About   Help   FAQ
Gene Expression Data
Assay Details
Assay
Reference: J:228563 Koscielny G, et al., The International Mouse Phenotyping Consortium Web Portal, a unified point of access for knockout mice and related phenotyping data. Nucleic Acids Res. 2014 Jan;42(Database issue):D802-9
Assay type: In situ reporter (knock in)
MGI Accession ID: MGI:6691594
Gene symbol: Cyp2c23
Gene name: cytochrome P450, family 2, subfamily c, polypeptide 23
Reporter: lacZ
Direct Detection
Results
Specimen JAX_1288145: postnatal adult; Cyp2c23tm1b(EUCOMM)Hmgu/Cyp2c23+ (more )
Structure Level Pattern Image Note
TS28: submandibular gland Present JAX_1288145

Specimen JAX_1288147: postnatal adult; Cyp2c23tm1b(EUCOMM)Hmgu/Cyp2c23+ (more )
Structure Level Pattern Image Note
TS28: testis Present JAX_1288147

Specimen JAX_1288149: postnatal adult; Cyp2c23tm1b(EUCOMM)Hmgu/Cyp2c23+ (more )
Structure Level Pattern Image Note
TS28: stomach Present JAX_1288149

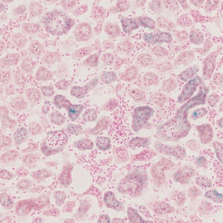
Specimen JAX_1288151: postnatal adult; Cyp2c23tm1b(EUCOMM)Hmgu/Cyp2c23+ (more )
Structure Level Pattern Image Note
TS28: metanephros Present JAX_1288151 kidney


Contributing Projects:
Mouse Genome Database (MGD), Gene Expression Database (GXD), Mouse Models of Human Cancer database (MMHCdb) (formerly Mouse Tumor Biology (MTB)), Gene Ontology (GO)
Citing These Resources
Funding Information
Warranty Disclaimer, Privacy Notice, Licensing, & Copyright
Send questions and comments to User Support.
last database update
12/30/2025
MGI 6.24
The Jackson Laboratory