About   Help   FAQ
Gene Expression Data
Assay Details
Assay
Reference: J:228563 Koscielny G, et al., The International Mouse Phenotyping Consortium Web Portal, a unified point of access for knockout mice and related phenotyping data. Nucleic Acids Res. 2014 Jan;42(Database issue):D802-9
Assay type: In situ reporter (knock in)
MGI Accession ID: MGI:6691472
Gene symbol: Gpr34
Gene name: G protein-coupled receptor 34
Reporter: lacZ
Direct Detection
Results
Specimen UC Davis_1880524: postnatal adult; Gpr34tm1.1(KOMP)Vlcg/Gpr34+ (more )
Structure Level Pattern Image Note
TS28: tongue Present UC Davis_1880524

Specimen UC Davis_1880526: postnatal adult; Gpr34tm1.1(KOMP)Vlcg/Y (more )
Structure Level Pattern Image Note
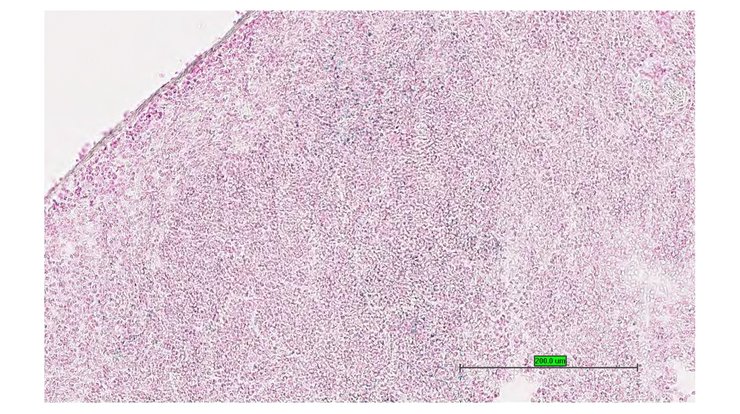
TS28: mesenteric lymph node Present UC Davis_1880526

Specimen UC Davis_1880527: postnatal adult; Gpr34tm1.1(KOMP)Vlcg/Y (more )
Structure Level Pattern Image Note
TS28: mesenteric lymph node Present UC Davis_1880527

Specimen UC Davis_1880528: postnatal adult; Gpr34tm1.1(KOMP)Vlcg/Y (more )
Structure Level Pattern Image Note
TS28: spleen Present UC Davis_1880528

Specimen UC Davis_1880529: postnatal adult; Gpr34tm1.1(KOMP)Vlcg/Y (more )
Structure Level Pattern Image Note
TS28: spleen Present UC Davis_1880529

Specimen UC Davis_1880530: postnatal adult; Gpr34tm1.1(KOMP)Vlcg/Y (more )
Structure Level Pattern Image Note
TS28: tongue Present UC Davis_1880530

Specimen UC Davis_1880531: postnatal adult; Gpr34tm1.1(KOMP)Vlcg/Y (more )
Structure Level Pattern Image Note
TS28: tongue Present UC Davis_1880531

Specimen UC Davis_1880532: postnatal adult; Gpr34tm1.1(KOMP)Vlcg/Y (more )
Structure Level Pattern Image Note
TS28: tongue Present UC Davis_1880532

Specimen UC Davis_1880533: postnatal adult; Gpr34tm1.1(KOMP)Vlcg/Y (more )
Structure Level Pattern Image Note
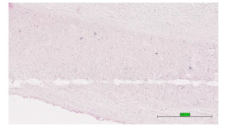
TS28: spinal cord Present UC Davis_1880533

Specimen UC Davis_1880534: postnatal adult; Gpr34tm1.1(KOMP)Vlcg/Y (more )
Structure Level Pattern Image Note
TS28: olfactory lobe Present UC Davis_1880534

Specimen UC Davis_1880537: postnatal adult; Gpr34tm1.1(KOMP)Vlcg/Y (more )
Structure Level Pattern Image Note
TS28: midbrain Present UC Davis_1880537

Specimen UC Davis_1880538: postnatal adult; Gpr34tm1.1(KOMP)Vlcg/Y (more )
Structure Level Pattern Image Note
TS28: midbrain Present UC Davis_1880538

Specimen UC Davis_1880541: postnatal adult; Gpr34tm1.1(KOMP)Vlcg/Y (more )
Structure Level Pattern Image Note
TS28: testis Present UC Davis_1880541

Specimen UC Davis_1880542: postnatal adult; Gpr34tm1.1(KOMP)Vlcg/Y (more )
Structure Level Pattern Image Note
TS28: testis Present UC Davis_1880542

Specimen UC Davis_1880543: postnatal adult; Gpr34tm1.1(KOMP)Vlcg/Y (more )
Structure Level Pattern Image Note
TS28: epididymis Present UC Davis_1880543

Specimen UC Davis_1880544: postnatal adult; Gpr34tm1.1(KOMP)Vlcg/Y (more )
Structure Level Pattern Image Note
TS28: ductus deferens Present UC Davis_1880544 vas deferens

Specimen UC Davis_1880545: postnatal adult; Gpr34tm1.1(KOMP)Vlcg/Y (more )
Structure Level Pattern Image Note
TS28: seminal vesicle Present UC Davis_1880545 vesicular gland


Contributing Projects:
Mouse Genome Database (MGD), Gene Expression Database (GXD), Mouse Models of Human Cancer database (MMHCdb) (formerly Mouse Tumor Biology (MTB)), Gene Ontology (GO)
Citing These Resources
Funding Information
Warranty Disclaimer, Privacy Notice, Licensing, & Copyright
Send questions and comments to User Support.
last database update
01/20/2026
MGI 6.24
The Jackson Laboratory