About   Help   FAQ
Gene Expression Data
Assay Details
Assay
Reference: J:228563 Koscielny G, et al., The International Mouse Phenotyping Consortium Web Portal, a unified point of access for knockout mice and related phenotyping data. Nucleic Acids Res. 2014 Jan;42(Database issue):D802-9
Assay type: In situ reporter (knock in)
MGI Accession ID: MGI:6691690
Gene symbol: Nepn
Gene name: nephrocan
Reporter: lacZ
Direct Detection
Results
Specimen UC Davis_1883680: postnatal adult; Nepntm1b(KOMP)Wtsi/Nepn+ (more )
Structure Level Pattern Image Note
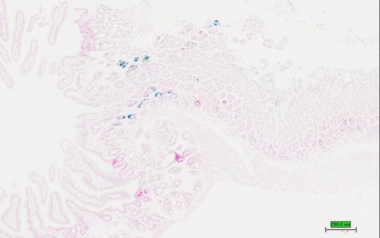
TS28: stomach Present UC Davis_1883680

Specimen UC Davis_1883681: postnatal adult; Nepntm1b(KOMP)Wtsi/Nepn+ (more )
Structure Level Pattern Image Note
TS28: stomach Present UC Davis_1883681

Specimen UC Davis_1883682: postnatal adult; Nepntm1b(KOMP)Wtsi/Nepn+ (more )
Structure Level Pattern Image Note
TS28: duodenum Present UC Davis_1883682

Specimen UC Davis_1883683: postnatal adult; Nepntm1b(KOMP)Wtsi/Nepn+ (more )
Structure Level Pattern Image Note
TS28: ileum Present UC Davis_1883683

Specimen UC Davis_1883684: postnatal adult; Nepntm1b(KOMP)Wtsi/Nepn+ (more )
Structure Level Pattern Image Note
TS28: testis Present UC Davis_1883684

Specimen UC Davis_1883685: postnatal adult; Nepntm1b(KOMP)Wtsi/Nepn+ (more )
Structure Level Pattern Image Note
TS28: epididymis Present UC Davis_1883685

Specimen UC Davis_1883686: postnatal adult; Nepntm1b(KOMP)Wtsi/Nepn+ (more )
Structure Level Pattern Image Note
TS28: prostate gland Present UC Davis_1883686

Specimen UC Davis_1883687: postnatal adult; Nepntm1b(KOMP)Wtsi/Nepn+ (more )
Structure Level Pattern Image Note
TS28: ductus deferens Present UC Davis_1883687 vas deferens


Contributing Projects:
Mouse Genome Database (MGD), Gene Expression Database (GXD), Mouse Models of Human Cancer database (MMHCdb) (formerly Mouse Tumor Biology (MTB)), Gene Ontology (GO)
Citing These Resources
Funding Information
Warranty Disclaimer, Privacy Notice, Licensing, & Copyright
Send questions and comments to User Support.
last database update
12/30/2025
MGI 6.24
The Jackson Laboratory