About   Help   FAQ
Gene Expression Data
Assay Details
Assay
Reference: J:228563 Koscielny G, et al., The International Mouse Phenotyping Consortium Web Portal, a unified point of access for knockout mice and related phenotyping data. Nucleic Acids Res. 2014 Jan;42(Database issue):D802-9
Assay type: In situ reporter (knock in)
MGI Accession ID: MGI:6691484
Gene symbol: Mmp23
Gene name: matrix metallopeptidase 23
Reporter: lacZ
Direct Detection
Results
Specimen UC Davis_1870797: postnatal adult; Mmp23tm1.1(KOMP)Vlcg/Mmp23+ (more )
Structure Level Pattern Image Note
TS28: ileum Present UC Davis_1870797

Specimen UC Davis_1870798: postnatal adult; Mmp23tm1.1(KOMP)Vlcg/Mmp23+ (more )
Structure Level Pattern Image Note
TS28: ileum Present UC Davis_1870798

Specimen UC Davis_1870799: postnatal adult; Mmp23tm1.1(KOMP)Vlcg/Mmp23+ (more )
Structure Level Pattern Image Note
TS28: submandibular gland Present UC Davis_1870799

Specimen UC Davis_1870800: postnatal adult; Mmp23tm1.1(KOMP)Vlcg/Mmp23+ (more )
Structure Level Pattern Image Note
TS28: submandibular gland Present UC Davis_1870800

Specimen UC Davis_1870802: postnatal adult; Mmp23tm1.1(KOMP)Vlcg/Mmp23+ (more )
Structure Level Pattern Image Note
TS28: jejunum Present UC Davis_1870802

Specimen UC Davis_1870803: postnatal adult; Mmp23tm1.1(KOMP)Vlcg/Mmp23+ (more )
Structure Level Pattern Image Note
TS28: ileum Present UC Davis_1870803

Specimen UC Davis_1870804: postnatal adult; Mmp23tm1.1(KOMP)Vlcg/Mmp23+ (more )
Structure Level Pattern Image Note
TS28: tongue Present UC Davis_1870804

Specimen UC Davis_1870805: postnatal adult; Mmp23tm1.1(KOMP)Vlcg/Mmp23+ (more )
Structure Level Pattern Image Note
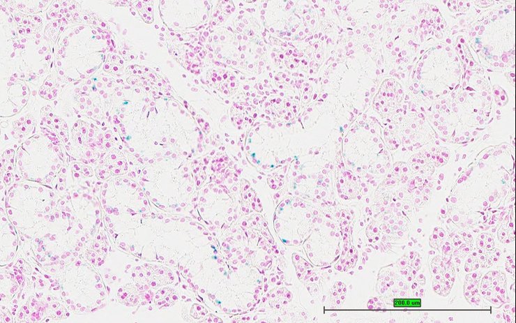
TS28: testis Present UC Davis_1870805

Specimen UC Davis_1870806: postnatal adult; Mmp23tm1.1(KOMP)Vlcg/Mmp23+ (more )
Structure Level Pattern Image Note
TS28: testis Present UC Davis_1870806

Specimen UC Davis_1870807: postnatal adult; Mmp23tm1.1(KOMP)Vlcg/Mmp23+ (more )
Structure Level Pattern Image Note
TS28: testis Present UC Davis_1870807

Specimen UC Davis_1870808: postnatal adult; Mmp23tm1.1(KOMP)Vlcg/Mmp23+ (more )
Structure Level Pattern Image Note
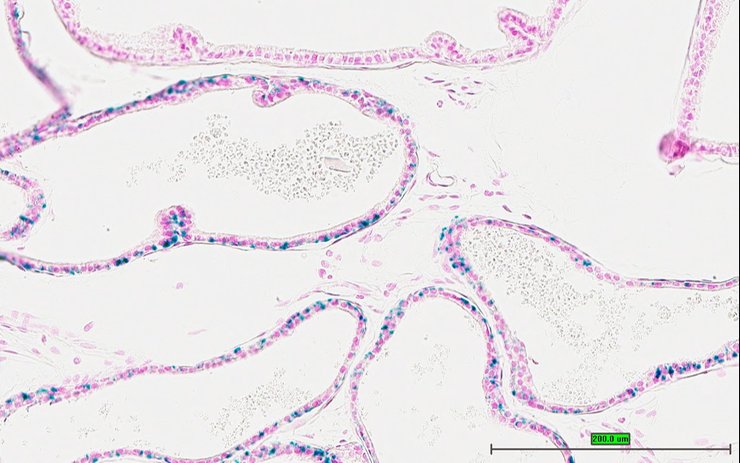
TS28: epididymis Present UC Davis_1870808

Specimen UC Davis_1870809: postnatal adult; Mmp23tm1.1(KOMP)Vlcg/Mmp23+ (more )
Structure Level Pattern Image Note
TS28: prostate gland Present UC Davis_1870809

Specimen UC Davis_1870810: postnatal adult; Mmp23tm1.1(KOMP)Vlcg/Mmp23+ (more )
Structure Level Pattern Image Note
TS28: ductus deferens Present UC Davis_1870810 vas deferens


Contributing Projects:
Mouse Genome Database (MGD), Gene Expression Database (GXD), Mouse Models of Human Cancer database (MMHCdb) (formerly Mouse Tumor Biology (MTB)), Gene Ontology (GO)
Citing These Resources
Funding Information
Warranty Disclaimer, Privacy Notice, Licensing, & Copyright
Send questions and comments to User Support.
last database update
01/06/2026
MGI 6.24
The Jackson Laboratory