About   Help   FAQ
Gene Expression Data
Assay Details
Assay
Reference: J:228563 Koscielny G, et al., The International Mouse Phenotyping Consortium Web Portal, a unified point of access for knockout mice and related phenotyping data. Nucleic Acids Res. 2014 Jan;42(Database issue):D802-9
Assay type: In situ reporter (knock in)
MGI Accession ID: MGI:6691627
Gene symbol: Lrat
Gene name: lecithin-retinol acyltransferase (phosphatidylcholine-retinol-O-acyltransferase)
Reporter: lacZ
Direct Detection
Results
Specimen UC Davis_1885721: postnatal adult; Lrattm1.1(KOMP)Vlcg/Lrat+ (more )
Structure Level Pattern Image Note
TS28: lung Present UC Davis_1885721

Specimen UC Davis_1885722: postnatal adult; Lrattm1.1(KOMP)Vlcg/Lrat+ (more )
Structure Level Pattern Image Note
TS28: lung Present UC Davis_1885722

Specimen UC Davis_1885723: postnatal adult; Lrattm1.1(KOMP)Vlcg/Lrat+ (more )
Structure Level Pattern Image Note
TS28: lung Present UC Davis_1885723

Specimen UC Davis_1885724: postnatal adult; Lrattm1.1(KOMP)Vlcg/Lrat+ (more )
Structure Level Pattern Image Note
TS28: duodenum Present UC Davis_1885724

Specimen UC Davis_1885725: postnatal adult; Lrattm1.1(KOMP)Vlcg/Lrat+ (more )
Structure Level Pattern Image Note
TS28: duodenum Present UC Davis_1885725

Specimen UC Davis_1885726: postnatal adult; Lrattm1.1(KOMP)Vlcg/Lrat+ (more )
Structure Level Pattern Image Note
TS28: ileum Present UC Davis_1885726

Specimen UC Davis_1885727: postnatal adult; Lrattm1.1(KOMP)Vlcg/Lrat+ (more )
Structure Level Pattern Image Note
TS28: liver Present UC Davis_1885727

Specimen UC Davis_1885728: postnatal adult; Lrattm1.1(KOMP)Vlcg/Lrat+ (more )
Structure Level Pattern Image Note
TS28: liver Present UC Davis_1885728

Specimen UC Davis_1885729: postnatal adult; Lrattm1.1(KOMP)Vlcg/Lrat+ (more )
Structure Level Pattern Image Note
TS28: liver Present UC Davis_1885729

Specimen UC Davis_1885730: postnatal adult; Lrattm1.1(KOMP)Vlcg/Lrat+ (more )
Structure Level Pattern Image Note
TS28: tongue Present UC Davis_1885730

Specimen UC Davis_1885731: postnatal adult; Lrattm1.1(KOMP)Vlcg/Lrat+ (more )
Structure Level Pattern Image Note
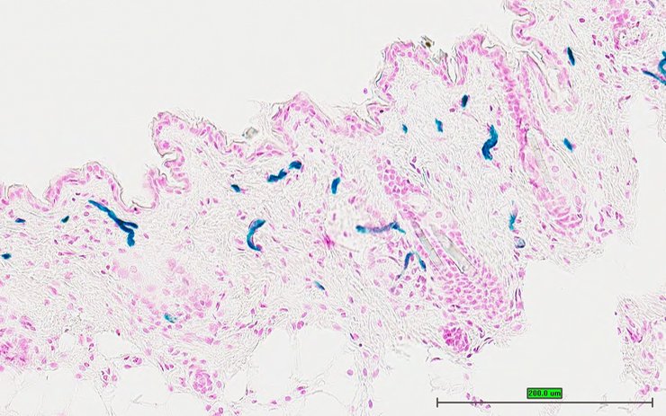
TS28: skin Present UC Davis_1885731

Specimen UC Davis_1885734: postnatal adult; Lrattm1.1(KOMP)Vlcg/Lrat+ (more )
Structure Level Pattern Image Note
TS28: midbrain Present UC Davis_1885734

Specimen UC Davis_1885735: postnatal adult; Lrattm1.1(KOMP)Vlcg/Lrat+ (more )
Structure Level Pattern Image Note
TS28: midbrain Present UC Davis_1885735

Specimen UC Davis_1885736: postnatal adult; Lrattm1.1(KOMP)Vlcg/Lrat+ (more )
Structure Level Pattern Image Note
TS28: ovary Present UC Davis_1885736

Specimen UC Davis_1885737: postnatal adult; Lrattm1.1(KOMP)Vlcg/Lrat+ (more )
Structure Level Pattern Image Note
TS28: ovary Present UC Davis_1885737

Specimen UC Davis_1885738: postnatal adult; Lrattm1.1(KOMP)Vlcg/Lrat+ (more )
Structure Level Pattern Image Note
TS28: vagina Present UC Davis_1885738

Specimen UC Davis_1885739: postnatal adult; Lrattm1.1(KOMP)Vlcg/Lrat+ (more )
Structure Level Pattern Image Note
TS28: vagina Present UC Davis_1885739

Specimen UC Davis_1885701: postnatal adult; Lrattm1.1(KOMP)Vlcg/Lrat+ (more )
Structure Level Pattern Image Note
TS28: esophagus Present UC Davis_1885701

Specimen UC Davis_1885703: postnatal adult; Lrattm1.1(KOMP)Vlcg/Lrat+ (more )
Structure Level Pattern Image Note
TS28: duodenum Present UC Davis_1885703

Specimen UC Davis_1885704: postnatal adult; Lrattm1.1(KOMP)Vlcg/Lrat+ (more )
Structure Level Pattern Image Note
TS28: ileum Present UC Davis_1885704

Specimen UC Davis_1885705: postnatal adult; Lrattm1.1(KOMP)Vlcg/Lrat+ (more )
Structure Level Pattern Image Note
TS28: liver Present UC Davis_1885705

Specimen UC Davis_1885706: postnatal adult; Lrattm1.1(KOMP)Vlcg/Lrat+ (more )
Structure Level Pattern Image Note
TS28: liver Present UC Davis_1885706

Specimen UC Davis_1885707: postnatal adult; Lrattm1.1(KOMP)Vlcg/Lrat+ (more )
Structure Level Pattern Image Note
TS28: liver Present UC Davis_1885707

Specimen UC Davis_1885708: postnatal adult; Lrattm1.1(KOMP)Vlcg/Lrat+ (more )
Structure Level Pattern Image Note
TS28: skin Present UC Davis_1885708

Specimen UC Davis_1885709: postnatal adult; Lrattm1.1(KOMP)Vlcg/Lrat+ (more )
Structure Level Pattern Image Note
TS28: skin Present UC Davis_1885709

Specimen UC Davis_1885710: postnatal adult; Lrattm1.1(KOMP)Vlcg/Lrat+ (more )
Structure Level Pattern Image Note
TS28: skin Present UC Davis_1885710

Specimen UC Davis_1885713: postnatal adult; Lrattm1.1(KOMP)Vlcg/Lrat+ (more )
Structure Level Pattern Image Note
TS28: midbrain Present UC Davis_1885713

Specimen UC Davis_1885714: postnatal adult; Lrattm1.1(KOMP)Vlcg/Lrat+ (more )
Structure Level Pattern Image Note
TS28: midbrain Present UC Davis_1885714

Specimen UC Davis_1885715: postnatal adult; Lrattm1.1(KOMP)Vlcg/Lrat+ (more )
Structure Level Pattern Image Note
TS28: testis Present UC Davis_1885715

Specimen UC Davis_1885716: postnatal adult; Lrattm1.1(KOMP)Vlcg/Lrat+ (more )
Structure Level Pattern Image Note
TS28: testis Present UC Davis_1885716

Specimen UC Davis_1885717: postnatal adult; Lrattm1.1(KOMP)Vlcg/Lrat+ (more )
Structure Level Pattern Image Note
TS28: epididymis Present UC Davis_1885717

Specimen UC Davis_1885718: postnatal adult; Lrattm1.1(KOMP)Vlcg/Lrat+ (more )
Structure Level Pattern Image Note
TS28: epididymis Present UC Davis_1885718

Specimen UC Davis_1885719: postnatal adult; Lrattm1.1(KOMP)Vlcg/Lrat+ (more )
Structure Level Pattern Image Note
TS28: ductus deferens Present UC Davis_1885719 vas deferens


Contributing Projects:
Mouse Genome Database (MGD), Gene Expression Database (GXD), Mouse Models of Human Cancer database (MMHCdb) (formerly Mouse Tumor Biology (MTB)), Gene Ontology (GO)
Citing These Resources
Funding Information
Warranty Disclaimer, Privacy Notice, Licensing, & Copyright
Send questions and comments to User Support.
last database update
03/24/2026
MGI 6.24
The Jackson Laboratory