564: postnatal adult; Kcng4tm1.1(KOMP)Vlcg/Kcng4+ (more )
Structure Level Pattern Image Note
TS28: spinal cord Present UC Davis_1880564

Specimen UC Davis_1880565: postnatal adult; Kcng4tm1.1(KOMP)Vlcg/Kcng4+ (more )
Structure Level Pattern Image Note
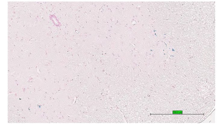
TS28: midbrain Present UC Davis_1880565

Specimen UC Davis_1880566: postnatal adult; Kcng4tm1.1(KOMP)Vlcg/Kcng4+ (more )
Structure Level Pattern Image Note
TS28: midbrain Present UC Davis_1880566

Specimen UC Davis_1880569: postnatal adult; Kcng4tm1.1(KOMP)Vlcg/Kcng4+ (more )
Structure Level Pattern Image Note
TS28: cerebellum Present UC Davis_1880569

Specimen UC Davis_1880546: postnatal adult; Kcng4tm1.1(KOMP)Vlcg/Kcng4+ (more )
Structure Level Pattern Image Note
TS28: esophagus Present UC Davis_1880546

Specimen UC Davis_1880548: postnatal adult; Kcng4tm1.1(KOMP)Vlcg/Kcng4+ (more )
Structure Level Pattern Image Note
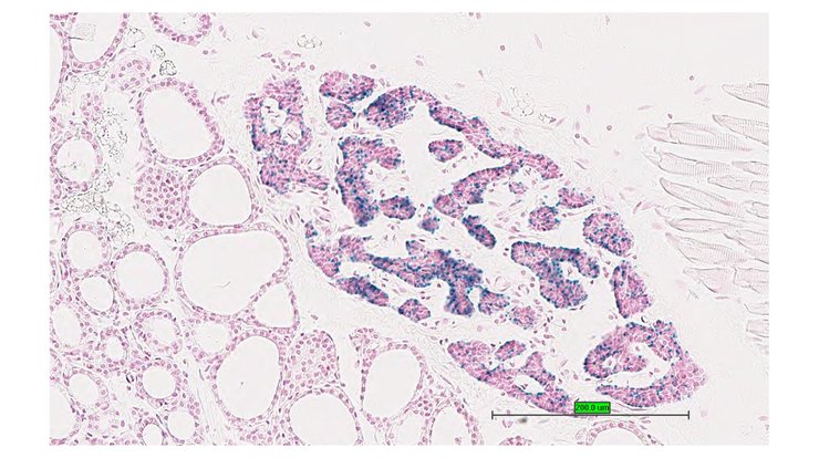
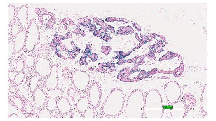
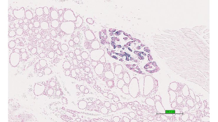
TS28: parathyroid gland Present UC Davis_1880548

Specimen UC Davis_1880549: postnatal adult; Kcng4tm1.1(KOMP)Vlcg/Kcng4+ (more )
Structure Level Pattern Image Note
TS28: parathyroid gland Present UC Davis_1880549

Specimen UC Davis_1880550: postnatal adult; Kcng4tm1.1(KOMP)Vlcg/Kcng4+ (more )
Structure Level Pattern Image Note
TS28: parathyroid gland Present UC Davis_1880550

Specimen UC Davis_1880551: postnatal adult; Kcng4tm1.1(KOMP)Vlcg/Kcng4+ (more )
Structure Level Pattern Image Note
TS28: ileum Present UC Davis_1880551

Specimen UC Davis_1880552: postnatal adult; Kcng4tm1.1(KOMP)Vlcg/Kcng4+ (more )
Structure Level Pattern Image Note
TS28: ileum Present UC Davis_1880552

Specimen UC Davis_1880553: postnatal adult; Kcng4tm1.1(KOMP)Vlcg/Kcng4+ (more )
Structure Level Pattern Image Note
TS28: spinal cord Present UC Davis_1880553

Specimen UC Davis_1880554: postnatal adult; Kcng4tm1.1(KOMP)Vlcg/Kcng4+ (more )
Structure Level Pattern Image Note
TS28: spinal cord Present UC Davis_1880554

Specimen UC Davis_1880559: postnatal adult; Kcng4tm1.1(KOMP)Vlcg/Kcng4+ (more )
Structure Level Pattern Image Note
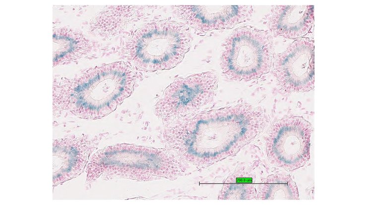
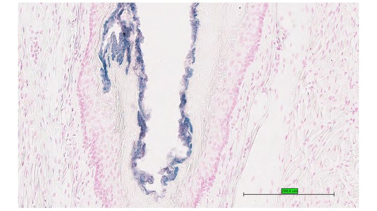
TS28: epididymis Present UC Davis_1880559

Specimen UC Davis_1880560: postnatal adult; Kcng4tm1.1(KOMP)Vlcg/Kcng4+ (more )
Structure Level Pattern Image Note
TS28: ductus deferens Present UC Davis_1880560 vas deferens


Contributing Projects:
Mouse Genome Database (MGD), Gene Expression Database (GXD), Mouse Models of Human Cancer database (MMHCdb) (formerly Mouse Tumor Biology (MTB)), Gene Ontology (GO)
Citing These Resources
Funding Information
Warranty Disclaimer, Privacy Notice, Licensing, & Copyright
Send questions and comments to User Support.
last database update
12/30/2025
MGI 6.24
The Jackson Laboratory