About   Help   FAQ
Gene Expression Data
Assay Details
Assay
Reference: J:228563 Koscielny G, et al., The International Mouse Phenotyping Consortium Web Portal, a unified point of access for knockout mice and related phenotyping data. Nucleic Acids Res. 2014 Jan;42(Database issue):D802-9
Assay type: In situ reporter (knock in)
MGI Accession ID: MGI:6691552
Gene symbol: Nphp1
Gene name: nephronophthisis 1 (juvenile) homolog (human)
Reporter: lacZ
Direct Detection
Results
Specimen UC Davis_1863920: postnatal adult; Nphp1tm1.1(KOMP)Vlcg/Nphp1+ (more )
Structure Level Pattern Image Note
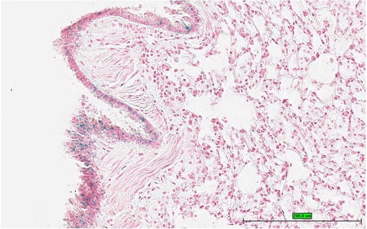
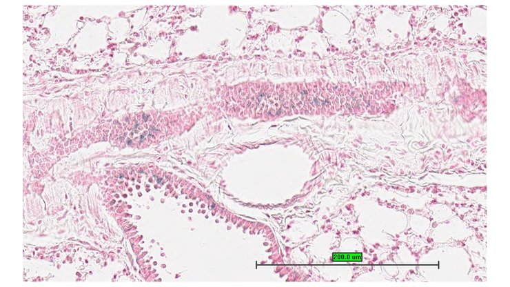
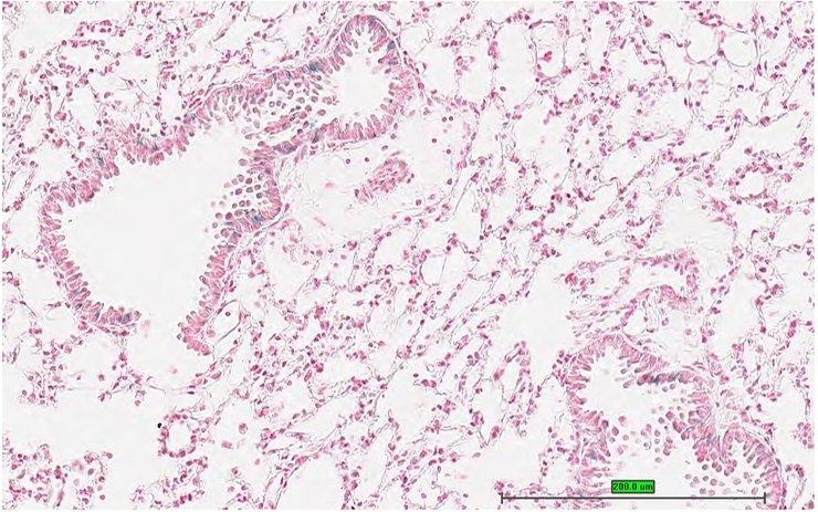
TS28: lung Present UC Davis_1863920

Specimen UC Davis_1863921: postnatal adult; Nphp1tm1.1(KOMP)Vlcg/Nphp1+ (more )
Structure Level Pattern Image Note
TS28: lung Present UC Davis_1863921

Specimen UC Davis_1863922: postnatal adult; Nphp1tm1.1(KOMP)Vlcg/Nphp1+ (more )
Structure Level Pattern Image Note
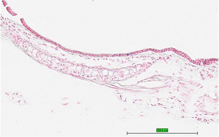
TS28: ileum Present UC Davis_1863922

Specimen UC Davis_1863925: postnatal adult; Nphp1tm1.1(KOMP)Vlcg/Nphp1+ (more )
Structure Level Pattern Image Note
TS28: midbrain Present UC Davis_1863925

Specimen UC Davis_1863926: postnatal adult; Nphp1tm1.1(KOMP)Vlcg/Nphp1+ (more )
Structure Level Pattern Image Note
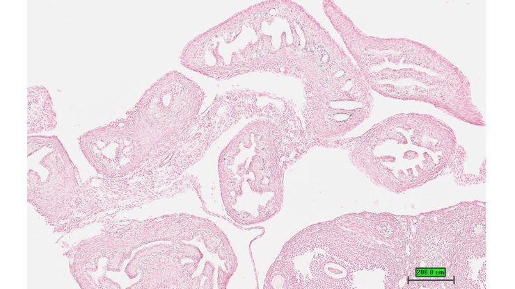
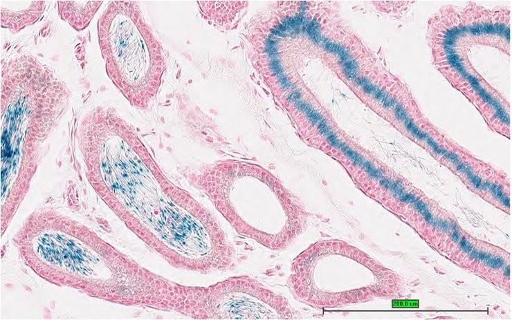
TS28: oviduct Present UC Davis_1863926

Specimen UC Davis_1863927: postnatal adult; Nphp1tm1.1(KOMP)Vlcg/Nphp1+ (more )
Structure Level Pattern Image Note
TS28: oviduct Present UC Davis_1863927

Specimen UC Davis_1863957: postnatal adult; Nphp1tm1.1(KOMP)Vlcg/Nphp1+ (more )
Structure Level Pattern Image Note
TS28: oviduct Present UC Davis_1863957

Specimen UC Davis_1863928: postnatal adult; Nphp1tm1.1(KOMP)Vlcg/Nphp1+ (more )
Structure Level Pattern Image Note
TS28: trachea Present UC Davis_1863928

Specimen UC Davis_1863930: postnatal adult; Nphp1tm1.1(KOMP)Vlcg/Nphp1+ (more )
Structure Level Pattern Image Note
TS28: lung Present UC Davis_1863930

Specimen UC Davis_1863931: postnatal adult; Nphp1tm1.1(KOMP)Vlcg/Nphp1+ (more )
Structure Level Pattern Image Note
TS28: lung Present UC Davis_1863931

Specimen UC Davis_1863932: postnatal adult; Nphp1tm1.1(KOMP)Vlcg/Nphp1+ (more )
Structure Level Pattern Image Note
TS28: lung Present UC Davis_1863932

Specimen UC Davis_1863933: postnatal adult; Nphp1tm1.1(KOMP)Vlcg/Nphp1+ (more )
Structure Level Pattern Image Note
TS28: lung Present UC Davis_1863933

Specimen UC Davis_1863934: postnatal adult; Nphp1tm1.1(KOMP)Vlcg/Nphp1+ (more )
Structure Level Pattern Image Note
TS28: ileum Present UC Davis_1863934

Specimen UC Davis_1863935: postnatal adult; Nphp1tm1.1(KOMP)Vlcg/Nphp1+ (more )
Structure Level Pattern Image Note
TS28: metanephros Present UC Davis_1863935 kidney

Specimen UC Davis_1863938: postnatal adult; Nphp1tm1.1(KOMP)Vlcg/Nphp1+ (more )
Structure Level Pattern Image Note
TS28: midbrain Present UC Davis_1863938

Specimen UC Davis_1863940: postnatal adult; Nphp1tm1.1(KOMP)Vlcg/Nphp1+ (more )
Structure Level Pattern Image Note
TS28: testis Present UC Davis_1863940

Specimen UC Davis_1863941: postnatal adult; Nphp1tm1.1(KOMP)Vlcg/Nphp1+ (more )
Structure Level Pattern Image Note
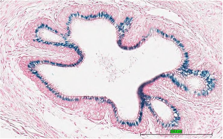
TS28: epididymis Present UC Davis_1863941

Specimen UC Davis_1863942: postnatal adult; Nphp1tm1.1(KOMP)Vlcg/Nphp1+ (more )
Structure Level Pattern Image Note
TS28: ductus deferens Present UC Davis_1863942 vas deferens

Specimen UC Davis_1863945: postnatal adult; Nphp1tm1.1(KOMP)Vlcg/Nphp1+ (more )
Structure Level Pattern Image Note
TS28: midbrain Present UC Davis_1863945

Specimen UC Davis_1863947: postnatal adult; Nphp1tm1.1(KOMP)Vlcg/Nphp1+ (more )
Structure Level Pattern Image Note
TS28: cerebellum Present UC Davis_1863947

Specimen UC Davis_1863948: postnatal adult; Nphp1tm1.1(KOMP)Vlcg/Nphp1+ (more )
Structure Level Pattern Image Note
TS28: brain Present UC Davis_1863948

Specimen UC Davis_1863949: postnatal adult; Nphp1tm1.1(KOMP)Vlcg/Nphp1+ (more )
Structure Level Pattern Image Note
TS28: lung Present UC Davis_1863949

Specimen UC Davis_1863950: postnatal adult; Nphp1tm1.1(KOMP)Vlcg/Nphp1+ (more )
Structure Level Pattern Image Note
TS28: trachea Present UC Davis_1863950

Specimen UC Davis_1863951: postnatal adult; Nphp1tm1.1(KOMP)Vlcg/Nphp1+ (more )
Structure Level Pattern Image Note
TS28: thyroid gland Present UC Davis_1863951

Specimen UC Davis_1863952: postnatal adult; Nphp1tm1.1(KOMP)Vlcg/Nphp1+ (more )
Structure Level Pattern Image Note
TS28: spinal cord Present UC Davis_1863952

Specimen UC Davis_1863953: postnatal adult; Nphp1tm1.1(KOMP)Vlcg/Nphp1+ (more )
Structure Level Pattern Image Note
TS28: pituitary gland Present UC Davis_1863953

Specimen UC Davis_1863954: postnatal adult; Nphp1tm1.1(KOMP)Vlcg/Nphp1+ (more )
Structure Level Pattern Image Note
TS28: testis Present UC Davis_1863954

Specimen UC Davis_1863955: postnatal adult; Nphp1tm1.1(KOMP)Vlcg/Nphp1+ (more )
Structure Level Pattern Image Note
TS28: thoracic segment skeleton Present UC Davis_1863955 chest bone


Contributing Projects:
Mouse Genome Database (MGD), Gene Expression Database (GXD), Mouse Models of Human Cancer database (MMHCdb) (formerly Mouse Tumor Biology (MTB)), Gene Ontology (GO)
Citing These Resources
Funding Information
Warranty Disclaimer, Privacy Notice, Licensing, & Copyright
Send questions and comments to User Support.
last database update
01/28/2026
MGI 6.24
The Jackson Laboratory