About   Help   FAQ
Gene Expression Data
Assay Details
Assay
Reference: J:228563 Koscielny G, et al., The International Mouse Phenotyping Consortium Web Portal, a unified point of access for knockout mice and related phenotyping data. Nucleic Acids Res. 2014 Jan;42(Database issue):D802-9
Assay type: In situ reporter (knock in)
MGI Accession ID: MGI:6691596
Gene symbol: Septin6
Gene name: septin 6
Reporter: lacZ
Direct Detection
Results
Specimen UC Davis_1888976: postnatal adult; Septin6tm1.1(KOMP)Vlcg/Septin6+ (more )
Structure Level Pattern Image Note
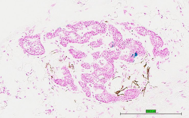
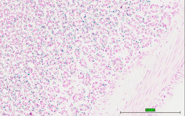
TS28: submandibular gland Present UC Davis_1888976

Specimen UC Davis_1888977: postnatal adult; Septin6tm1.1(KOMP)Vlcg/Septin6+ (more )
Structure Level Pattern Image Note
TS28: submandibular gland Present UC Davis_1888977

Specimen UC Davis_1888978: postnatal adult; Septin6tm1.1(KOMP)Vlcg/Septin6+ (more )
Structure Level Pattern Image Note
TS28: submandibular gland Present UC Davis_1888978

Specimen UC Davis_1888979: postnatal adult; Septin6tm1.1(KOMP)Vlcg/Septin6+ (more )
Structure Level Pattern Image Note
TS28: sublingual gland Present UC Davis_1888979

Specimen UC Davis_1888980: postnatal adult; Septin6tm1.1(KOMP)Vlcg/Septin6+ (more )
Structure Level Pattern Image Note
TS28: sublingual gland Present UC Davis_1888980

Specimen UC Davis_1888981: postnatal adult; Septin6tm1.1(KOMP)Vlcg/Septin6+ (more )
Structure Level Pattern Image Note
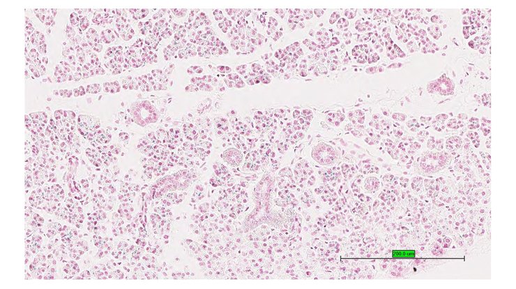
TS28: parotid gland Present UC Davis_1888981

Specimen UC Davis_1888982: postnatal adult; Septin6tm1.1(KOMP)Vlcg/Septin6+ (more )
Structure Level Pattern Image Note
TS28: parotid gland Present UC Davis_1888982

Specimen UC Davis_1888983: postnatal adult; Septin6tm1.1(KOMP)Vlcg/Septin6+ (more )
Structure Level Pattern Image Note
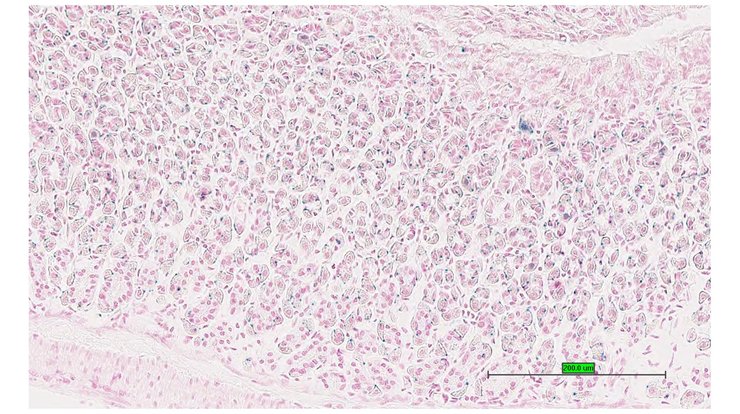
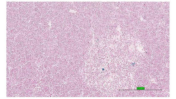
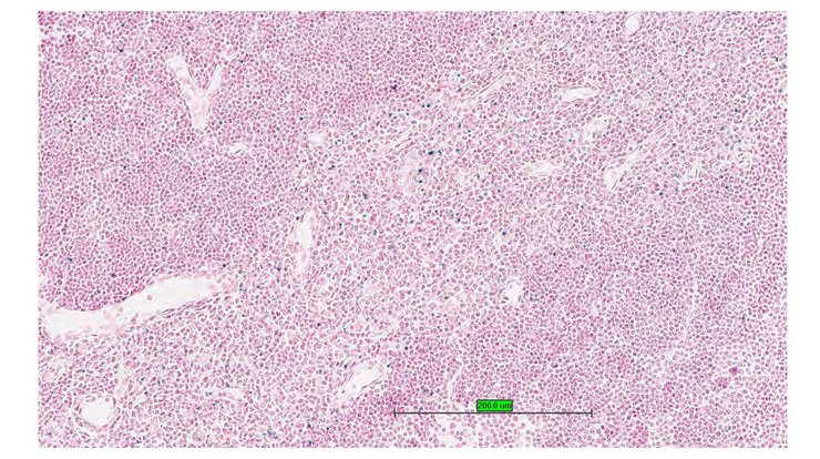
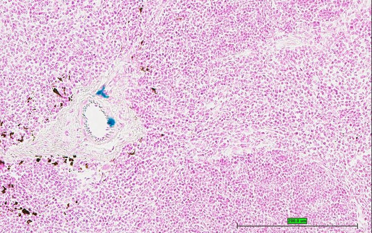
TS28: thymus Present UC Davis_1888983

Specimen UC Davis_1888984: postnatal adult; Septin6tm1.1(KOMP)Vlcg/Septin6+ (more )
Structure Level Pattern Image Note
TS28: thymus Present UC Davis_1888984

Specimen UC Davis_1888985: postnatal adult; Septin6tm1.1(KOMP)Vlcg/Septin6+ (more )
Structure Level Pattern Image Note
TS28: stomach Present UC Davis_1888985

Specimen UC Davis_1888986: postnatal adult; Septin6tm1.1(KOMP)Vlcg/Septin6+ (more )
Structure Level Pattern Image Note
TS28: stomach Present UC Davis_1888986

Specimen UC Davis_1888987: postnatal adult; Septin6tm1.1(KOMP)Vlcg/Septin6+ (more )
Structure Level Pattern Image Note
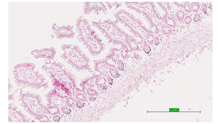
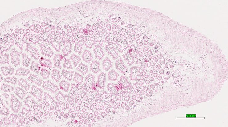
TS28: duodenum Present UC Davis_1888987

Specimen UC Davis_1888988: postnatal adult; Septin6tm1.1(KOMP)Vlcg/Septin6+ (more )
Structure Level Pattern Image Note
TS28: ileum Present UC Davis_1888988

Specimen UC Davis_1888989: postnatal adult; Septin6tm1.1(KOMP)Vlcg/Septin6+ (more )
Structure Level Pattern Image Note
TS28: ileum Present UC Davis_1888989

Specimen UC Davis_1888990: postnatal adult; Septin6tm1.1(KOMP)Vlcg/Septin6+ (more )
Structure Level Pattern Image Note
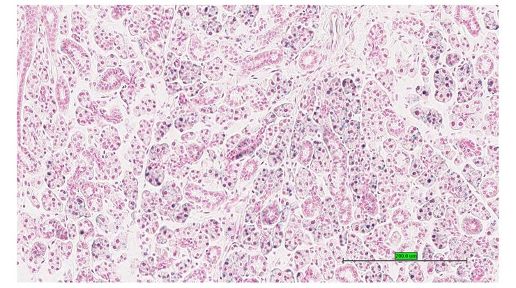
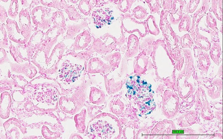
TS28: metanephros Present UC Davis_1888990 kidney

Specimen UC Davis_1888991: postnatal adult; Septin6tm1.1(KOMP)Vlcg/Septin6+ (more )
Structure Level Pattern Image Note
TS28: metanephros Present UC Davis_1888991 kidney

Specimen UC Davis_1888992: postnatal adult; Septin6tm1.1(KOMP)Vlcg/Septin6+ (more )
Structure Level Pattern Image Note
TS28: metanephros Present UC Davis_1888992 kidney

Specimen UC Davis_1888993: postnatal adult; Septin6tm1.1(KOMP)Vlcg/Septin6+ (more )
Structure Level Pattern Image Note
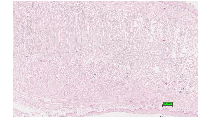
TS28: tongue Present UC Davis_1888993

Specimen UC Davis_1888994: postnatal adult; Septin6tm1.1(KOMP)Vlcg/Septin6+ (more )
Structure Level Pattern Image Note
TS28: tongue Present UC Davis_1888994

Specimen UC Davis_1888995: postnatal adult; Septin6tm1.1(KOMP)Vlcg/Septin6+ (more )
Structure Level Pattern Image Note
TS28: tongue Present UC Davis_1888995

Specimen UC Davis_1888996: postnatal adult; Septin6tm1.1(KOMP)Vlcg/Septin6+ (more )
Structure Level Pattern Image Note
TS28: tongue Present UC Davis_1888996

Specimen UC Davis_1888997: postnatal adult; Septin6tm1.1(KOMP)Vlcg/Septin6+ (more )
Structure Level Pattern Image Note
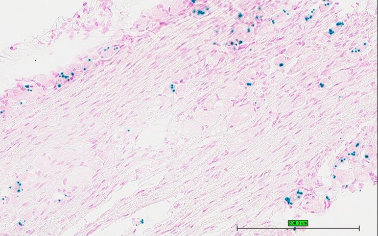
TS28: spinal cord Present UC Davis_1888997

Specimen UC Davis_1888998: postnatal adult; Septin6tm1.1(KOMP)Vlcg/Septin6+ (more )
Structure Level Pattern Image Note
TS28: eye Present UC Davis_1888998

Specimen UC Davis_1888999: postnatal adult; Septin6tm1.1(KOMP)Vlcg/Septin6+ (more )
Structure Level Pattern Image Note
TS28: olfactory lobe Present UC Davis_1888999

Specimen UC Davis_1889000: postnatal adult; Septin6tm1.1(KOMP)Vlcg/Septin6+ (more )
Structure Level Pattern Image Note
TS28: olfactory lobe Present UC Davis_1889000

Specimen UC Davis_1889003: postnatal adult; Septin6tm1.1(KOMP)Vlcg/Septin6+ (more )
Structure Level Pattern Image Note
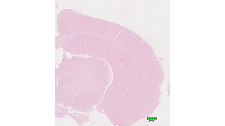
TS28: midbrain Present UC Davis_1889003

Specimen UC Davis_1889004: postnatal adult; Septin6tm1.1(KOMP)Vlcg/Septin6+ (more )
Structure Level Pattern Image Note
TS28: midbrain Present UC Davis_1889004

Specimen UC Davis_1889007: postnatal adult; Septin6tm1.1(KOMP)Vlcg/Septin6+ (more )
Structure Level Pattern Image Note
TS28: cerebellum Present UC Davis_1889007

Specimen UC Davis_1889008: postnatal adult; Septin6tm1.1(KOMP)Vlcg/Septin6+ (more )
Structure Level Pattern Image Note
TS28: cerebellum Present UC Davis_1889008

Specimen UC Davis_1889009: postnatal adult; Septin6tm1.1(KOMP)Vlcg/Y (more )
Structure Level Pattern Image Note
TS28: submandibular gland Present UC Davis_1889009

Specimen UC Davis_1889010: postnatal adult; Septin6tm1.1(KOMP)Vlcg/Y (more )
Structure Level Pattern Image Note
TS28: submandibular gland Present UC Davis_1889010

Specimen UC Davis_1889011: postnatal adult; Septin6tm1.1(KOMP)Vlcg/Y (more )
Structure Level Pattern Image Note
TS28: sublingual gland Present UC Davis_1889011

Specimen UC Davis_1889012: postnatal adult; Septin6tm1.1(KOMP)Vlcg/Y (more )
Structure Level Pattern Image Note
TS28: parotid gland Present UC Davis_1889012

Specimen UC Davis_1889014: postnatal adult; Septin6tm1.1(KOMP)Vlcg/Y (more )
Structure Level Pattern Image Note
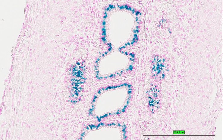
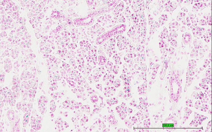
TS28: parathyroid gland Present UC Davis_1889014

Specimen UC Davis_1889015: postnatal adult; Septin6tm1.1(KOMP)Vlcg/Y (more )
Structure Level Pattern Image Note
TS28: thymus Present UC Davis_1889015

Specimen UC Davis_1889016: postnatal adult; Septin6tm1.1(KOMP)Vlcg/Y (more )
Structure Level Pattern Image Note
TS28: stomach Present UC Davis_1889016

Specimen UC Davis_1889017: postnatal adult; Septin6tm1.1(KOMP)Vlcg/Y (more )
Structure Level Pattern Image Note
TS28: stomach Present UC Davis_1889017

Specimen UC Davis_1889018: postnatal adult; Septin6tm1.1(KOMP)Vlcg/Y (more )
Structure Level Pattern Image Note
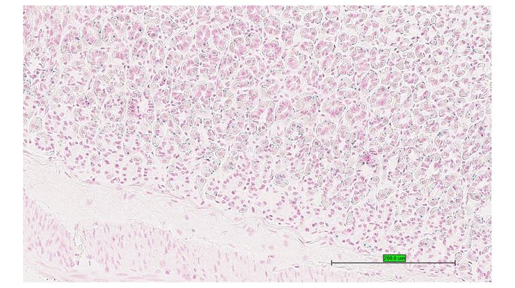
TS28: spleen Present UC Davis_1889018

Specimen UC Davis_1889019: postnatal adult; Septin6tm1.1(KOMP)Vlcg/Y (more )
Structure Level Pattern Image Note
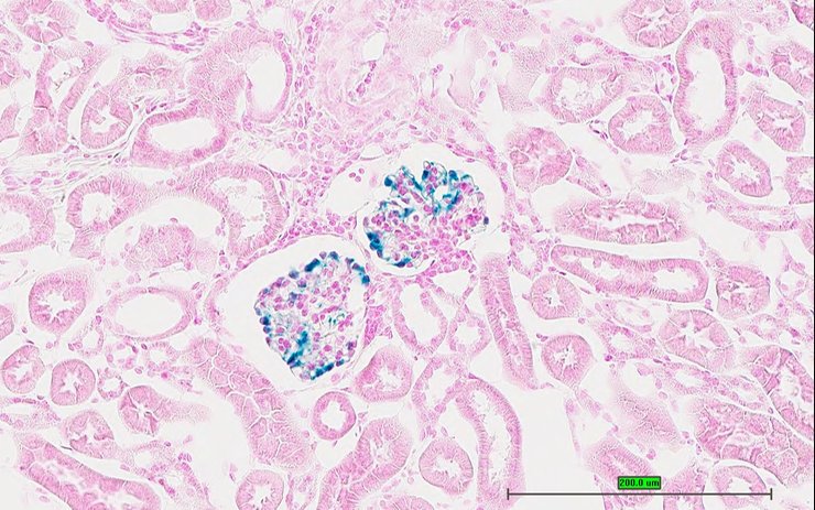
TS28: metanephros Present UC Davis_1889019 kidney

Specimen UC Davis_1889020: postnatal adult; Septin6tm1.1(KOMP)Vlcg/Y (more )
Structure Level Pattern Image Note
TS28: metanephros Present UC Davis_1889020 kidney

Specimen UC Davis_1889021: postnatal adult; Septin6tm1.1(KOMP)Vlcg/Y (more )
Structure Level Pattern Image Note
TS28: metanephros Present UC Davis_1889021 kidney

Specimen UC Davis_1889022: postnatal adult; Septin6tm1.1(KOMP)Vlcg/Y (more )
Structure Level Pattern Image Note
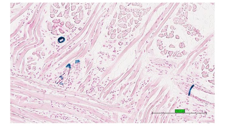
TS28: quadriceps femoris muscle Present UC Davis_1889022

Specimen UC Davis_1889023: postnatal adult; Septin6tm1.1(KOMP)Vlcg/Y (more )
Structure Level Pattern Image Note
TS28: tongue Present UC Davis_1889023

Specimen UC Davis_1889024: postnatal adult; Septin6tm1.1(KOMP)Vlcg/Y (more )
Structure Level Pattern Image Note
TS28: spinal cord Present UC Davis_1889024

Specimen UC Davis_1889025: postnatal adult; Septin6tm1.1(KOMP)Vlcg/Y (more )
Structure Level Pattern Image Note
TS28: spinal cord Present UC Davis_1889025

Specimen UC Davis_1889026: postnatal adult; Septin6tm1.1(KOMP)Vlcg/Y (more )
Structure Level Pattern Image Note
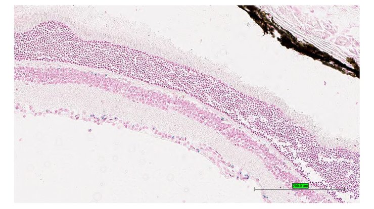
TS28: eye Present UC Davis_1889026

Specimen UC Davis_1889027: postnatal adult; Septin6tm1.1(KOMP)Vlcg/Y (more )
Structure Level Pattern Image Note
TS28: Harderian gland Present UC Davis_1889027

Specimen UC Davis_1889028: postnatal adult; Septin6tm1.1(KOMP)Vlcg/Y (more )
Structure Level Pattern Image Note
TS28: olfactory lobe Present UC Davis_1889028

Specimen UC Davis_1889031: postnatal adult; Septin6tm1.1(KOMP)Vlcg/Y (more )
Structure Level Pattern Image Note
TS28: midbrain Present UC Davis_1889031

Specimen UC Davis_1889033: postnatal adult; Septin6tm1.1(KOMP)Vlcg/Y (more )
Structure Level Pattern Image Note
TS28: cerebellum Present UC Davis_1889033

Specimen UC Davis_1889034: postnatal adult; Septin6tm1.1(KOMP)Vlcg/Y (more )
Structure Level Pattern Image Note
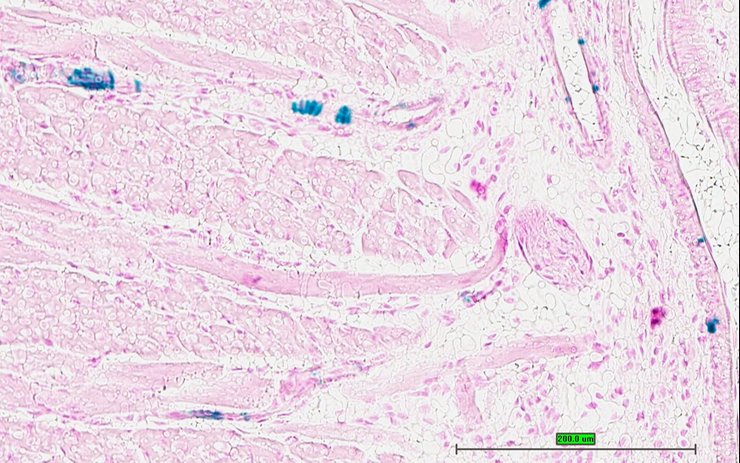
TS28: trigeminal nerve Present UC Davis_1889034

Specimen UC Davis_1889035: postnatal adult; Septin6tm1.1(KOMP)Vlcg/Y (more )
Structure Level Pattern Image Note
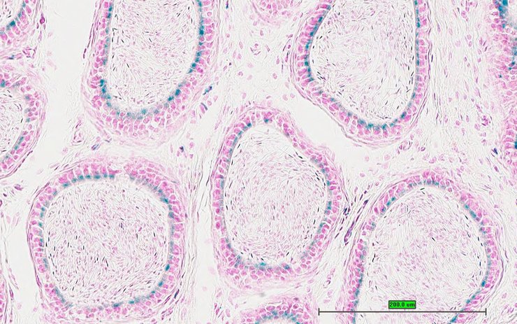
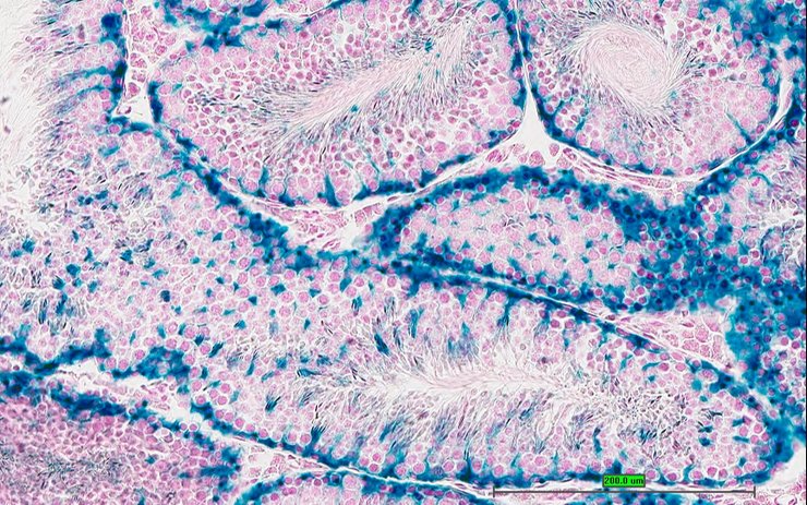
TS28: testis Present UC Davis_1889035

Specimen UC Davis_1889036: postnatal adult; Septin6tm1.1(KOMP)Vlcg/Y (more )
Structure Level Pattern Image Note
TS28: testis Present UC Davis_1889036

Specimen UC Davis_1889037: postnatal adult; Septin6tm1.1(KOMP)Vlcg/Y (more )
Structure Level Pattern Image Note
TS28: epididymis Present UC Davis_1889037

Specimen UC Davis_1889038: postnatal adult; Septin6tm1.1(KOMP)Vlcg/Y (more )
Structure Level Pattern Image Note
TS28: penis Present UC Davis_1889038

Specimen UC Davis_1889039: postnatal adult; Septin6tm1.1(KOMP)Vlcg/Y (more )
Structure Level Pattern Image Note
TS28: ductus deferens Present UC Davis_1889039 vas deferens


Contributing Projects:
Mouse Genome Database (MGD), Gene Expression Database (GXD), Mouse Models of Human Cancer database (MMHCdb) (formerly Mouse Tumor Biology (MTB)), Gene Ontology (GO)
Citing These Resources
Funding Information
Warranty Disclaimer, Privacy Notice, Licensing, & Copyright
Send questions and comments to User Support.
last database update
12/30/2025
MGI 6.24
The Jackson Laboratory