About   Help   FAQ
Gene Expression Data
Assay Details
Assay
Reference: J:228563 Koscielny G, et al., The International Mouse Phenotyping Consortium Web Portal, a unified point of access for knockout mice and related phenotyping data. Nucleic Acids Res. 2014 Jan;42(Database issue):D802-9
Assay type: In situ reporter (knock in)
MGI Accession ID: MGI:6691581
Gene symbol: Chdh
Gene name: choline dehydrogenase
Reporter: lacZ
Direct Detection
Results
Specimen UC Davis_1886314: postnatal adult; Chdhtm1b(KOMP)Mbp/Chdh+ (more )
Structure Level Pattern Image Note
TS28: submandibular gland Present UC Davis_1886314

Specimen UC Davis_1886315: postnatal adult; Chdhtm1b(KOMP)Mbp/Chdh+ (more )
Structure Level Pattern Image Note
TS28: trachea Present UC Davis_1886315

Specimen UC Davis_1886316: postnatal adult; Chdhtm1b(KOMP)Mbp/Chdh+ (more )
Structure Level Pattern Image Note
TS28: thymus Present UC Davis_1886316

Specimen UC Davis_1886317: postnatal adult; Chdhtm1b(KOMP)Mbp/Chdh+ (more )
Structure Level Pattern Image Note
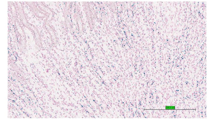
TS28: metanephros Present UC Davis_1886317 kidney

Specimen UC Davis_1886318: postnatal adult; Chdhtm1b(KOMP)Mbp/Chdh+ (more )
Structure Level Pattern Image Note
TS28: metanephros Present UC Davis_1886318 kidney

Specimen UC Davis_1886319: postnatal adult; Chdhtm1b(KOMP)Mbp/Chdh+ (more )
Structure Level Pattern Image Note
TS28: metanephros Present UC Davis_1886319 kidney

Specimen UC Davis_1886322: postnatal adult; Chdhtm1b(KOMP)Mbp/Chdh+ (more )
Structure Level Pattern Image Note
TS28: Harderian gland Present UC Davis_1886322

Specimen UC Davis_1886323: postnatal adult; Chdhtm1b(KOMP)Mbp/Chdh+ (more )
Structure Level Pattern Image Note
TS28: Harderian gland Present UC Davis_1886323

Specimen UC Davis_1886324: postnatal adult; Chdhtm1b(KOMP)Mbp/Chdh+ (more )
Structure Level Pattern Image Note
TS28: skin Present UC Davis_1886324

Specimen UC Davis_1886325: postnatal adult; Chdhtm1b(KOMP)Mbp/Chdh+ (more )
Structure Level Pattern Image Note
TS28: skin Present UC Davis_1886325

Specimen UC Davis_1886326: postnatal adult; Chdhtm1b(KOMP)Mbp/Chdh+ (more )
Structure Level Pattern Image Note
TS28: oviduct Present UC Davis_1886326

Specimen UC Davis_1886327: postnatal adult; Chdhtm1b(KOMP)Mbp/Chdh+ (more )
Structure Level Pattern Image Note
TS28: uterus Present UC Davis_1886327

Specimen UC Davis_1886328: postnatal adult; Chdhtm1b(KOMP)Mbp/Chdh+ (more )
Structure Level Pattern Image Note
TS28: vagina Present UC Davis_1886328

Specimen UC Davis_1886329: postnatal adult; Chdhtm1b(KOMP)Mbp/Chdh+ (more )
Structure Level Pattern Image Note
TS28: vagina Present UC Davis_1886329

Specimen UC Davis_1886330: postnatal adult; Chdhtm1b(KOMP)Mbp/Chdh+ (more )
Structure Level Pattern Image Note
TS28: mammary gland Present UC Davis_1886330

Specimen UC Davis_1886293: postnatal adult; Chdhtm1b(KOMP)Mbp/Chdh+ (more )
Structure Level Pattern Image Note
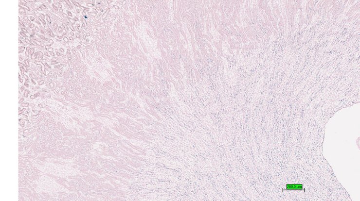
TS28: ileum Present UC Davis_1886293

Specimen UC Davis_1886294: postnatal adult; Chdhtm1b(KOMP)Mbp/Chdh+ (more )
Structure Level Pattern Image Note
TS28: ileum Present UC Davis_1886294

Specimen UC Davis_1886295: postnatal adult; Chdhtm1b(KOMP)Mbp/Chdh+ (more )
Structure Level Pattern Image Note
TS28: metanephros Present UC Davis_1886295 kidney

Specimen UC Davis_1886296: postnatal adult; Chdhtm1b(KOMP)Mbp/Chdh+ (more )
Structure Level Pattern Image Note
TS28: metanephros Present UC Davis_1886296 kidney

Specimen UC Davis_1886297: postnatal adult; Chdhtm1b(KOMP)Mbp/Chdh+ (more )
Structure Level Pattern Image Note
TS28: metanephros Present UC Davis_1886297 kidney

Specimen UC Davis_1886298: postnatal adult; Chdhtm1b(KOMP)Mbp/Chdh+ (more )
Structure Level Pattern Image Note
TS28: metanephros Present UC Davis_1886298 kidney

Specimen UC Davis_1886299: postnatal adult; Chdhtm1b(KOMP)Mbp/Chdh+ (more )
Structure Level Pattern Image Note
TS28: Harderian gland Present UC Davis_1886299

Specimen UC Davis_1886300: postnatal adult; Chdhtm1b(KOMP)Mbp/Chdh+ (more )
Structure Level Pattern Image Note
TS28: Harderian gland Present UC Davis_1886300

Specimen UC Davis_1886301: postnatal adult; Chdhtm1b(KOMP)Mbp/Chdh+ (more )
Structure Level Pattern Image Note
TS28: Harderian gland Present UC Davis_1886301

Specimen UC Davis_1886302: postnatal adult; Chdhtm1b(KOMP)Mbp/Chdh+ (more )
Structure Level Pattern Image Note
TS28: skin Present UC Davis_1886302

Specimen UC Davis_1886303: postnatal adult; Chdhtm1b(KOMP)Mbp/Chdh+ (more )
Structure Level Pattern Image Note
TS28: skin Present UC Davis_1886303

Specimen UC Davis_1886304: postnatal adult; Chdhtm1b(KOMP)Mbp/Chdh+ (more )
Structure Level Pattern Image Note
TS28: testis Present UC Davis_1886304

Specimen UC Davis_1886305: postnatal adult; Chdhtm1b(KOMP)Mbp/Chdh+ (more )
Structure Level Pattern Image Note
TS28: testis Present UC Davis_1886305

Specimen UC Davis_1886306: postnatal adult; Chdhtm1b(KOMP)Mbp/Chdh+ (more )
Structure Level Pattern Image Note
TS28: epididymis Present UC Davis_1886306

Specimen UC Davis_1886307: postnatal adult; Chdhtm1b(KOMP)Mbp/Chdh+ (more )
Structure Level Pattern Image Note
TS28: epididymis Present UC Davis_1886307

Specimen UC Davis_1886308: postnatal adult; Chdhtm1b(KOMP)Mbp/Chdh+ (more )
Structure Level Pattern Image Note
TS28: prostate gland Present UC Davis_1886308

Specimen UC Davis_1886309: postnatal adult; Chdhtm1b(KOMP)Mbp/Chdh+ (more )
Structure Level Pattern Image Note
TS28: penis Present UC Davis_1886309

Specimen UC Davis_1886310: postnatal adult; Chdhtm1b(KOMP)Mbp/Chdh+ (more )
Structure Level Pattern Image Note
TS28: penis Present UC Davis_1886310

Specimen UC Davis_1886311: postnatal adult; Chdhtm1b(KOMP)Mbp/Chdh+ (more )
Structure Level Pattern Image Note
TS28: ductus deferens Present UC Davis_1886311 vas deferens


Contributing Projects:
Mouse Genome Database (MGD), Gene Expression Database (GXD), Mouse Models of Human Cancer database (MMHCdb) (formerly Mouse Tumor Biology (MTB)), Gene Ontology (GO)
Citing These Resources
Funding Information
Warranty Disclaimer, Privacy Notice, Licensing, & Copyright
Send questions and comments to User Support.
last database update
01/20/2026
MGI 6.24
The Jackson Laboratory