About   Help   FAQ
Gene Expression Data
Assay Details
Assay
Reference: J:228563 Koscielny G, et al., The International Mouse Phenotyping Consortium Web Portal, a unified point of access for knockout mice and related phenotyping data. Nucleic Acids Res. 2014 Jan;42(Database issue):D802-9
Assay type: In situ reporter (knock in)
MGI Accession ID: MGI:6691591
Gene symbol: Htr3b
Gene name: 5-hydroxytryptamine (serotonin) receptor 3B
Reporter: lacZ
Direct Detection
Results
Specimen JAX_1469570: embryonic day 12.5; Htr3btm1.1(KOMP)Vlcg/Htr3b+ (more )
Structure Level Pattern Image Note
TS20: embryo Present JAX_1469570

Specimen JAX_1469571: embryonic day 12.5; Htr3btm1.1(KOMP)Vlcg/Htr3b+ (more )
Structure Level Pattern Image Note
TS20: embryo Present JAX_1469571

Specimen JAX_1469572: embryonic day 12.5; Htr3btm1.1(KOMP)Vlcg/Htr3b+ (more )
Structure Level Pattern Image Note
TS20: embryo Present JAX_1469572

Specimen JAX_1469573: embryonic day 12.5; Htr3btm1.1(KOMP)Vlcg/Htr3b+ (more )
Structure Level Pattern Image Note
TS20: embryo Present JAX_1469573

Specimen JAX_430815: embryonic day 12.5; Htr3btm1.1(KOMP)Vlcg/Htr3b+ (more )
Structure Level Pattern Image Note
TS20: embryo Present JAX_430815

Specimen JAX_430817: embryonic day 12.5; Htr3btm1.1(KOMP)Vlcg/Htr3b+ (more )
Structure Level Pattern Image Note
TS20: embryo Present JAX_430817

Specimen JAX_430819: embryonic day 12.5; Htr3btm1.1(KOMP)Vlcg/Htr3b+ (more )
Structure Level Pattern Image Note
TS20: embryo Present JAX_430819

Specimen JAX_430821: embryonic day 12.5; Htr3btm1.1(KOMP)Vlcg/Htr3b+ (more )
Structure Level Pattern Image Note
TS20: embryo Present JAX_430821

Specimen JAX_1800008: postnatal adult; Htr3btm1.1(KOMP)Vlcg/Htr3b+ (more )
Structure Level Pattern Image Note
TS28: uterus Present JAX_1800008

Specimen JAX_1800010: postnatal adult; Htr3btm1.1(KOMP)Vlcg/Htr3b+ (more )
Structure Level Pattern Image Note
TS28: ovary Present JAX_1800010

Specimen JAX_1800011: postnatal adult; Htr3btm1.1(KOMP)Vlcg/Htr3b+ (more )
Structure Level Pattern Image Note
TS28: peripheral nervous system Present JAX_1800011

Specimen JAX_1800012: postnatal adult; Htr3btm1.1(KOMP)Vlcg/Htr3b+ (more )
Structure Level Pattern Image Note
TS28: small intestine Present JAX_1800012

Specimen JAX_1800013: postnatal adult; Htr3btm1.1(KOMP)Vlcg/Htr3b+ (more )
Structure Level Pattern Image Note
TS28: spinal cord Present JAX_1800013

Specimen JAX_1800014: postnatal adult; Htr3btm1.1(KOMP)Vlcg/Htr3b+ (more )
Structure Level Pattern Image Note
TS28: large intestine Present JAX_1800014

Specimen JAX_1800015: postnatal adult; Htr3btm1.1(KOMP)Vlcg/Htr3b+ (more )
Structure Level Pattern Image Note
TS28: stomach Present JAX_1800015

Specimen JAX_1800016: postnatal adult; Htr3btm1.1(KOMP)Vlcg/Htr3b+ (more )
Structure Level Pattern Image Note
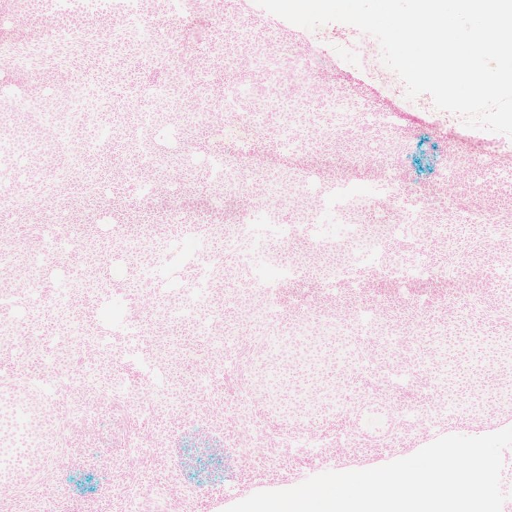
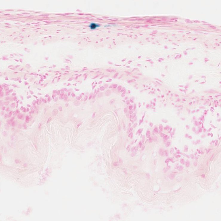
TS28: metanephros Present JAX_1800016 kidney

Specimen JAX_1800017: postnatal adult; Htr3btm1.1(KOMP)Vlcg/Htr3b+ (more )
Structure Level Pattern Image Note
TS28: adrenal gland Present JAX_1800017


Contributing Projects:
Mouse Genome Database (MGD), Gene Expression Database (GXD), Mouse Models of Human Cancer database (MMHCdb) (formerly Mouse Tumor Biology (MTB)), Gene Ontology (GO)
Citing These Resources
Funding Information
Warranty Disclaimer, Privacy Notice, Licensing, & Copyright
Send questions and comments to User Support.
last database update
01/20/2026
MGI 6.24
The Jackson Laboratory