About   Help   FAQ
Gene Expression Data
Assay Details
Assay
Reference: J:228563 Koscielny G, et al., The International Mouse Phenotyping Consortium Web Portal, a unified point of access for knockout mice and related phenotyping data. Nucleic Acids Res. 2014 Jan;42(Database issue):D802-9
Assay type: In situ reporter (knock in)
MGI Accession ID: MGI:6691548
Gene symbol: Rab11a
Gene name: RAB11A, member RAS oncogene family
Reporter: lacZ
Direct Detection
Results
Specimen JAX_1470258: embryonic day 12.5; Rab11atm1b(KOMP)Wtsi/Rab11a+ (more )
Structure Level Pattern Image Note
TS20: embryo Present JAX_1470258

Specimen JAX_1470259: embryonic day 12.5; Rab11atm1b(KOMP)Wtsi/Rab11a+ (more )
Structure Level Pattern Image Note
TS20: embryo Present JAX_1470259

Specimen JAX_1470260: embryonic day 12.5; Rab11atm1b(KOMP)Wtsi/Rab11a+ (more )
Structure Level Pattern Image Note
TS20: embryo Present JAX_1470260

Specimen JAX_1470261: embryonic day 12.5; Rab11atm1b(KOMP)Wtsi/Rab11a+ (more )
Structure Level Pattern Image Note
TS20: embryo Present JAX_1470261

Specimen JAX_1007325: embryonic day 12.5; Rab11atm1b(KOMP)Wtsi/Rab11a+ (more )
Structure Level Pattern Image Note
TS20: embryo Present JAX_1007325

Specimen JAX_1007327: embryonic day 12.5; Rab11atm1b(KOMP)Wtsi/Rab11a+ (more )
Structure Level Pattern Image Note
TS20: embryo Present JAX_1007327

Specimen JAX_1007329: embryonic day 12.5; Rab11atm1b(KOMP)Wtsi/Rab11a+ (more )
Structure Level Pattern Image Note
TS20: embryo Present JAX_1007329

Specimen JAX_1007331: embryonic day 12.5; Rab11atm1b(KOMP)Wtsi/Rab11a+ (more )
Structure Level Pattern Image Note
TS20: embryo Present JAX_1007331

Specimen JAX_1007333: embryonic day 12.5; Rab11atm1b(KOMP)Wtsi/Rab11a+ (more )
Structure Level Pattern Image Note
TS20: embryo Present JAX_1007333

Specimen JAX_1007335: embryonic day 12.5; Rab11atm1b(KOMP)Wtsi/Rab11a+ (more )
Structure Level Pattern Image Note
TS20: embryo Present JAX_1007335

Specimen JAX_1007337: embryonic day 12.5; Rab11atm1b(KOMP)Wtsi/Rab11a+ (more )
Structure Level Pattern Image Note
TS20: embryo Present JAX_1007337

Specimen JAX_1007339: embryonic day 12.5; Rab11atm1b(KOMP)Wtsi/Rab11a+ (more )
Structure Level Pattern Image Note
TS20: embryo Present JAX_1007339

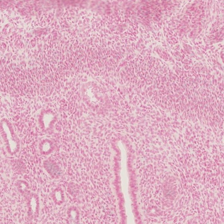
Specimen JAX_1543179: postnatal adult; Rab11atm1b(KOMP)Wtsi/Rab11a+ (more )
Structure Level Pattern Image Note
TS28: uterus Present JAX_1543179

Specimen JAX_1543180: postnatal adult; Rab11atm1b(KOMP)Wtsi/Rab11a+ (more )
Structure Level Pattern Image Note
TS28: skin Present JAX_1543180

Specimen JAX_1543181: postnatal adult; Rab11atm1b(KOMP)Wtsi/Rab11a+ (more )
Structure Level Pattern Image Note
TS28: ovary Present JAX_1543181

Specimen JAX_1543182: postnatal adult; Rab11atm1b(KOMP)Wtsi/Rab11a+ (more )
Structure Level Pattern Image Note
TS28: heart Present JAX_1543182

Specimen JAX_1543183: postnatal adult; Rab11atm1b(KOMP)Wtsi/Rab11a+ (more )
Structure Level Pattern Image Note
TS28: eye Present JAX_1543183

Specimen JAX_1543184: postnatal adult; Rab11atm1b(KOMP)Wtsi/Rab11a+ (more )
Structure Level Pattern Image Note
TS28: adrenal gland Present JAX_1543184

Specimen JAX_1543185: postnatal adult; Rab11atm1b(KOMP)Wtsi/Rab11a+ (more )
Structure Level Pattern Image Note
TS28: esophagus Present JAX_1543185

Specimen JAX_1543186: postnatal adult; Rab11atm1b(KOMP)Wtsi/Rab11a+ (more )
Structure Level Pattern Image Note
TS28: testis Present JAX_1543186

Specimen JAX_1543187: postnatal adult; Rab11atm1b(KOMP)Wtsi/Rab11a+ (more )
Structure Level Pattern Image Note
TS28: metanephros Present JAX_1543187 kidney


Contributing Projects:
Mouse Genome Database (MGD), Gene Expression Database (GXD), Mouse Models of Human Cancer database (MMHCdb) (formerly Mouse Tumor Biology (MTB)), Gene Ontology (GO)
Citing These Resources
Funding Information
Warranty Disclaimer, Privacy Notice, Licensing, & Copyright
Send questions and comments to User Support.
last database update
01/06/2026
MGI 6.24
The Jackson Laboratory