About   Help   FAQ
Gene Expression Data
Assay Details
Assay
Reference: J:228563 Koscielny G, et al., The International Mouse Phenotyping Consortium Web Portal, a unified point of access for knockout mice and related phenotyping data. Nucleic Acids Res. 2014 Jan;42(Database issue):D802-9
Assay type: In situ reporter (knock in)
MGI Accession ID: MGI:6691673
Gene symbol: Riiad1
Gene name: regulatory subunit of type II PKA R-subunit (RIIa) domain containing 1
Reporter: lacZ
Direct Detection
Results
Specimen JAX_1128049: embryonic day 12.5; Riiad1tm1b(KOMP)Wtsi/Riiad1+ (more )
Structure Level Pattern Image Note
TS20: embryo Present JAX_1128049

Specimen JAX_1128051: embryonic day 12.5; Riiad1tm1b(KOMP)Wtsi/Riiad1+ (more )
Structure Level Pattern Image Note
TS20: embryo Present JAX_1128051

Specimen JAX_1128053: embryonic day 12.5; Riiad1tm1b(KOMP)Wtsi/Riiad1+ (more )
Structure Level Pattern Image Note
TS20: embryo Present JAX_1128053

Specimen JAX_1128055: embryonic day 12.5; Riiad1tm1b(KOMP)Wtsi/Riiad1+ (more )
Structure Level Pattern Image Note
TS20: embryo Present JAX_1128055

Specimen JAX_1128057: embryonic day 12.5; Riiad1tm1b(KOMP)Wtsi/Riiad1+ (more )
Structure Level Pattern Image Note
TS20: embryo Present JAX_1128057

Specimen JAX_1128059: embryonic day 12.5; Riiad1tm1b(KOMP)Wtsi/Riiad1+ (more )
Structure Level Pattern Image Note
TS20: embryo Present JAX_1128059

Specimen JAX_1128061: embryonic day 12.5; Riiad1tm1b(KOMP)Wtsi/Riiad1+ (more )
Structure Level Pattern Image Note
TS20: embryo Present JAX_1128061

Specimen JAX_1128063: embryonic day 12.5; Riiad1tm1b(KOMP)Wtsi/Riiad1+ (more )
Structure Level Pattern Image Note
TS20: embryo Present JAX_1128063

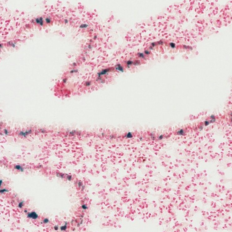
Specimen JAX_1372209: postnatal adult; Riiad1tm1b(KOMP)Wtsi/Riiad1+ (more )
Structure Level Pattern Image Note
TS28: lung Present JAX_1372209

Specimen JAX_1372210: postnatal adult; Riiad1tm1b(KOMP)Wtsi/Riiad1+ (more )
Structure Level Pattern Image Note
TS28: trachea Present JAX_1372210

Specimen JAX_1372211: postnatal adult; Riiad1tm1b(KOMP)Wtsi/Riiad1+ (more )
Structure Level Pattern Image Note
TS28: oviduct Present JAX_1372211

Specimen JAX_1372202: postnatal adult; Riiad1tm1b(KOMP)Wtsi/Riiad1+ (more )
Structure Level Pattern Image Note
TS28: epididymis Present JAX_1372202

Specimen JAX_1372203: postnatal adult; Riiad1tm1b(KOMP)Wtsi/Riiad1+ (more )
Structure Level Pattern Image Note
TS28: small intestine Present JAX_1372203

Specimen JAX_1372204: postnatal adult; Riiad1tm1b(KOMP)Wtsi/Riiad1+ (more )
Structure Level Pattern Image Note
TS28: large intestine Present JAX_1372204

Specimen JAX_1372205: postnatal adult; Riiad1tm1b(KOMP)Wtsi/Riiad1+ (more )
Structure Level Pattern Image Note
TS28: testis Present JAX_1372205

Specimen JAX_1372206: postnatal adult; Riiad1tm1b(KOMP)Wtsi/Riiad1+ (more )
Structure Level Pattern Image Note
TS28: stomach Present JAX_1372206

Specimen JAX_1372207: postnatal adult; Riiad1tm1b(KOMP)Wtsi/Riiad1+ (more )
Structure Level Pattern Image Note
TS28: brain Present JAX_1372207

Specimen JAX_1372208: postnatal adult; Riiad1tm1b(KOMP)Wtsi/Riiad1+ (more )
Structure Level Pattern Image Note
TS28: adrenal gland Present JAX_1372208


Contributing Projects:
Mouse Genome Database (MGD), Gene Expression Database (GXD), Mouse Models of Human Cancer database (MMHCdb) (formerly Mouse Tumor Biology (MTB)), Gene Ontology (GO)
Citing These Resources
Funding Information
Warranty Disclaimer, Privacy Notice, Licensing, & Copyright
Send questions and comments to User Support.
last database update
03/24/2026
MGI 6.24
The Jackson Laboratory