About   Help   FAQ
Gene Expression Data
Assay Details
Assay
Reference: J:228563 Koscielny G, et al., The International Mouse Phenotyping Consortium Web Portal, a unified point of access for knockout mice and related phenotyping data. Nucleic Acids Res. 2014 Jan;42(Database issue):D802-9
Assay type: In situ reporter (knock in)
MGI Accession ID: MGI:6691640
Gene symbol: Crbn
Gene name: cereblon
Reporter: lacZ
Direct Detection
Results
Specimen UC Davis_1870689: postnatal adult; Crbntm1b(KOMP)Wtsi/Crbn+ (more )
Structure Level Pattern Image Note
TS28: submandibular gland Present UC Davis_1870689

Specimen UC Davis_1870690: postnatal adult; Crbntm1b(KOMP)Wtsi/Crbn+ (more )
Structure Level Pattern Image Note
TS28: submandibular gland Present UC Davis_1870690

Specimen UC Davis_1870691: postnatal adult; Crbntm1b(KOMP)Wtsi/Crbn+ (more )
Structure Level Pattern Image Note
TS28: sublingual gland Present UC Davis_1870691

Specimen UC Davis_1870692: postnatal adult; Crbntm1b(KOMP)Wtsi/Crbn+ (more )
Structure Level Pattern Image Note
TS28: parotid gland Present UC Davis_1870692

Specimen UC Davis_1870693: postnatal adult; Crbntm1b(KOMP)Wtsi/Crbn+ (more )
Structure Level Pattern Image Note
TS28: ileum Present UC Davis_1870693

Specimen UC Davis_1870694: postnatal adult; Crbntm1b(KOMP)Wtsi/Crbn+ (more )
Structure Level Pattern Image Note
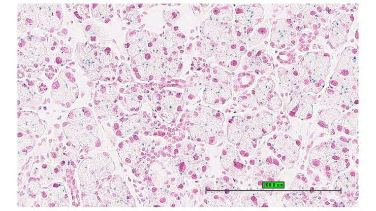
TS28: metanephros Present UC Davis_1870694 kidney

Specimen UC Davis_1870695: postnatal adult; Crbntm1b(KOMP)Wtsi/Crbn+ (more )
Structure Level Pattern Image Note
TS28: metanephros Present UC Davis_1870695 kidney

Specimen UC Davis_1870696: postnatal adult; Crbntm1b(KOMP)Wtsi/Crbn+ (more )
Structure Level Pattern Image Note
TS28: tongue Present UC Davis_1870696

Specimen UC Davis_1870697: postnatal adult; Crbntm1b(KOMP)Wtsi/Crbn+ (more )
Structure Level Pattern Image Note
TS28: tongue Present UC Davis_1870697

Specimen UC Davis_1870698: postnatal adult; Crbntm1b(KOMP)Wtsi/Crbn+ (more )
Structure Level Pattern Image Note
TS28: Harderian gland Present UC Davis_1870698

Specimen UC Davis_1870699: postnatal adult; Crbntm1b(KOMP)Wtsi/Crbn+ (more )
Structure Level Pattern Image Note
TS28: Harderian gland Present UC Davis_1870699

Specimen UC Davis_1870700: postnatal adult; Crbntm1b(KOMP)Wtsi/Crbn+ (more )
Structure Level Pattern Image Note
TS28: olfactory lobe Present UC Davis_1870700

Specimen UC Davis_1870702: postnatal adult; Crbntm1b(KOMP)Wtsi/Crbn+ (more )
Structure Level Pattern Image Note
TS28: cerebellum Present UC Davis_1870702

Specimen UC Davis_1870703: postnatal adult; Crbntm1b(KOMP)Wtsi/Crbn+ (more )
Structure Level Pattern Image Note
TS28: cerebellum Present UC Davis_1870703

Specimen UC Davis_1870704: postnatal adult; Crbntm1b(KOMP)Wtsi/Crbn+ (more )
Structure Level Pattern Image Note
TS28: ovary Present UC Davis_1870704

Specimen UC Davis_1870705: postnatal adult; Crbntm1b(KOMP)Wtsi/Crbn+ (more )
Structure Level Pattern Image Note
TS28: ovary Present UC Davis_1870705

Specimen UC Davis_1870706: postnatal adult; Crbntm1b(KOMP)Wtsi/Crbn+ (more )
Structure Level Pattern Image Note
TS28: ovary Present UC Davis_1870706

Specimen UC Davis_1870707: postnatal adult; Crbntm1b(KOMP)Wtsi/Crbn+ (more )
Structure Level Pattern Image Note
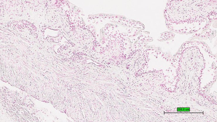
TS28: oviduct Present UC Davis_1870707

Specimen UC Davis_1870708: postnatal adult; Crbntm1b(KOMP)Wtsi/Crbn+ (more )
Structure Level Pattern Image Note
TS28: oviduct Present UC Davis_1870708

Specimen UC Davis_1870709: postnatal adult; Crbntm1b(KOMP)Wtsi/Crbn+ (more )
Structure Level Pattern Image Note
TS28: uterus Present UC Davis_1870709

Specimen UC Davis_1870710: postnatal adult; Crbntm1b(KOMP)Wtsi/Crbn+ (more )
Structure Level Pattern Image Note
TS28: bladder Present UC Davis_1870710

Specimen UC Davis_1870711: postnatal adult; Crbntm1b(KOMP)Wtsi/Crbn+ (more )
Structure Level Pattern Image Note
TS28: bladder Present UC Davis_1870711

Specimen UC Davis_1870712: postnatal adult; Crbntm1b(KOMP)Wtsi/Crbn+ (more )
Structure Level Pattern Image Note
TS28: submandibular gland Present UC Davis_1870712

Specimen UC Davis_1870713: postnatal adult; Crbntm1b(KOMP)Wtsi/Crbn+ (more )
Structure Level Pattern Image Note
TS28: sublingual gland Present UC Davis_1870713

Specimen UC Davis_1870714: postnatal adult; Crbntm1b(KOMP)Wtsi/Crbn+ (more )
Structure Level Pattern Image Note
TS28: parotid gland Present UC Davis_1870714

Specimen UC Davis_1870715: postnatal adult; Crbntm1b(KOMP)Wtsi/Crbn+ (more )
Structure Level Pattern Image Note
TS28: trachea Present UC Davis_1870715

Specimen UC Davis_1870716: postnatal adult; Crbntm1b(KOMP)Wtsi/Crbn+ (more )
Structure Level Pattern Image Note
TS28: trachea Present UC Davis_1870716

Specimen UC Davis_1870718: postnatal adult; Crbntm1b(KOMP)Wtsi/Crbn+ (more )
Structure Level Pattern Image Note
TS28: aorta Present UC Davis_1870718

Specimen UC Davis_1870721: postnatal adult; Crbntm1b(KOMP)Wtsi/Crbn+ (more )
Structure Level Pattern Image Note
TS28: stomach Present UC Davis_1870721

Specimen UC Davis_1870722: postnatal adult; Crbntm1b(KOMP)Wtsi/Crbn+ (more )
Structure Level Pattern Image Note
TS28: stomach Present UC Davis_1870722

Specimen UC Davis_1870723: postnatal adult; Crbntm1b(KOMP)Wtsi/Crbn+ (more )
Structure Level Pattern Image Note
TS28: ileum Present UC Davis_1870723

Specimen UC Davis_1870724: postnatal adult; Crbntm1b(KOMP)Wtsi/Crbn+ (more )
Structure Level Pattern Image Note
TS28: metanephros Present UC Davis_1870724 kidney

Specimen UC Davis_1870725: postnatal adult; Crbntm1b(KOMP)Wtsi/Crbn+ (more )
Structure Level Pattern Image Note
TS28: metanephros Present UC Davis_1870725 kidney

Specimen UC Davis_1870726: postnatal adult; Crbntm1b(KOMP)Wtsi/Crbn+ (more )
Structure Level Pattern Image Note
TS28: metanephros Present UC Davis_1870726 kidney

Specimen UC Davis_1870727: postnatal adult; Crbntm1b(KOMP)Wtsi/Crbn+ (more )
Structure Level Pattern Image Note
TS28: tongue Present UC Davis_1870727

Specimen UC Davis_1870728: postnatal adult; Crbntm1b(KOMP)Wtsi/Crbn+ (more )
Structure Level Pattern Image Note
TS28: eye Present UC Davis_1870728

Specimen UC Davis_1870729: postnatal adult; Crbntm1b(KOMP)Wtsi/Crbn+ (more )
Structure Level Pattern Image Note
TS28: eye Present UC Davis_1870729

Specimen UC Davis_1870731: postnatal adult; Crbntm1b(KOMP)Wtsi/Crbn+ (more )
Structure Level Pattern Image Note
TS28: Harderian gland Present UC Davis_1870731

Specimen UC Davis_1870732: postnatal adult; Crbntm1b(KOMP)Wtsi/Crbn+ (more )
Structure Level Pattern Image Note
TS28: skin Present UC Davis_1870732

Specimen UC Davis_1870733: postnatal adult; Crbntm1b(KOMP)Wtsi/Crbn+ (more )
Structure Level Pattern Image Note
TS28: skin Present UC Davis_1870733

Specimen UC Davis_1870736: postnatal adult; Crbntm1b(KOMP)Wtsi/Crbn+ (more )
Structure Level Pattern Image Note
TS28: midbrain Present UC Davis_1870736

Specimen UC Davis_1870737: postnatal adult; Crbntm1b(KOMP)Wtsi/Crbn+ (more )
Structure Level Pattern Image Note
TS28: bladder Present UC Davis_1870737

Specimen UC Davis_1870738: postnatal adult; Crbntm1b(KOMP)Wtsi/Crbn+ (more )
Structure Level Pattern Image Note
TS28: testis Present UC Davis_1870738

Specimen UC Davis_1870739: postnatal adult; Crbntm1b(KOMP)Wtsi/Crbn+ (more )
Structure Level Pattern Image Note
TS28: epididymis Present UC Davis_1870739

Specimen UC Davis_1870740: postnatal adult; Crbntm1b(KOMP)Wtsi/Crbn+ (more )
Structure Level Pattern Image Note
TS28: penis Present UC Davis_1870740

Specimen UC Davis_1870744: postnatal adult; Crbntm1b(KOMP)Wtsi/Crbn+ (more )
Structure Level Pattern Image Note
TS28: seminal vesicle Present UC Davis_1870744 vesicular gland

Specimen UC Davis_1870745: postnatal adult; Crbntm1b(KOMP)Wtsi/Crbn+ (more )
Structure Level Pattern Image Note
TS28: seminal vesicle Present UC Davis_1870745 vesicular gland


Contributing Projects:
Mouse Genome Database (MGD), Gene Expression Database (GXD), Mouse Models of Human Cancer database (MMHCdb) (formerly Mouse Tumor Biology (MTB)), Gene Ontology (GO)
Citing These Resources
Funding Information
Warranty Disclaimer, Privacy Notice, Licensing, & Copyright
Send questions and comments to User Support.
last database update
12/30/2025
MGI 6.24
The Jackson Laboratory