About   Help   FAQ
Gene Expression Data
Assay Details
Assay
Reference: J:228563 Koscielny G, et al., The International Mouse Phenotyping Consortium Web Portal, a unified point of access for knockout mice and related phenotyping data. Nucleic Acids Res. 2014 Jan;42(Database issue):D802-9
Assay type: In situ reporter (knock in)
MGI Accession ID: MGI:6691513
Gene symbol: Nr1h3
Gene name: nuclear receptor subfamily 1, group H, member 3
Reporter: lacZ
Direct Detection
Results
Specimen UC Davis_1877857: postnatal adult; Nr1h3tm1.1(KOMP)Vlcg/Nr1h3+ (more )
Structure Level Pattern Image Note
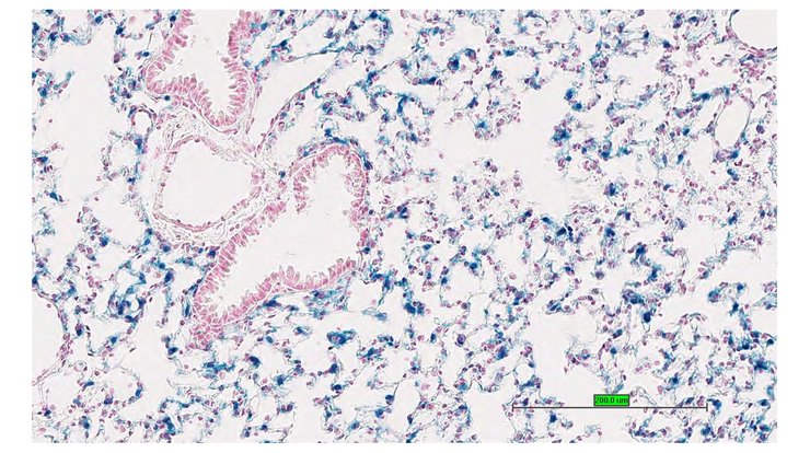
TS28: lung Present UC Davis_1877857

Specimen UC Davis_1877858: postnatal adult; Nr1h3tm1.1(KOMP)Vlcg/Nr1h3+ (more )
Structure Level Pattern Image Note
TS28: lung Present UC Davis_1877858

Specimen UC Davis_1877859: postnatal adult; Nr1h3tm1.1(KOMP)Vlcg/Nr1h3+ (more )
Structure Level Pattern Image Note
TS28: thymus Present UC Davis_1877859

Specimen UC Davis_1877861: postnatal adult; Nr1h3tm1.1(KOMP)Vlcg/Nr1h3+ (more )
Structure Level Pattern Image Note
TS28: mesenteric lymph node Present UC Davis_1877861

Specimen UC Davis_1877862: postnatal adult; Nr1h3tm1.1(KOMP)Vlcg/Nr1h3+ (more )
Structure Level Pattern Image Note
TS28: spleen Present UC Davis_1877862

Specimen UC Davis_1877863: postnatal adult; Nr1h3tm1.1(KOMP)Vlcg/Nr1h3+ (more )
Structure Level Pattern Image Note
TS28: spleen Present UC Davis_1877863

Specimen UC Davis_1877864: postnatal adult; Nr1h3tm1.1(KOMP)Vlcg/Nr1h3+ (more )
Structure Level Pattern Image Note
TS28: spleen Present UC Davis_1877864

Specimen UC Davis_1877865: postnatal adult; Nr1h3tm1.1(KOMP)Vlcg/Nr1h3+ (more )
Structure Level Pattern Image Note
TS28: liver Present UC Davis_1877865

Specimen UC Davis_1877866: postnatal adult; Nr1h3tm1.1(KOMP)Vlcg/Nr1h3+ (more )
Structure Level Pattern Image Note
TS28: liver Present UC Davis_1877866

Specimen UC Davis_1877867: postnatal adult; Nr1h3tm1.1(KOMP)Vlcg/Nr1h3+ (more )
Structure Level Pattern Image Note
TS28: Harderian gland Present UC Davis_1877867

Specimen UC Davis_1877869: postnatal adult; Nr1h3tm1.1(KOMP)Vlcg/Nr1h3+ (more )
Structure Level Pattern Image Note
TS28: midbrain Present UC Davis_1877869

Specimen UC Davis_1877870: postnatal adult; Nr1h3tm1.1(KOMP)Vlcg/Nr1h3+ (more )
Structure Level Pattern Image Note
TS28: cerebellum Present UC Davis_1877870

Specimen UC Davis_1877836: postnatal adult; Nr1h3tm1.1(KOMP)Vlcg/Nr1h3+ (more )
Structure Level Pattern Image Note
TS28: esophagus Present UC Davis_1877836

Specimen UC Davis_1877838: postnatal adult; Nr1h3tm1.1(KOMP)Vlcg/Nr1h3+ (more )
Structure Level Pattern Image Note
TS28: lung Present UC Davis_1877838

Specimen UC Davis_1877839: postnatal adult; Nr1h3tm1.1(KOMP)Vlcg/Nr1h3+ (more )
Structure Level Pattern Image Note
TS28: lung Present UC Davis_1877839

Specimen UC Davis_1877840: postnatal adult; Nr1h3tm1.1(KOMP)Vlcg/Nr1h3+ (more )
Structure Level Pattern Image Note
TS28: ileum Present UC Davis_1877840

Specimen UC Davis_1877841: postnatal adult; Nr1h3tm1.1(KOMP)Vlcg/Nr1h3+ (more )
Structure Level Pattern Image Note
TS28: spleen Present UC Davis_1877841

Specimen UC Davis_1877842: postnatal adult; Nr1h3tm1.1(KOMP)Vlcg/Nr1h3+ (more )
Structure Level Pattern Image Note
TS28: liver Present UC Davis_1877842

Specimen UC Davis_1877843: postnatal adult; Nr1h3tm1.1(KOMP)Vlcg/Nr1h3+ (more )
Structure Level Pattern Image Note
TS28: liver Present UC Davis_1877843

Specimen UC Davis_1877844: postnatal adult; Nr1h3tm1.1(KOMP)Vlcg/Nr1h3+ (more )
Structure Level Pattern Image Note
TS28: metanephros Present UC Davis_1877844 kidney

Specimen UC Davis_1877845: postnatal adult; Nr1h3tm1.1(KOMP)Vlcg/Nr1h3+ (more )
Structure Level Pattern Image Note
TS28: tongue Present UC Davis_1877845

Specimen UC Davis_1877846: postnatal adult; Nr1h3tm1.1(KOMP)Vlcg/Nr1h3+ (more )
Structure Level Pattern Image Note
TS28: Harderian gland Present UC Davis_1877846

Specimen UC Davis_1877847: postnatal adult; Nr1h3tm1.1(KOMP)Vlcg/Nr1h3+ (more )
Structure Level Pattern Image Note
TS28: Harderian gland Present UC Davis_1877847

Specimen UC Davis_1877848: postnatal adult; Nr1h3tm1.1(KOMP)Vlcg/Nr1h3+ (more )
Structure Level Pattern Image Note
TS28: skin Present UC Davis_1877848

Specimen UC Davis_1877849: postnatal adult; Nr1h3tm1.1(KOMP)Vlcg/Nr1h3+ (more )
Structure Level Pattern Image Note
TS28: cerebellum Present UC Davis_1877849

Specimen UC Davis_1877850: postnatal adult; Nr1h3tm1.1(KOMP)Vlcg/Nr1h3+ (more )
Structure Level Pattern Image Note
TS28: cerebellum Present UC Davis_1877850

Specimen UC Davis_1877851: postnatal adult; Nr1h3tm1.1(KOMP)Vlcg/Nr1h3+ (more )
Structure Level Pattern Image Note
TS28: testis Present UC Davis_1877851

Specimen UC Davis_1877852: postnatal adult; Nr1h3tm1.1(KOMP)Vlcg/Nr1h3+ (more )
Structure Level Pattern Image Note
TS28: epididymis Present UC Davis_1877852

Specimen UC Davis_1877853: postnatal adult; Nr1h3tm1.1(KOMP)Vlcg/Nr1h3+ (more )
Structure Level Pattern Image Note
TS28: prostate gland Present UC Davis_1877853

Specimen UC Davis_1877854: postnatal adult; Nr1h3tm1.1(KOMP)Vlcg/Nr1h3+ (more )
Structure Level Pattern Image Note
TS28: ductus deferens Present UC Davis_1877854 vas deferens

Specimen UC Davis_1877809: postnatal adult; Nr1h3tm1.1(KOMP)Vlcg/Nr1h3tm1.1(KOMP)Vlcg (more )
Structure Level Pattern Image Note
TS28: lung Present UC Davis_1877809

Specimen UC Davis_1877810: postnatal adult; Nr1h3tm1.1(KOMP)Vlcg/Nr1h3tm1.1(KOMP)Vlcg (more )
Structure Level Pattern Image Note
TS28: lung Present UC Davis_1877810

Specimen UC Davis_1877811: postnatal adult; Nr1h3tm1.1(KOMP)Vlcg/Nr1h3tm1.1(KOMP)Vlcg (more )
Structure Level Pattern Image Note
TS28: lung Present UC Davis_1877811

Specimen UC Davis_1877812: postnatal adult; Nr1h3tm1.1(KOMP)Vlcg/Nr1h3tm1.1(KOMP)Vlcg (more )
Structure Level Pattern Image Note
TS28: mesenteric lymph node Present UC Davis_1877812

Specimen UC Davis_1877813: postnatal adult; Nr1h3tm1.1(KOMP)Vlcg/Nr1h3tm1.1(KOMP)Vlcg (more )
Structure Level Pattern Image Note
TS28: mesenteric lymph node Present UC Davis_1877813

Specimen UC Davis_1877814: postnatal adult; Nr1h3tm1.1(KOMP)Vlcg/Nr1h3tm1.1(KOMP)Vlcg (more )
Structure Level Pattern Image Note
TS28: jejunum Present UC Davis_1877814

Specimen UC Davis_1877815: postnatal adult; Nr1h3tm1.1(KOMP)Vlcg/Nr1h3tm1.1(KOMP)Vlcg (more )
Structure Level Pattern Image Note
TS28: jejunum Present UC Davis_1877815

Specimen UC Davis_1877816: postnatal adult; Nr1h3tm1.1(KOMP)Vlcg/Nr1h3tm1.1(KOMP)Vlcg (more )
Structure Level Pattern Image Note
TS28: ileum Present UC Davis_1877816

Specimen UC Davis_1877817: postnatal adult; Nr1h3tm1.1(KOMP)Vlcg/Nr1h3tm1.1(KOMP)Vlcg (more )
Structure Level Pattern Image Note
TS28: ileum Present UC Davis_1877817

Specimen UC Davis_1877818: postnatal adult; Nr1h3tm1.1(KOMP)Vlcg/Nr1h3tm1.1(KOMP)Vlcg (more )
Structure Level Pattern Image Note
TS28: spleen Present UC Davis_1877818

Specimen UC Davis_1877819: postnatal adult; Nr1h3tm1.1(KOMP)Vlcg/Nr1h3tm1.1(KOMP)Vlcg (more )
Structure Level Pattern Image Note
TS28: spleen Present UC Davis_1877819

Specimen UC Davis_1877820: postnatal adult; Nr1h3tm1.1(KOMP)Vlcg/Nr1h3tm1.1(KOMP)Vlcg (more )
Structure Level Pattern Image Note
TS28: liver Present UC Davis_1877820

Specimen UC Davis_1877821: postnatal adult; Nr1h3tm1.1(KOMP)Vlcg/Nr1h3tm1.1(KOMP)Vlcg (more )
Structure Level Pattern Image Note
TS28: liver Present UC Davis_1877821

Specimen UC Davis_1877822: postnatal adult; Nr1h3tm1.1(KOMP)Vlcg/Nr1h3tm1.1(KOMP)Vlcg (more )
Structure Level Pattern Image Note
TS28: metanephros Present UC Davis_1877822 kidney

Specimen UC Davis_1877823: postnatal adult; Nr1h3tm1.1(KOMP)Vlcg/Nr1h3tm1.1(KOMP)Vlcg (more )
Structure Level Pattern Image Note
TS28: metanephros Present UC Davis_1877823 kidney

Specimen UC Davis_1877827: postnatal adult; Nr1h3tm1.1(KOMP)Vlcg/Nr1h3tm1.1(KOMP)Vlcg (more )
Structure Level Pattern Image Note
TS28: midbrain Present UC Davis_1877827

Specimen UC Davis_1877829: postnatal adult; Nr1h3tm1.1(KOMP)Vlcg/Nr1h3tm1.1(KOMP)Vlcg (more )
Structure Level Pattern Image Note
TS28: cerebellum Present UC Davis_1877829

Specimen UC Davis_1877830: postnatal adult; Nr1h3tm1.1(KOMP)Vlcg/Nr1h3tm1.1(KOMP)Vlcg (more )
Structure Level Pattern Image Note
TS28: cerebellum Present UC Davis_1877830

Specimen UC Davis_1877831: postnatal adult; Nr1h3tm1.1(KOMP)Vlcg/Nr1h3tm1.1(KOMP)Vlcg (more )
Structure Level Pattern Image Note
TS28: testis Present UC Davis_1877831

Specimen UC Davis_1877832: postnatal adult; Nr1h3tm1.1(KOMP)Vlcg/Nr1h3tm1.1(KOMP)Vlcg (more )
Structure Level Pattern Image Note
TS28: epididymis Present UC Davis_1877832

Specimen UC Davis_1877833: postnatal adult; Nr1h3tm1.1(KOMP)Vlcg/Nr1h3tm1.1(KOMP)Vlcg (more )
Structure Level Pattern Image Note
TS28: epididymis Present UC Davis_1877833

Specimen UC Davis_1877834: postnatal adult; Nr1h3tm1.1(KOMP)Vlcg/Nr1h3tm1.1(KOMP)Vlcg (more )
Structure Level Pattern Image Note
TS28: ductus deferens Present UC Davis_1877834 vas deferens

Specimen UC Davis_1877835: postnatal adult; Nr1h3tm1.1(KOMP)Vlcg/Nr1h3tm1.1(KOMP)Vlcg (more )
Structure Level Pattern Image Note
TS28: ductus deferens Present UC Davis_1877835 vas deferens


Contributing Projects:
Mouse Genome Database (MGD), Gene Expression Database (GXD), Mouse Models of Human Cancer database (MMHCdb) (formerly Mouse Tumor Biology (MTB)), Gene Ontology (GO)
Citing These Resources
Funding Information
Warranty Disclaimer, Privacy Notice, Licensing, & Copyright
Send questions and comments to User Support.
last database update
01/20/2026
MGI 6.24
The Jackson Laboratory