About   Help   FAQ
Gene Expression Data
Assay Details
Assay
Reference: J:228563 Koscielny G, et al., The International Mouse Phenotyping Consortium Web Portal, a unified point of access for knockout mice and related phenotyping data. Nucleic Acids Res. 2014 Jan;42(Database issue):D802-9
Assay type: In situ reporter (knock in)
MGI Accession ID: MGI:6691662
Gene symbol: Sptssb
Gene name: serine palmitoyltransferase, small subunit B
Reporter: lacZ
Direct Detection
Results
Specimen JAX_1800915: postnatal adult; Sptssbtm1b(KOMP)Mbp/Sptssb+ (more )
Structure Level Pattern Image Note
TS28: thalamus Present JAX_1800915

Specimen JAX_1800916: postnatal adult; Sptssbtm1b(KOMP)Mbp/Sptssb+ (more )
Structure Level Pattern Image Note
TS28: midbrain Present JAX_1800916

Specimen JAX_1800917: postnatal adult; Sptssbtm1b(KOMP)Mbp/Sptssb+ (more )
Structure Level Pattern Image Note
TS28: bladder Present JAX_1800917

Specimen JAX_1800918: postnatal adult; Sptssbtm1b(KOMP)Mbp/Sptssb+ (more )
Structure Level Pattern Image Note
TS28: cerebellum Present JAX_1800918

Specimen JAX_1800919: postnatal adult; Sptssbtm1b(KOMP)Mbp/Sptssb+ (more )
Structure Level Pattern Image Note
TS28: brainstem Present JAX_1800919

Specimen JAX_1800920: postnatal adult; Sptssbtm1b(KOMP)Mbp/Sptssb+ (more )
Structure Level Pattern Image Note
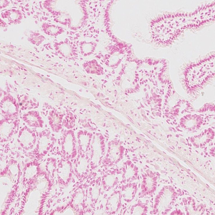
TS28: small intestine Present JAX_1800920

Specimen JAX_1800921: postnatal adult; Sptssbtm1b(KOMP)Mbp/Sptssb+ (more )
Structure Level Pattern Image Note
TS28: spinal cord Present JAX_1800921

Specimen JAX_1800922: postnatal adult; Sptssbtm1b(KOMP)Mbp/Sptssb+ (more )
Structure Level Pattern Image Note
TS28: esophagus Present JAX_1800922

Specimen JAX_1800923: postnatal adult; Sptssbtm1b(KOMP)Mbp/Sptssb+ (more )
Structure Level Pattern Image Note
TS28: stomach Present JAX_1800923

Specimen JAX_1800924: postnatal adult; Sptssbtm1b(KOMP)Mbp/Sptssb+ (more )
Structure Level Pattern Image Note
TS28: ovary Present JAX_1800924

Specimen JAX_1800925: postnatal adult; Sptssbtm1b(KOMP)Mbp/Sptssb+ (more )
Structure Level Pattern Image Note
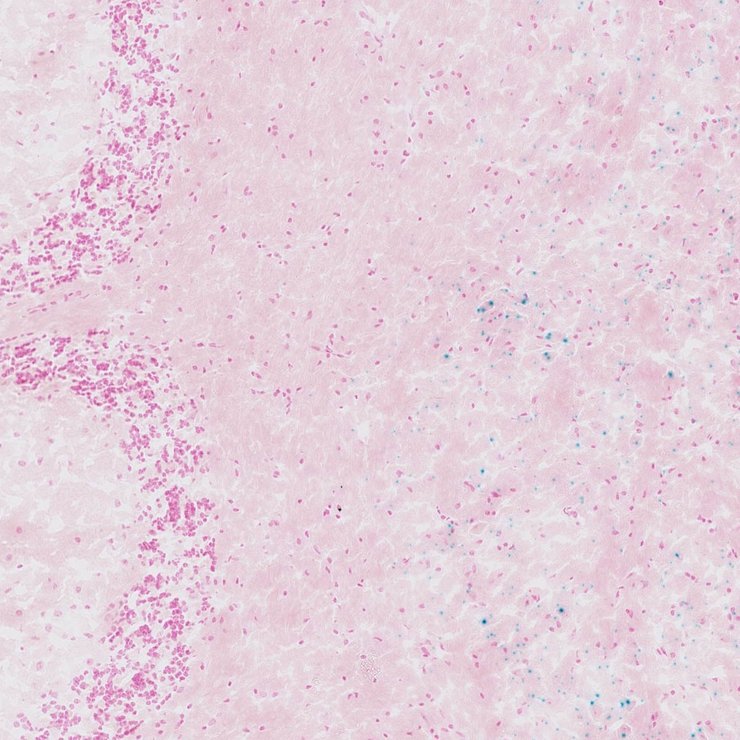
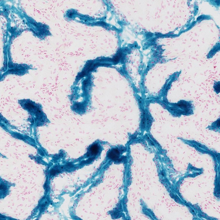
TS28: metanephros Present JAX_1800925 kidney

Specimen JAX_1800926: postnatal adult; Sptssbtm1b(KOMP)Mbp/Sptssb+ (more )
Structure Level Pattern Image Note
TS28: eye Present JAX_1800926

Specimen JAX_1800927: postnatal adult; Sptssbtm1b(KOMP)Mbp/Sptssb+ (more )
Structure Level Pattern Image Note
TS28: brain Present JAX_1800927

Specimen JAX_1800914: postnatal adult; Sptssbtm1b(KOMP)Mbp/Sptssb+ (more )
Structure Level Pattern Image Note
TS28: testis Present JAX_1800914


Contributing Projects:
Mouse Genome Database (MGD), Gene Expression Database (GXD), Mouse Models of Human Cancer database (MMHCdb) (formerly Mouse Tumor Biology (MTB)), Gene Ontology (GO)
Citing These Resources
Funding Information
Warranty Disclaimer, Privacy Notice, Licensing, & Copyright
Send questions and comments to User Support.
last database update
12/30/2025
MGI 6.24
The Jackson Laboratory