About   Help   FAQ
Gene Expression Data
Assay Details
Assay
Reference: J:228563 Koscielny G, et al., The International Mouse Phenotyping Consortium Web Portal, a unified point of access for knockout mice and related phenotyping data. Nucleic Acids Res. 2014 Jan;42(Database issue):D802-9
Assay type: In situ reporter (knock in)
MGI Accession ID: MGI:6691568
Gene symbol: Cdc20
Gene name: cell division cycle 20
Reporter: lacZ
Direct Detection
Results
Specimen JAX_1329823: embryonic day 12.5; Cdc20tm1.1(KOMP)Vlcg/Cdc20+ (more )
Structure Level Pattern Image Note
TS20: embryo Present JAX_1329823

Specimen JAX_1329824: embryonic day 12.5; Cdc20tm1.1(KOMP)Vlcg/Cdc20+ (more )
Structure Level Pattern Image Note
TS20: embryo Present JAX_1329824

Specimen JAX_1329825: embryonic day 12.5; Cdc20tm1.1(KOMP)Vlcg/Cdc20+ (more )
Structure Level Pattern Image Note
TS20: embryo Present JAX_1329825

Specimen JAX_1329826: embryonic day 12.5; Cdc20tm1.1(KOMP)Vlcg/Cdc20+ (more )
Structure Level Pattern Image Note
TS20: embryo Present JAX_1329826

Specimen JAX_266533: embryonic day 12.5; Cdc20tm1.1(KOMP)Vlcg/Cdc20+ (more )
Structure Level Pattern Image Note
TS20: embryo Present JAX_266533

Specimen JAX_266535: embryonic day 12.5; Cdc20tm1.1(KOMP)Vlcg/Cdc20+ (more )
Structure Level Pattern Image Note
TS20: embryo Present JAX_266535

Specimen JAX_266537: embryonic day 12.5; Cdc20tm1.1(KOMP)Vlcg/Cdc20+ (more )
Structure Level Pattern Image Note
TS20: embryo Present JAX_266537

Specimen JAX_266539: embryonic day 12.5; Cdc20tm1.1(KOMP)Vlcg/Cdc20+ (more )
Structure Level Pattern Image Note
TS20: embryo Present JAX_266539

Specimen JAX_1798456: postnatal adult; Cdc20tm1.1(KOMP)Vlcg/Cdc20+ (more )
Structure Level Pattern Image Note
TS28: thalamus Present JAX_1798456

Specimen JAX_1798457: postnatal adult; Cdc20tm1.1(KOMP)Vlcg/Cdc20+ (more )
Structure Level Pattern Image Note
TS28: cerebellum Present JAX_1798457

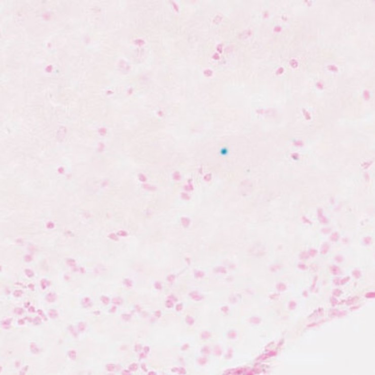
Specimen JAX_1798458: postnatal adult; Cdc20tm1.1(KOMP)Vlcg/Cdc20+ (more )
Structure Level Pattern Image Note
TS28: brainstem Present JAX_1798458

Specimen JAX_1798459: postnatal adult; Cdc20tm1.1(KOMP)Vlcg/Cdc20+ (more )
Structure Level Pattern Image Note
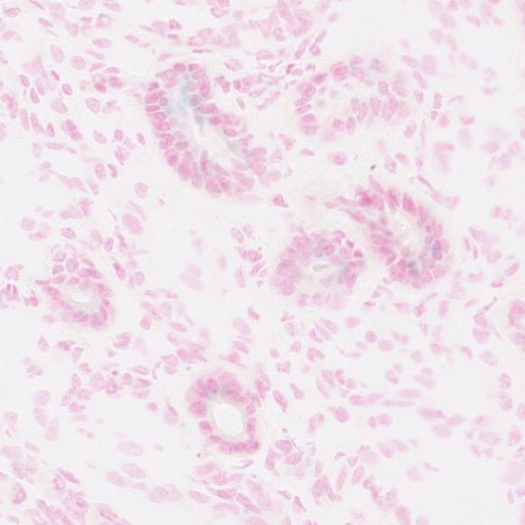
TS28: uterus Present JAX_1798459

Specimen JAX_1798460: postnatal adult; Cdc20tm1.1(KOMP)Vlcg/Cdc20+ (more )
Structure Level Pattern Image Note
TS28: ovary Present JAX_1798460

Specimen JAX_1798461: postnatal adult; Cdc20tm1.1(KOMP)Vlcg/Cdc20+ (more )
Structure Level Pattern Image Note
TS28: brain Present JAX_1798461

Specimen JAX_1798462: postnatal adult; Cdc20tm1.1(KOMP)Vlcg/Cdc20+ (more )
Structure Level Pattern Image Note
TS28: bone marrow Present JAX_1798462


Contributing Projects:
Mouse Genome Database (MGD), Gene Expression Database (GXD), Mouse Models of Human Cancer database (MMHCdb) (formerly Mouse Tumor Biology (MTB)), Gene Ontology (GO)
Citing These Resources
Funding Information
Warranty Disclaimer, Privacy Notice, Licensing, & Copyright
Send questions and comments to User Support.
last database update
01/28/2026
MGI 6.24
The Jackson Laboratory