About   Help   FAQ
Gene Expression Data
Assay Details
Assay
Reference: J:228563 Koscielny G, et al., The International Mouse Phenotyping Consortium Web Portal, a unified point of access for knockout mice and related phenotyping data. Nucleic Acids Res. 2014 Jan;42(Database issue):D802-9
Assay type: In situ reporter (knock in)
MGI Accession ID: MGI:6691679
Gene symbol: Ptpmt1
Gene name: protein tyrosine phosphatase, mitochondrial 1
Reporter: lacZ
Direct Detection
Results
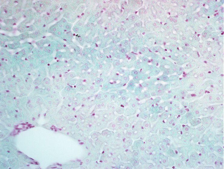
Specimen TCP_2459787: postnatal adult; Ptpmt1tm1.1(KOMP)Vlcg/Ptpmt1+ (more )
Structure Level Pattern Image Note
TS28: liver Present TCP_2459787

Specimen TCP_2459788: postnatal adult; Ptpmt1tm1.1(KOMP)Vlcg/Ptpmt1+ (more )
Structure Level Pattern Image Note
TS28: liver Present TCP_2459788

Specimen TCP_2459783: postnatal adult; Ptpmt1tm1.1(KOMP)Vlcg/Ptpmt1+ (more )
Structure Level Pattern Image Note
TS28: liver Present TCP_2459783

Specimen TCP_2459784: postnatal adult; Ptpmt1tm1.1(KOMP)Vlcg/Ptpmt1+ (more )
Structure Level Pattern Image Note
TS28: liver Present TCP_2459784

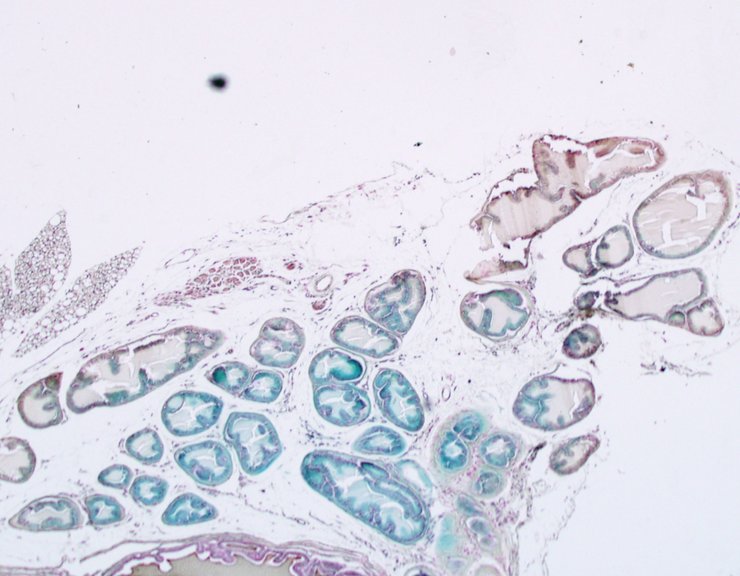
Specimen TCP_2459785: postnatal adult; Ptpmt1tm1.1(KOMP)Vlcg/Ptpmt1+ (more )
Structure Level Pattern Image Note
TS28: prostate gland Present TCP_2459785

Specimen TCP_2459786: postnatal adult; Ptpmt1tm1.1(KOMP)Vlcg/Ptpmt1+ (more )
Structure Level Pattern Image Note
TS28: prostate gland Present TCP_2459786


Contributing Projects:
Mouse Genome Database (MGD), Gene Expression Database (GXD), Mouse Models of Human Cancer database (MMHCdb) (formerly Mouse Tumor Biology (MTB)), Gene Ontology (GO)
Citing These Resources
Funding Information
Warranty Disclaimer, Privacy Notice, Licensing, & Copyright
Send questions and comments to User Support.
last database update
01/28/2026
MGI 6.24
The Jackson Laboratory