About   Help   FAQ
Gene Expression Data
Assay Details
Assay
Reference: J:228563 Koscielny G, et al., The International Mouse Phenotyping Consortium Web Portal, a unified point of access for knockout mice and related phenotyping data. Nucleic Acids Res. 2014 Jan;42(Database issue):D802-9
Assay type: In situ reporter (knock in)
MGI Accession ID: MGI:6691635
Gene symbol: Npff
Gene name: neuropeptide FF-amide peptide precursor
Reporter: lacZ
Direct Detection
Results
Specimen JAX_1127895: embryonic day 12.5; Npfftm1.1(KOMP)Vlcg/Npff+ (more )
Structure Level Pattern Image Note
TS20: embryo Present JAX_1127895

Specimen JAX_1127897: embryonic day 12.5; Npfftm1.1(KOMP)Vlcg/Npff+ (more )
Structure Level Pattern Image Note
TS20: embryo Present JAX_1127897

Specimen JAX_1127899: embryonic day 12.5; Npfftm1.1(KOMP)Vlcg/Npff+ (more )
Structure Level Pattern Image Note
TS20: embryo Present JAX_1127899

Specimen JAX_1127901: embryonic day 12.5; Npfftm1.1(KOMP)Vlcg/Npff+ (more )
Structure Level Pattern Image Note
TS20: embryo Present JAX_1127901

Specimen JAX_1127911: embryonic day 12.5; Npfftm1.1(KOMP)Vlcg/Npff+ (more )
Structure Level Pattern Image Note
TS20: embryo Present JAX_1127911

Specimen JAX_1127913: embryonic day 12.5; Npfftm1.1(KOMP)Vlcg/Npff+ (more )
Structure Level Pattern Image Note
TS20: embryo Present JAX_1127913

Specimen JAX_1127915: embryonic day 12.5; Npfftm1.1(KOMP)Vlcg/Npff+ (more )
Structure Level Pattern Image Note
TS20: embryo Present JAX_1127915

Specimen JAX_1127917: embryonic day 12.5; Npfftm1.1(KOMP)Vlcg/Npff+ (more )
Structure Level Pattern Image Note
TS20: embryo Present JAX_1127917

Specimen JAX_1626656: postnatal adult; Npfftm1.1(KOMP)Vlcg/Npff+ (more )
Structure Level Pattern Image Note
TS28: brainstem Present JAX_1626656

Specimen JAX_1626657: postnatal adult; Npfftm1.1(KOMP)Vlcg/Npff+ (more )
Structure Level Pattern Image Note
TS28: ovary Present JAX_1626657

Specimen JAX_1626658: postnatal adult; Npfftm1.1(KOMP)Vlcg/Npff+ (more )
Structure Level Pattern Image Note
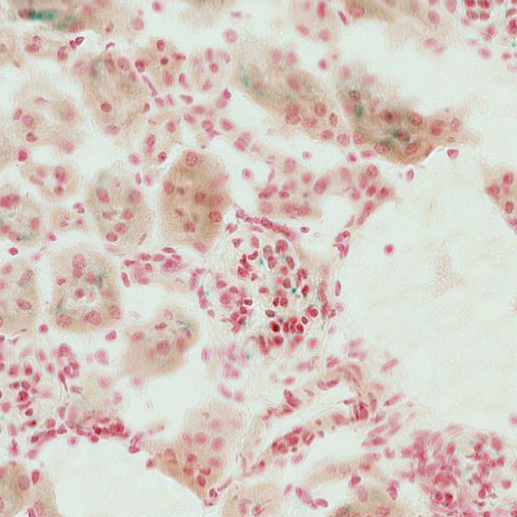
TS28: metanephros Present JAX_1626658 kidney

Specimen JAX_1626659: postnatal adult; Npfftm1.1(KOMP)Vlcg/Npff+ (more )
Structure Level Pattern Image Note
TS28: brain Present JAX_1626659

Specimen JAX_1626651: postnatal adult; Npfftm1.1(KOMP)Vlcg/Npff+ (more )
Structure Level Pattern Image Note
TS28: midbrain Present JAX_1626651

Specimen JAX_1626652: postnatal adult; Npfftm1.1(KOMP)Vlcg/Npff+ (more )
Structure Level Pattern Image Note
TS28: cerebellum Present JAX_1626652

Specimen JAX_1626653: postnatal adult; Npfftm1.1(KOMP)Vlcg/Npff+ (more )
Structure Level Pattern Image Note
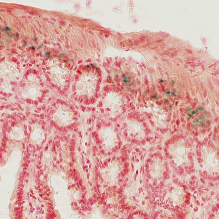
TS28: small intestine Present JAX_1626653

Specimen JAX_1626654: postnatal adult; Npfftm1.1(KOMP)Vlcg/Npff+ (more )
Structure Level Pattern Image Note
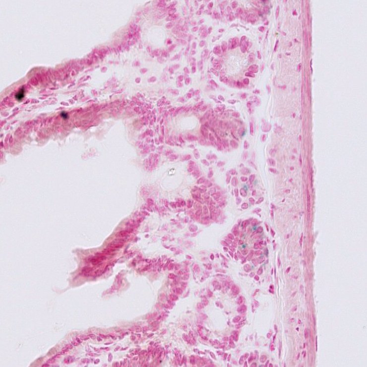
TS28: large intestine Present JAX_1626654

Specimen JAX_1626655: postnatal adult; Npfftm1.1(KOMP)Vlcg/Npff+ (more )
Structure Level Pattern Image Note
TS28: testis Present JAX_1626655


Contributing Projects:
Mouse Genome Database (MGD), Gene Expression Database (GXD), Mouse Models of Human Cancer database (MMHCdb) (formerly Mouse Tumor Biology (MTB)), Gene Ontology (GO)
Citing These Resources
Funding Information
Warranty Disclaimer, Privacy Notice, Licensing, & Copyright
Send questions and comments to User Support.
last database update
12/30/2025
MGI 6.24
The Jackson Laboratory