About   Help   FAQ
Gene Expression Data
Assay Details
Assay
Reference: J:228563 Koscielny G, et al., The International Mouse Phenotyping Consortium Web Portal, a unified point of access for knockout mice and related phenotyping data. Nucleic Acids Res. 2014 Jan;42(Database issue):D802-9
Assay type: In situ reporter (knock in)
MGI Accession ID: MGI:6691468
Gene symbol: Twf2
Gene name: twinfilin actin binding protein 2
Reporter: lacZ
Direct Detection
Results
Specimen UC Davis_1888038: postnatal adult; Twf2tm1b(EUCOMM)Wtsi/Twf2+ (more )
Structure Level Pattern Image Note
TS28: ileum Present UC Davis_1888038

Specimen UC Davis_1888039: postnatal adult; Twf2tm1b(EUCOMM)Wtsi/Twf2+ (more )
Structure Level Pattern Image Note
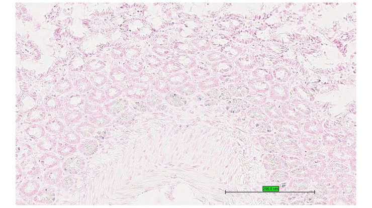
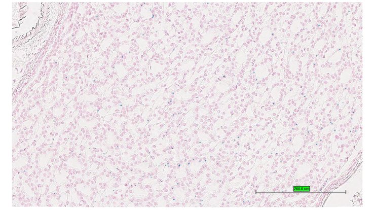
TS28: metanephros Present UC Davis_1888039 kidney

Specimen UC Davis_1888040: postnatal adult; Twf2tm1b(EUCOMM)Wtsi/Twf2+ (more )
Structure Level Pattern Image Note
TS28: metanephros Present UC Davis_1888040 kidney

Specimen UC Davis_1888041: postnatal adult; Twf2tm1b(EUCOMM)Wtsi/Twf2+ (more )
Structure Level Pattern Image Note
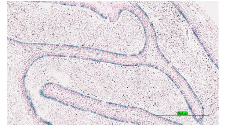
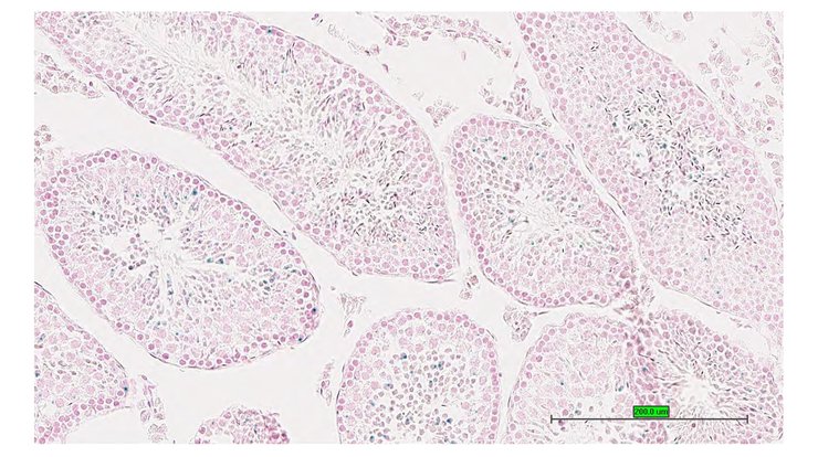
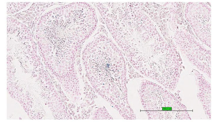
TS28: testis Present UC Davis_1888041

Specimen UC Davis_1888042: postnatal adult; Twf2tm1b(EUCOMM)Wtsi/Twf2+ (more )
Structure Level Pattern Image Note
TS28: testis Present UC Davis_1888042

Specimen UC Davis_1888043: postnatal adult; Twf2tm1b(EUCOMM)Wtsi/Twf2+ (more )
Structure Level Pattern Image Note
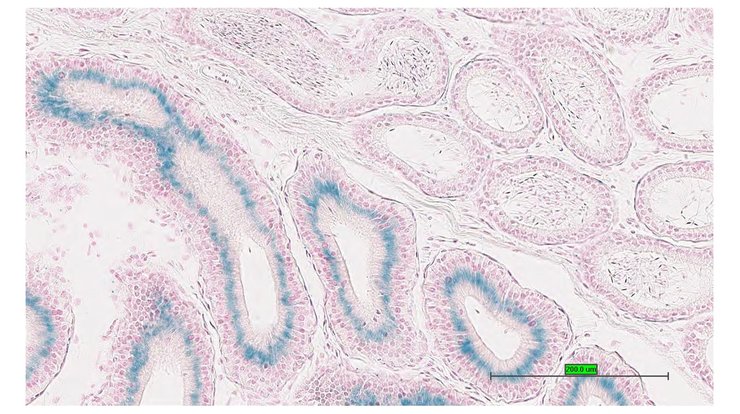
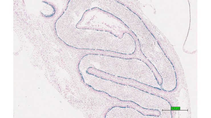
TS28: epididymis Present UC Davis_1888043

Specimen UC Davis_1888044: postnatal adult; Twf2tm1b(EUCOMM)Wtsi/Twf2+ (more )
Structure Level Pattern Image Note
TS28: epididymis Present UC Davis_1888044

Specimen UC Davis_1888045: postnatal adult; Twf2tm1b(EUCOMM)Wtsi/Twf2+ (more )
Structure Level Pattern Image Note
TS28: epididymis Present UC Davis_1888045

Specimen UC Davis_1888046: postnatal adult; Twf2tm1b(EUCOMM)Wtsi/Twf2+ (more )
Structure Level Pattern Image Note
TS28: ductus deferens Present UC Davis_1888046 vas deferens


Contributing Projects:
Mouse Genome Database (MGD), Gene Expression Database (GXD), Mouse Models of Human Cancer database (MMHCdb) (formerly Mouse Tumor Biology (MTB)), Gene Ontology (GO)
Citing These Resources
Funding Information
Warranty Disclaimer, Privacy Notice, Licensing, & Copyright
Send questions and comments to User Support.
last database update
12/30/2025
MGI 6.24
The Jackson Laboratory