About   Help   FAQ
Gene Expression Data
Assay Details
Assay
Reference: J:228563 Koscielny G, et al., The International Mouse Phenotyping Consortium Web Portal, a unified point of access for knockout mice and related phenotyping data. Nucleic Acids Res. 2014 Jan;42(Database issue):D802-9
Assay type: In situ reporter (knock in)
MGI Accession ID: MGI:6691500
Gene symbol: Pdk4
Gene name: pyruvate dehydrogenase kinase, isoenzyme 4
Reporter: lacZ
Direct Detection
Results
Specimen UC Davis_1859565: postnatal adult; Pdk4tm1b(KOMP)Wtsi/Pdk4+ (more )
Structure Level Pattern Image Note
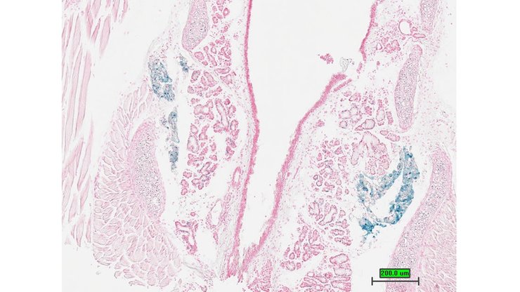
TS28: trachea Present UC Davis_1859565

Specimen UC Davis_1859566: postnatal adult; Pdk4tm1b(KOMP)Wtsi/Pdk4+ (more )
Structure Level Pattern Image Note
TS28: trachea Present UC Davis_1859566

Specimen UC Davis_1859567: postnatal adult; Pdk4tm1b(KOMP)Wtsi/Pdk4+ (more )
Structure Level Pattern Image Note
TS28: esophagus Present UC Davis_1859567

Specimen UC Davis_1859568: postnatal adult; Pdk4tm1b(KOMP)Wtsi/Pdk4+ (more )
Structure Level Pattern Image Note
TS28: esophagus Present UC Davis_1859568

Specimen UC Davis_1859569: postnatal adult; Pdk4tm1b(KOMP)Wtsi/Pdk4+ (more )
Structure Level Pattern Image Note
TS28: thyroid gland Present UC Davis_1859569

Specimen UC Davis_1859570: postnatal adult; Pdk4tm1b(KOMP)Wtsi/Pdk4+ (more )
Structure Level Pattern Image Note
TS28: parathyroid gland Present UC Davis_1859570

Specimen UC Davis_1859571: postnatal adult; Pdk4tm1b(KOMP)Wtsi/Pdk4+ (more )
Structure Level Pattern Image Note
TS28: lung Present UC Davis_1859571

Specimen UC Davis_1859572: postnatal adult; Pdk4tm1b(KOMP)Wtsi/Pdk4+ (more )
Structure Level Pattern Image Note
TS28: lung Present UC Davis_1859572

Specimen UC Davis_1859573: postnatal adult; Pdk4tm1b(KOMP)Wtsi/Pdk4+ (more )
Structure Level Pattern Image Note
TS28: lung Present UC Davis_1859573

Specimen UC Davis_1859576: postnatal adult; Pdk4tm1b(KOMP)Wtsi/Pdk4+ (more )
Structure Level Pattern Image Note
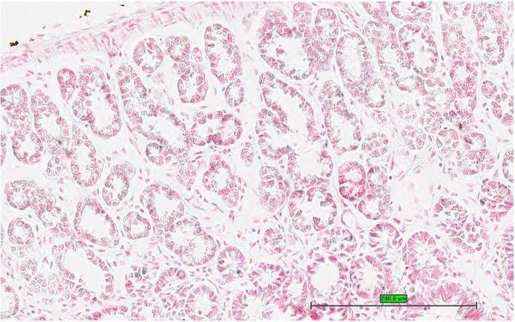
TS28: stomach Present UC Davis_1859576

Specimen UC Davis_1859577: postnatal adult; Pdk4tm1b(KOMP)Wtsi/Pdk4+ (more )
Structure Level Pattern Image Note
TS28: stomach Present UC Davis_1859577

Specimen UC Davis_1859578: postnatal adult; Pdk4tm1b(KOMP)Wtsi/Pdk4+ (more )
Structure Level Pattern Image Note
TS28: stomach Present UC Davis_1859578

Specimen UC Davis_1859579: postnatal adult; Pdk4tm1b(KOMP)Wtsi/Pdk4+ (more )
Structure Level Pattern Image Note
TS28: stomach Present UC Davis_1859579

Specimen UC Davis_1859580: postnatal adult; Pdk4tm1b(KOMP)Wtsi/Pdk4+ (more )
Structure Level Pattern Image Note
TS28: duodenum Present UC Davis_1859580

Specimen UC Davis_1859581: postnatal adult; Pdk4tm1b(KOMP)Wtsi/Pdk4+ (more )
Structure Level Pattern Image Note
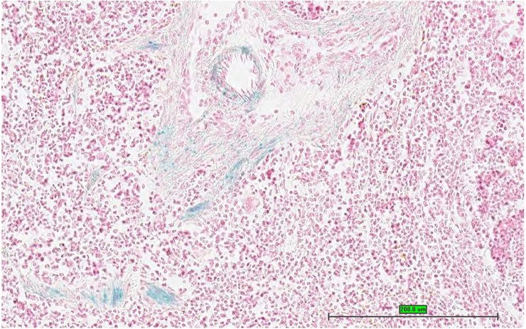
TS28: spleen Present UC Davis_1859581

Specimen UC Davis_1859582: postnatal adult; Pdk4tm1b(KOMP)Wtsi/Pdk4+ (more )
Structure Level Pattern Image Note
TS28: spleen Present UC Davis_1859582

Specimen UC Davis_1859583: postnatal adult; Pdk4tm1b(KOMP)Wtsi/Pdk4+ (more )
Structure Level Pattern Image Note
TS28: metanephros Present UC Davis_1859583 kidney

Specimen UC Davis_1859584: postnatal adult; Pdk4tm1b(KOMP)Wtsi/Pdk4+ (more )
Structure Level Pattern Image Note
TS28: metanephros Present UC Davis_1859584 kidney

Specimen UC Davis_1859585: postnatal adult; Pdk4tm1b(KOMP)Wtsi/Pdk4+ (more )
Structure Level Pattern Image Note
TS28: metanephros Present UC Davis_1859585 kidney

Specimen UC Davis_1859586: postnatal adult; Pdk4tm1b(KOMP)Wtsi/Pdk4+ (more )
Structure Level Pattern Image Note
TS28: metanephros Present UC Davis_1859586 kidney

Specimen UC Davis_1859587: postnatal adult; Pdk4tm1b(KOMP)Wtsi/Pdk4+ (more )
Structure Level Pattern Image Note
TS28: quadriceps femoris muscle Present UC Davis_1859587

Specimen UC Davis_1859588: postnatal adult; Pdk4tm1b(KOMP)Wtsi/Pdk4+ (more )
Structure Level Pattern Image Note
TS28: quadriceps femoris muscle Present UC Davis_1859588

Specimen UC Davis_1859589: postnatal adult; Pdk4tm1b(KOMP)Wtsi/Pdk4+ (more )
Structure Level Pattern Image Note
TS28: tongue Present UC Davis_1859589

Specimen UC Davis_1859590: postnatal adult; Pdk4tm1b(KOMP)Wtsi/Pdk4+ (more )
Structure Level Pattern Image Note
TS28: Harderian gland Present UC Davis_1859590

Specimen UC Davis_1859591: postnatal adult; Pdk4tm1b(KOMP)Wtsi/Pdk4+ (more )
Structure Level Pattern Image Note
TS28: Harderian gland Present UC Davis_1859591

Specimen UC Davis_1859592: postnatal adult; Pdk4tm1b(KOMP)Wtsi/Pdk4+ (more )
Structure Level Pattern Image Note
TS28: brown fat Present UC Davis_1859592

Specimen UC Davis_1859593: postnatal adult; Pdk4tm1b(KOMP)Wtsi/Pdk4+ (more )
Structure Level Pattern Image Note
TS28: brown fat Present UC Davis_1859593

Specimen UC Davis_1859594: postnatal adult; Pdk4tm1b(KOMP)Wtsi/Pdk4+ (more )
Structure Level Pattern Image Note
TS28: brown fat Present UC Davis_1859594

Specimen UC Davis_1859597: postnatal adult; Pdk4tm1b(KOMP)Wtsi/Pdk4+ (more )
Structure Level Pattern Image Note
TS28: bladder Present UC Davis_1859597

Specimen UC Davis_1859598: postnatal adult; Pdk4tm1b(KOMP)Wtsi/Pdk4+ (more )
Structure Level Pattern Image Note
TS28: bladder Present UC Davis_1859598

Specimen UC Davis_1859656: postnatal adult; Pdk4tm1b(KOMP)Wtsi/Pdk4+ (more )
Structure Level Pattern Image Note
TS28: olfactory lobe Present UC Davis_1859656

Specimen UC Davis_1859659: postnatal adult; Pdk4tm1b(KOMP)Wtsi/Pdk4+ (more )
Structure Level Pattern Image Note
TS28: metanephros Present UC Davis_1859659 kidney

Specimen UC Davis_1859660: postnatal adult; Pdk4tm1b(KOMP)Wtsi/Pdk4+ (more )
Structure Level Pattern Image Note
TS28: pituitary gland Present UC Davis_1859660

Specimen UC Davis_1859661: postnatal adult; Pdk4tm1b(KOMP)Wtsi/Pdk4+ (more )
Structure Level Pattern Image Note
TS28: ovary Present UC Davis_1859661

Specimen UC Davis_1859599: postnatal adult; Pdk4tm1b(KOMP)Wtsi/Pdk4+ (more )
Structure Level Pattern Image Note
TS28: trachea Present UC Davis_1859599

Specimen UC Davis_1859600: postnatal adult; Pdk4tm1b(KOMP)Wtsi/Pdk4+ (more )
Structure Level Pattern Image Note
TS28: trachea Present UC Davis_1859600

Specimen UC Davis_1859601: postnatal adult; Pdk4tm1b(KOMP)Wtsi/Pdk4+ (more )
Structure Level Pattern Image Note
TS28: trachea Present UC Davis_1859601

Specimen UC Davis_1859602: postnatal adult; Pdk4tm1b(KOMP)Wtsi/Pdk4+ (more )
Structure Level Pattern Image Note
TS28: thyroid gland Present UC Davis_1859602

Specimen UC Davis_1859603: postnatal adult; Pdk4tm1b(KOMP)Wtsi/Pdk4+ (more )
Structure Level Pattern Image Note
TS28: thyroid gland Present UC Davis_1859603

Specimen UC Davis_1859606: postnatal adult; Pdk4tm1b(KOMP)Wtsi/Pdk4+ (more )
Structure Level Pattern Image Note
TS28: stomach Present UC Davis_1859606

Specimen UC Davis_1859607: postnatal adult; Pdk4tm1b(KOMP)Wtsi/Pdk4+ (more )
Structure Level Pattern Image Note
TS28: stomach Present UC Davis_1859607

Specimen UC Davis_1859608: postnatal adult; Pdk4tm1b(KOMP)Wtsi/Pdk4+ (more )
Structure Level Pattern Image Note
TS28: ileum Absent UC Davis_1859608

Specimen UC Davis_1859609: postnatal adult; Pdk4tm1b(KOMP)Wtsi/Pdk4+ (more )
Structure Level Pattern Image Note
TS28: metanephros Present UC Davis_1859609 kidney

Specimen UC Davis_1859610: postnatal adult; Pdk4tm1b(KOMP)Wtsi/Pdk4+ (more )
Structure Level Pattern Image Note
TS28: metanephros Present UC Davis_1859610 kidney

Specimen UC Davis_1859611: postnatal adult; Pdk4tm1b(KOMP)Wtsi/Pdk4+ (more )
Structure Level Pattern Image Note
TS28: metanephros Present UC Davis_1859611 kidney

Specimen UC Davis_1859612: postnatal adult; Pdk4tm1b(KOMP)Wtsi/Pdk4+ (more )
Structure Level Pattern Image Note
TS28: tongue Present UC Davis_1859612

Specimen UC Davis_1859613: postnatal adult; Pdk4tm1b(KOMP)Wtsi/Pdk4+ (more )
Structure Level Pattern Image Note
TS28: pituitary gland Present UC Davis_1859613

Specimen UC Davis_1859614: postnatal adult; Pdk4tm1b(KOMP)Wtsi/Pdk4+ (more )
Structure Level Pattern Image Note
TS28: Harderian gland Present UC Davis_1859614

Specimen UC Davis_1859615: postnatal adult; Pdk4tm1b(KOMP)Wtsi/Pdk4+ (more )
Structure Level Pattern Image Note
TS28: Harderian gland Present UC Davis_1859615

Specimen UC Davis_1859616: postnatal adult; Pdk4tm1b(KOMP)Wtsi/Pdk4+ (more )
Structure Level Pattern Image Note
TS28: brown fat Present UC Davis_1859616

Specimen UC Davis_1859617: postnatal adult; Pdk4tm1b(KOMP)Wtsi/Pdk4+ (more )
Structure Level Pattern Image Note
TS28: brown fat Present UC Davis_1859617

Specimen UC Davis_1859621: postnatal adult; Pdk4tm1b(KOMP)Wtsi/Pdk4+ (more )
Structure Level Pattern Image Note
TS28: bladder Present UC Davis_1859621

Specimen UC Davis_1859622: postnatal adult; Pdk4tm1b(KOMP)Wtsi/Pdk4+ (more )
Structure Level Pattern Image Note
TS28: bladder Present UC Davis_1859622

Specimen UC Davis_1859623: postnatal adult; Pdk4tm1b(KOMP)Wtsi/Pdk4+ (more )
Structure Level Pattern Image Note
TS28: testis Present UC Davis_1859623

Specimen UC Davis_1859624: postnatal adult; Pdk4tm1b(KOMP)Wtsi/Pdk4+ (more )
Structure Level Pattern Image Note
TS28: epididymis Present UC Davis_1859624

Specimen UC Davis_1859625: postnatal adult; Pdk4tm1b(KOMP)Wtsi/Pdk4+ (more )
Structure Level Pattern Image Note
TS28: epididymis Present UC Davis_1859625

Specimen UC Davis_1859626: postnatal adult; Pdk4tm1b(KOMP)Wtsi/Pdk4+ (more )
Structure Level Pattern Image Note
TS28: prostate gland Present UC Davis_1859626

Specimen UC Davis_1859627: postnatal adult; Pdk4tm1b(KOMP)Wtsi/Pdk4+ (more )
Structure Level Pattern Image Note
TS28: prostate gland Present UC Davis_1859627

Specimen UC Davis_1859628: postnatal adult; Pdk4tm1b(KOMP)Wtsi/Pdk4+ (more )
Structure Level Pattern Image Note
TS28: ductus deferens Present UC Davis_1859628 vas deferens

Specimen UC Davis_1859631: postnatal adult; Pdk4tm1b(KOMP)Wtsi/Pdk4+ (more )
Structure Level Pattern Image Note
TS28: spleen Present UC Davis_1859631

Specimen UC Davis_1859632: postnatal adult; Pdk4tm1b(KOMP)Wtsi/Pdk4+ (more )
Structure Level Pattern Image Note
TS28: brown fat Present UC Davis_1859632

Specimen UC Davis_1859633: postnatal adult; Pdk4tm1b(KOMP)Wtsi/Pdk4+ (more )
Structure Level Pattern Image Note
TS28: quadriceps femoris muscle Present UC Davis_1859633

Specimen UC Davis_1859636: postnatal adult; Pdk4tm1b(KOMP)Wtsi/Pdk4+ (more )
Structure Level Pattern Image Note
TS28: midbrain Present UC Davis_1859636

Specimen UC Davis_1859638: postnatal adult; Pdk4tm1b(KOMP)Wtsi/Pdk4+ (more )
Structure Level Pattern Image Note
TS28: brain Present UC Davis_1859638

Specimen UC Davis_1859639: postnatal adult; Pdk4tm1b(KOMP)Wtsi/Pdk4+ (more )
Structure Level Pattern Image Note
TS28: lung Present UC Davis_1859639

Specimen UC Davis_1859640: postnatal adult; Pdk4tm1b(KOMP)Wtsi/Pdk4+ (more )
Structure Level Pattern Image Note
TS28: aorta Present UC Davis_1859640

Specimen UC Davis_1859642: postnatal adult; Pdk4tm1b(KOMP)Wtsi/Pdk4+ (more )
Structure Level Pattern Image Note
TS28: metanephros Present UC Davis_1859642 kidney

Specimen UC Davis_1859643: postnatal adult; Pdk4tm1b(KOMP)Wtsi/Pdk4+ (more )
Structure Level Pattern Image Note
TS28: diaphragm Present UC Davis_1859643

Specimen UC Davis_1859644: postnatal adult; Pdk4tm1b(KOMP)Wtsi/Pdk4+ (more )
Structure Level Pattern Image Note
TS28: skin Present UC Davis_1859644

Specimen UC Davis_1859645: postnatal adult; Pdk4tm1b(KOMP)Wtsi/Pdk4+ (more )
Structure Level Pattern Image Note
TS28: trachea Present UC Davis_1859645

Specimen UC Davis_1859646: postnatal adult; Pdk4tm1b(KOMP)Wtsi/Pdk4+ (more )
Structure Level Pattern Image Note
TS28: esophagus Present UC Davis_1859646

Specimen UC Davis_1859647: postnatal adult; Pdk4tm1b(KOMP)Wtsi/Pdk4+ (more )
Structure Level Pattern Image Note
TS28: thyroid gland Present UC Davis_1859647

Specimen UC Davis_1859648: postnatal adult; Pdk4tm1b(KOMP)Wtsi/Pdk4+ (more )
Structure Level Pattern Image Note
TS28: Harderian gland Absent UC Davis_1859648

Specimen UC Davis_1859649: postnatal adult; Pdk4tm1b(KOMP)Wtsi/Pdk4+ (more )
Structure Level Pattern Image Note
TS28: stomach Present UC Davis_1859649

Specimen UC Davis_1859650: postnatal adult; Pdk4tm1b(KOMP)Wtsi/Pdk4+ (more )
Structure Level Pattern Image Note
TS28: bladder Present UC Davis_1859650

Specimen UC Davis_1859652: postnatal adult; Pdk4tm1b(KOMP)Wtsi/Pdk4+ (more )
Structure Level Pattern Image Note
TS28: Harderian gland Absent UC Davis_1859652

Specimen UC Davis_1859654: postnatal adult; Pdk4tm1b(KOMP)Wtsi/Pdk4+ (more )
Structure Level Pattern Image Note
TS28: thoracic segment skeleton Present UC Davis_1859654 chest bone


Contributing Projects:
Mouse Genome Database (MGD), Gene Expression Database (GXD), Mouse Models of Human Cancer database (MMHCdb) (formerly Mouse Tumor Biology (MTB)), Gene Ontology (GO)
Citing These Resources
Funding Information
Warranty Disclaimer, Privacy Notice, Licensing, & Copyright
Send questions and comments to User Support.
last database update
01/28/2026
MGI 6.24
The Jackson Laboratory