About   Help   FAQ
Gene Expression Data
Assay Details
Assay
Reference: J:228563 Koscielny G, et al., The International Mouse Phenotyping Consortium Web Portal, a unified point of access for knockout mice and related phenotyping data. Nucleic Acids Res. 2014 Jan;42(Database issue):D802-9
Assay type: In situ reporter (knock in)
MGI Accession ID: MGI:6691617
Gene symbol: Il20
Gene name: interleukin 20
Reporter: lacZ
Direct Detection
Results
Specimen UC Davis_1885362: postnatal adult; Il20tm1.1(KOMP)Vlcg/Il20+ (more )
Structure Level Pattern Image Note
TS28: Harderian gland Present UC Davis_1885362

Specimen UC Davis_1885363: postnatal adult; Il20tm1.1(KOMP)Vlcg/Il20+ (more )
Structure Level Pattern Image Note
TS28: Harderian gland Present UC Davis_1885363

Specimen UC Davis_1885364: postnatal adult; Il20tm1.1(KOMP)Vlcg/Il20+ (more )
Structure Level Pattern Image Note
TS28: Harderian gland Present UC Davis_1885364

Specimen UC Davis_1885365: postnatal adult; Il20tm1.1(KOMP)Vlcg/Il20+ (more )
Structure Level Pattern Image Note
TS28: Harderian gland Present UC Davis_1885365

Specimen UC Davis_1885366: postnatal adult; Il20tm1.1(KOMP)Vlcg/Il20+ (more )
Structure Level Pattern Image Note
TS28: Harderian gland Present UC Davis_1885366

Specimen UC Davis_1885367: postnatal adult; Il20tm1.1(KOMP)Vlcg/Il20+ (more )
Structure Level Pattern Image Note
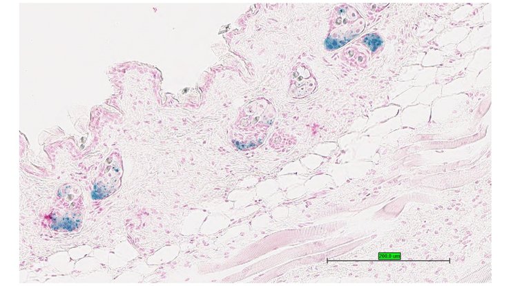
TS28: skin Present UC Davis_1885367

Specimen UC Davis_1885368: postnatal adult; Il20tm1.1(KOMP)Vlcg/Il20+ (more )
Structure Level Pattern Image Note
TS28: skin Present UC Davis_1885368

Specimen UC Davis_1885369: postnatal adult; Il20tm1.1(KOMP)Vlcg/Il20+ (more )
Structure Level Pattern Image Note
TS28: skin Present UC Davis_1885369

Specimen UC Davis_1885370: postnatal adult; Il20tm1.1(KOMP)Vlcg/Il20+ (more )
Structure Level Pattern Image Note
TS28: skin Present UC Davis_1885370

Specimen UC Davis_1885372: postnatal adult; Il20tm1.1(KOMP)Vlcg/Il20+ (more )
Structure Level Pattern Image Note
TS28: Harderian gland Present UC Davis_1885372

Specimen UC Davis_1885373: postnatal adult; Il20tm1.1(KOMP)Vlcg/Il20+ (more )
Structure Level Pattern Image Note
TS28: Harderian gland Present UC Davis_1885373

Specimen UC Davis_1885374: postnatal adult; Il20tm1.1(KOMP)Vlcg/Il20+ (more )
Structure Level Pattern Image Note
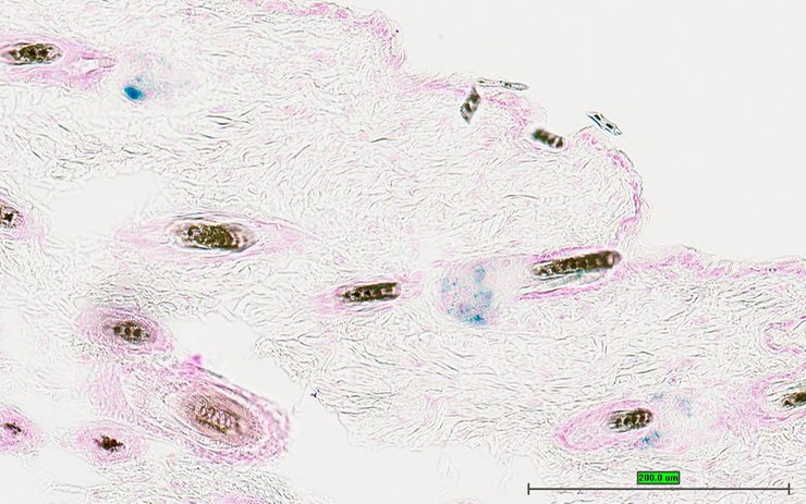
TS28: skin Absent UC Davis_1885374

Specimen UC Davis_1885375: postnatal adult; Il20tm1.1(KOMP)Vlcg/Il20+ (more )
Structure Level Pattern Image Note
TS28: skin Absent UC Davis_1885375

Specimen UC Davis_1885376: postnatal adult; Il20tm1.1(KOMP)Vlcg/Il20+ (more )
Structure Level Pattern Image Note
TS28: epididymis Present UC Davis_1885376

Specimen UC Davis_1885377: postnatal adult; Il20tm1.1(KOMP)Vlcg/Il20+ (more )
Structure Level Pattern Image Note
TS28: prostate gland Present UC Davis_1885377

Specimen UC Davis_1885378: postnatal adult; Il20tm1.1(KOMP)Vlcg/Il20+ (more )
Structure Level Pattern Image Note
TS28: ductus deferens Present UC Davis_1885378 vas deferens


Contributing Projects:
Mouse Genome Database (MGD), Gene Expression Database (GXD), Mouse Models of Human Cancer database (MMHCdb) (formerly Mouse Tumor Biology (MTB)), Gene Ontology (GO)
Citing These Resources
Funding Information
Warranty Disclaimer, Privacy Notice, Licensing, & Copyright
Send questions and comments to User Support.
last database update
01/20/2026
MGI 6.24
The Jackson Laboratory