About   Help   FAQ
Gene Expression Data
Assay Details
Assay
Reference: J:228563 Koscielny G, et al., The International Mouse Phenotyping Consortium Web Portal, a unified point of access for knockout mice and related phenotyping data. Nucleic Acids Res. 2014 Jan;42(Database issue):D802-9
Assay type: In situ reporter (knock in)
MGI Accession ID: MGI:6691628
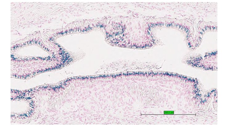
Gene symbol: Srpk3
Gene name: serine/arginine-rich protein specific kinase 3
Reporter: lacZ
Direct Detection
Results
Specimen UC Davis_1878826: postnatal adult; Srpk3tm1b(KOMP)Wtsi/Y (more )
Structure Level Pattern Image Note
TS28: epididymis Present UC Davis_1878826

Specimen UC Davis_1878827: postnatal adult; Srpk3tm1b(KOMP)Wtsi/Y (more )
Structure Level Pattern Image Note
TS28: ductus deferens Present UC Davis_1878827 vas deferens


Contributing Projects:
Mouse Genome Database (MGD), Gene Expression Database (GXD), Mouse Models of Human Cancer database (MMHCdb) (formerly Mouse Tumor Biology (MTB)), Gene Ontology (GO)
Citing These Resources
Funding Information
Warranty Disclaimer, Privacy Notice, Licensing, & Copyright
Send questions and comments to User Support.
last database update
12/30/2025
MGI 6.24
The Jackson Laboratory