About   Help   FAQ
Gene Expression Data
Assay Details
Assay
Reference: J:228563 Koscielny G, et al., The International Mouse Phenotyping Consortium Web Portal, a unified point of access for knockout mice and related phenotyping data. Nucleic Acids Res. 2014 Jan;42(Database issue):D802-9
Assay type: In situ reporter (knock in)
MGI Accession ID: MGI:6691629
Gene symbol: Lpin3
Gene name: lipin 3
Reporter: lacZ
Direct Detection
Results
Specimen UC Davis_1855101: postnatal adult; Lpin3tm1b(KOMP)Wtsi/Lpin3+ (more )
Structure Level Pattern Image Note
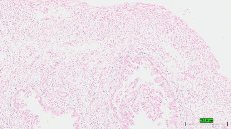
TS28: esophagus Present UC Davis_1855101

Specimen UC Davis_1855102: postnatal adult; Lpin3tm1b(KOMP)Wtsi/Lpin3+ (more )
Structure Level Pattern Image Note
TS28: esophagus Present UC Davis_1855102

Specimen UC Davis_1855103: postnatal adult; Lpin3tm1b(KOMP)Wtsi/Lpin3+ (more )
Structure Level Pattern Image Note
TS28: esophagus Present UC Davis_1855103

Specimen UC Davis_1855104: postnatal adult; Lpin3tm1b(KOMP)Wtsi/Lpin3+ (more )
Structure Level Pattern Image Note
TS28: stomach Present UC Davis_1855104

Specimen UC Davis_1855105: postnatal adult; Lpin3tm1b(KOMP)Wtsi/Lpin3+ (more )
Structure Level Pattern Image Note
TS28: stomach Present UC Davis_1855105

Specimen UC Davis_1855106: postnatal adult; Lpin3tm1b(KOMP)Wtsi/Lpin3+ (more )
Structure Level Pattern Image Note
TS28: stomach Present UC Davis_1855106

Specimen UC Davis_1855107: postnatal adult; Lpin3tm1b(KOMP)Wtsi/Lpin3+ (more )
Structure Level Pattern Image Note
TS28: metanephros Present UC Davis_1855107 kidney

Specimen UC Davis_1855108: postnatal adult; Lpin3tm1b(KOMP)Wtsi/Lpin3+ (more )
Structure Level Pattern Image Note
TS28: metanephros Present UC Davis_1855108 kidney

Specimen UC Davis_1855109: postnatal adult; Lpin3tm1b(KOMP)Wtsi/Lpin3+ (more )
Structure Level Pattern Image Note
TS28: tongue Present UC Davis_1855109

Specimen UC Davis_1855110: postnatal adult; Lpin3tm1b(KOMP)Wtsi/Lpin3+ (more )
Structure Level Pattern Image Note
TS28: tongue Present UC Davis_1855110

Specimen UC Davis_1855111: postnatal adult; Lpin3tm1b(KOMP)Wtsi/Lpin3+ (more )
Structure Level Pattern Image Note
TS28: tongue Present UC Davis_1855111

Specimen UC Davis_1855112: postnatal adult; Lpin3tm1b(KOMP)Wtsi/Lpin3+ (more )
Structure Level Pattern Image Note
TS28: adrenal gland Present UC Davis_1855112

Specimen UC Davis_1855113: postnatal adult; Lpin3tm1b(KOMP)Wtsi/Lpin3+ (more )
Structure Level Pattern Image Note
TS28: adrenal gland Present UC Davis_1855113

Specimen UC Davis_1855114: postnatal adult; Lpin3tm1b(KOMP)Wtsi/Lpin3+ (more )
Structure Level Pattern Image Note
TS28: adrenal gland Present UC Davis_1855114

Specimen UC Davis_1855115: postnatal adult; Lpin3tm1b(KOMP)Wtsi/Lpin3+ (more )
Structure Level Pattern Image Note
TS28: uterus Present UC Davis_1855115

Specimen UC Davis_1855116: postnatal adult; Lpin3tm1b(KOMP)Wtsi/Lpin3+ (more )
Structure Level Pattern Image Note
TS28: uterus Present UC Davis_1855116

Specimen UC Davis_1855117: postnatal adult; Lpin3tm1b(KOMP)Wtsi/Lpin3+ (more )
Structure Level Pattern Image Note
TS28: vagina Present UC Davis_1855117

Specimen UC Davis_1855118: postnatal adult; Lpin3tm1b(KOMP)Wtsi/Lpin3+ (more )
Structure Level Pattern Image Note
TS28: vagina Present UC Davis_1855118

Specimen UC Davis_1855119: postnatal adult; Lpin3tm1b(KOMP)Wtsi/Lpin3+ (more )
Structure Level Pattern Image Note
TS28: vagina Present UC Davis_1855119

Specimen UC Davis_1855120: postnatal adult; Lpin3tm1b(KOMP)Wtsi/Lpin3+ (more )
Structure Level Pattern Image Note
TS28: bladder Present UC Davis_1855120

Specimen UC Davis_1855133: postnatal adult; Lpin3tm1b(KOMP)Wtsi/Lpin3+ (more )
Structure Level Pattern Image Note
TS28: uterus Present UC Davis_1855133

Specimen UC Davis_1855076: postnatal adult; Lpin3tm1b(KOMP)Wtsi/Lpin3+ (more )
Structure Level Pattern Image Note
TS28: trachea Present UC Davis_1855076

Specimen UC Davis_1855077: postnatal adult; Lpin3tm1b(KOMP)Wtsi/Lpin3+ (more )
Structure Level Pattern Image Note
TS28: esophagus Present UC Davis_1855077

Specimen UC Davis_1855078: postnatal adult; Lpin3tm1b(KOMP)Wtsi/Lpin3+ (more )
Structure Level Pattern Image Note
TS28: esophagus Present UC Davis_1855078

Specimen UC Davis_1855079: postnatal adult; Lpin3tm1b(KOMP)Wtsi/Lpin3+ (more )
Structure Level Pattern Image Note
TS28: esophagus Present UC Davis_1855079

Specimen UC Davis_1855080: postnatal adult; Lpin3tm1b(KOMP)Wtsi/Lpin3+ (more )
Structure Level Pattern Image Note
TS28: stomach Present UC Davis_1855080

Specimen UC Davis_1855081: postnatal adult; Lpin3tm1b(KOMP)Wtsi/Lpin3+ (more )
Structure Level Pattern Image Note
TS28: stomach Present UC Davis_1855081

Specimen UC Davis_1855082: postnatal adult; Lpin3tm1b(KOMP)Wtsi/Lpin3+ (more )
Structure Level Pattern Image Note
TS28: ileum Present UC Davis_1855082

Specimen UC Davis_1855083: postnatal adult; Lpin3tm1b(KOMP)Wtsi/Lpin3+ (more )
Structure Level Pattern Image Note
TS28: metanephros Present UC Davis_1855083 kidney

Specimen UC Davis_1855084: postnatal adult; Lpin3tm1b(KOMP)Wtsi/Lpin3+ (more )
Structure Level Pattern Image Note
TS28: metanephros Present UC Davis_1855084 kidney

Specimen UC Davis_1855085: postnatal adult; Lpin3tm1b(KOMP)Wtsi/Lpin3+ (more )
Structure Level Pattern Image Note
TS28: tongue Present UC Davis_1855085

Specimen UC Davis_1855086: postnatal adult; Lpin3tm1b(KOMP)Wtsi/Lpin3+ (more )
Structure Level Pattern Image Note
TS28: tongue Present UC Davis_1855086

Specimen UC Davis_1855087: postnatal adult; Lpin3tm1b(KOMP)Wtsi/Lpin3+ (more )
Structure Level Pattern Image Note
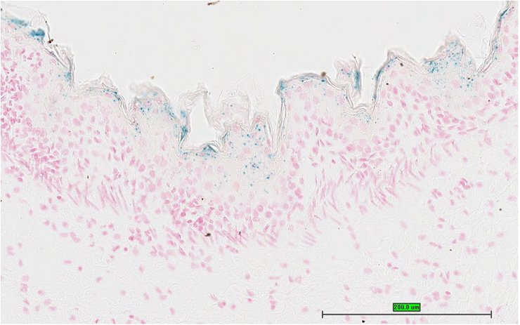
TS28: skin Present UC Davis_1855087

Specimen UC Davis_1855088: postnatal adult; Lpin3tm1b(KOMP)Wtsi/Lpin3+ (more )
Structure Level Pattern Image Note
TS28: skin Present UC Davis_1855088

Specimen UC Davis_1855089: postnatal adult; Lpin3tm1b(KOMP)Wtsi/Lpin3+ (more )
Structure Level Pattern Image Note
TS28: skin Present UC Davis_1855089

Specimen UC Davis_1855090: postnatal adult; Lpin3tm1b(KOMP)Wtsi/Lpin3+ (more )
Structure Level Pattern Image Note
TS28: bladder Present UC Davis_1855090

Specimen UC Davis_1855091: postnatal adult; Lpin3tm1b(KOMP)Wtsi/Lpin3+ (more )
Structure Level Pattern Image Note
TS28: bladder Present UC Davis_1855091

Specimen UC Davis_1855092: postnatal adult; Lpin3tm1b(KOMP)Wtsi/Lpin3+ (more )
Structure Level Pattern Image Note
TS28: epididymis Present UC Davis_1855092

Specimen UC Davis_1855093: postnatal adult; Lpin3tm1b(KOMP)Wtsi/Lpin3+ (more )
Structure Level Pattern Image Note
TS28: epididymis Present UC Davis_1855093

Specimen UC Davis_1855094: postnatal adult; Lpin3tm1b(KOMP)Wtsi/Lpin3+ (more )
Structure Level Pattern Image Note
TS28: penis Present UC Davis_1855094

Specimen UC Davis_1855095: postnatal adult; Lpin3tm1b(KOMP)Wtsi/Lpin3+ (more )
Structure Level Pattern Image Note
TS28: penis Present UC Davis_1855095

Specimen UC Davis_1855096: postnatal adult; Lpin3tm1b(KOMP)Wtsi/Lpin3+ (more )
Structure Level Pattern Image Note
TS28: penis Present UC Davis_1855096

Specimen UC Davis_1855097: postnatal adult; Lpin3tm1b(KOMP)Wtsi/Lpin3+ (more )
Structure Level Pattern Image Note
TS28: ductus deferens Present UC Davis_1855097 vas deferens

Specimen UC Davis_1855121: postnatal adult; Lpin3tm1b(KOMP)Wtsi/Lpin3+ (more )
Structure Level Pattern Image Note
TS28: tongue Present UC Davis_1855121

Specimen UC Davis_1855122: postnatal adult; Lpin3tm1b(KOMP)Wtsi/Lpin3+ (more )
Structure Level Pattern Image Note
TS28: metanephros Present UC Davis_1855122 kidney

Specimen UC Davis_1855123: postnatal adult; Lpin3tm1b(KOMP)Wtsi/Lpin3+ (more )
Structure Level Pattern Image Note
TS28: adrenal gland Present UC Davis_1855123

Specimen UC Davis_1855125: postnatal adult; Lpin3tm1b(KOMP)Wtsi/Lpin3+ (more )
Structure Level Pattern Image Note
TS28: esophagus Present UC Davis_1855125

Specimen UC Davis_1855126: postnatal adult; Lpin3tm1b(KOMP)Wtsi/Lpin3+ (more )
Structure Level Pattern Image Note
TS28: stomach Present UC Davis_1855126

Specimen UC Davis_1855127: postnatal adult; Lpin3tm1b(KOMP)Wtsi/Lpin3+ (more )
Structure Level Pattern Image Note
TS28: bladder Present UC Davis_1855127

Specimen UC Davis_1855131: postnatal adult; Lpin3tm1b(KOMP)Wtsi/Lpin3+ (more )
Structure Level Pattern Image Note
TS28: thoracic segment skeleton Present UC Davis_1855131 chest bone


Contributing Projects:
Mouse Genome Database (MGD), Gene Expression Database (GXD), Mouse Models of Human Cancer database (MMHCdb) (formerly Mouse Tumor Biology (MTB)), Gene Ontology (GO)
Citing These Resources
Funding Information
Warranty Disclaimer, Privacy Notice, Licensing, & Copyright
Send questions and comments to User Support.
last database update
01/20/2026
MGI 6.24
The Jackson Laboratory