About   Help   FAQ
Gene Expression Data
Assay Details
Assay
Reference: J:228563 Koscielny G, et al., The International Mouse Phenotyping Consortium Web Portal, a unified point of access for knockout mice and related phenotyping data. Nucleic Acids Res. 2014 Jan;42(Database issue):D802-9
Assay type: In situ reporter (knock in)
MGI Accession ID: MGI:6691525
Gene symbol: Pttg1
Gene name: pituitary tumor-transforming gene 1
Reporter: lacZ
Direct Detection
Results
Specimen TCP_1465909: postnatal adult; Pttg1tm1b(EUCOMM)Wtsi/Pttg1+ (more )
Structure Level Pattern Image Note
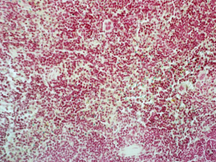
TS28: spleen Present TCP_1465909

Specimen TCP_1465910: postnatal adult; Pttg1tm1b(EUCOMM)Wtsi/Pttg1+ (more )
Structure Level Pattern Image Note
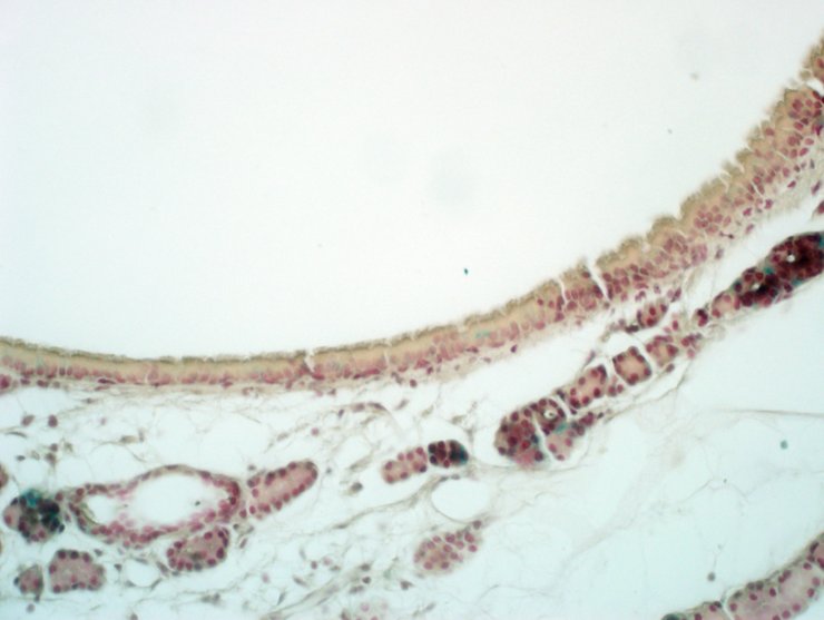
TS28: trachea Present TCP_1465910

Specimen TCP_1465905: postnatal adult; Pttg1tm1b(EUCOMM)Wtsi/Pttg1+ (more )
Structure Level Pattern Image Note
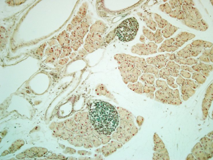
TS28: pancreas Present TCP_1465905

Specimen TCP_1465906: postnatal adult; Pttg1tm1b(EUCOMM)Wtsi/Pttg1+ (more )
Structure Level Pattern Image Note
TS28: spleen Present TCP_1465906

Specimen TCP_1465907: postnatal adult; Pttg1tm1b(EUCOMM)Wtsi/Pttg1+ (more )
Structure Level Pattern Image Note
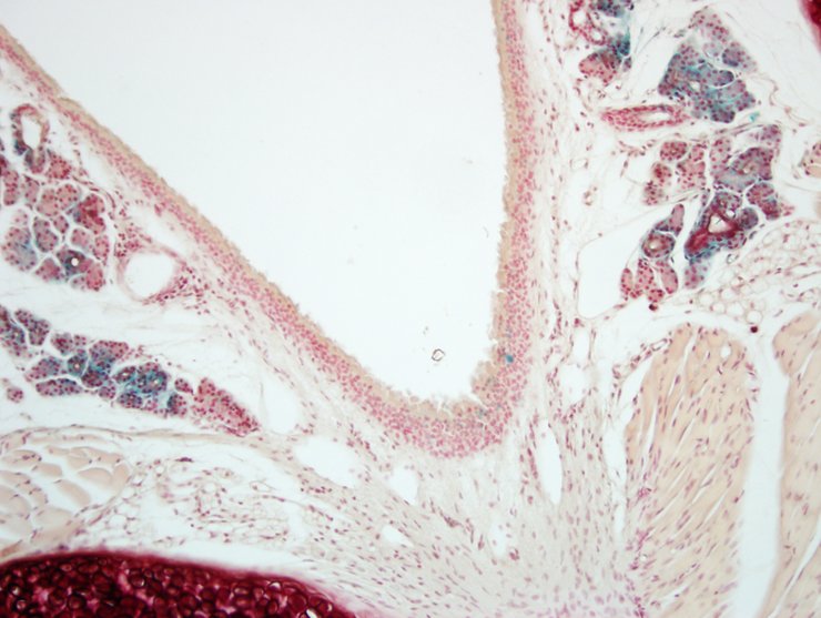
TS28: testis Present TCP_1465907

Specimen TCP_1465908: postnatal adult; Pttg1tm1b(EUCOMM)Wtsi/Pttg1+ (more )
Structure Level Pattern Image Note
TS28: trachea Present TCP_1465908


Contributing Projects:
Mouse Genome Database (MGD), Gene Expression Database (GXD), Mouse Models of Human Cancer database (MMHCdb) (formerly Mouse Tumor Biology (MTB)), Gene Ontology (GO)
Citing These Resources
Funding Information
Warranty Disclaimer, Privacy Notice, Licensing, & Copyright
Send questions and comments to User Support.
last database update
01/28/2026
MGI 6.24
The Jackson Laboratory