About   Help   FAQ
Gene Expression Data
Assay Details
Assay
Reference: J:228563 Koscielny G, et al., The International Mouse Phenotyping Consortium Web Portal, a unified point of access for knockout mice and related phenotyping data. Nucleic Acids Res. 2014 Jan;42(Database issue):D802-9
Assay type: In situ reporter (knock in)
MGI Accession ID: MGI:6691432
Gene symbol: Nmur1
Gene name: neuromedin U receptor 1
Reporter: lacZ
Direct Detection
Results
Specimen UC Davis_1850686: postnatal adult; Nmur1tm1.1(KOMP)Vlcg/Nmur1+ (more )
Structure Level Pattern Image Note
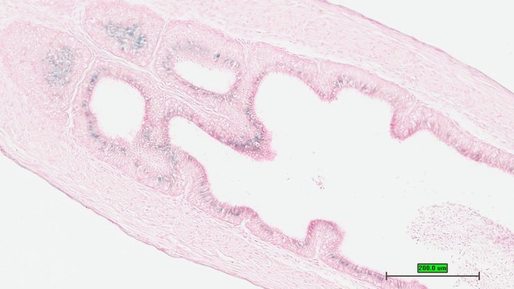
TS28: esophagus Present UC Davis_1850686

Specimen UC Davis_1850689: postnatal adult; Nmur1tm1.1(KOMP)Vlcg/Nmur1+ (more )
Structure Level Pattern Image Note
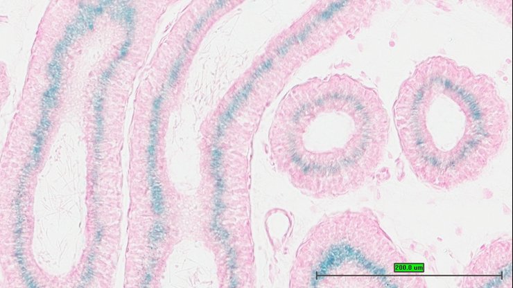
TS28: epididymis Present UC Davis_1850689

Specimen UC Davis_1850690: postnatal adult; Nmur1tm1.1(KOMP)Vlcg/Nmur1+ (more )
Structure Level Pattern Image Note
TS28: epididymis Present UC Davis_1850690

Specimen UC Davis_1850691: postnatal adult; Nmur1tm1.1(KOMP)Vlcg/Nmur1+ (more )
Structure Level Pattern Image Note
TS28: epididymis Present UC Davis_1850691

Specimen UC Davis_1850692: postnatal adult; Nmur1tm1.1(KOMP)Vlcg/Nmur1+ (more )
Structure Level Pattern Image Note
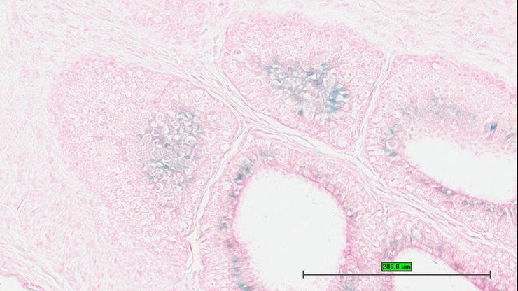
TS28: prostate gland Present UC Davis_1850692

Specimen UC Davis_1850693: postnatal adult; Nmur1tm1.1(KOMP)Vlcg/Nmur1+ (more )
Structure Level Pattern Image Note
TS28: prostate gland Present UC Davis_1850693

Specimen UC Davis_1850694: postnatal adult; Nmur1tm1.1(KOMP)Vlcg/Nmur1+ (more )
Structure Level Pattern Image Note
TS28: prostate gland Present UC Davis_1850694

Specimen UC Davis_1850695: postnatal adult; Nmur1tm1.1(KOMP)Vlcg/Nmur1+ (more )
Structure Level Pattern Image Note
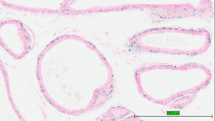
TS28: ductus deferens Present UC Davis_1850695 vas deferens

Specimen UC Davis_1850696: postnatal adult; Nmur1tm1.1(KOMP)Vlcg/Nmur1+ (more )
Structure Level Pattern Image Note
TS28: ductus deferens Present UC Davis_1850696 vas deferens

Specimen UC Davis_1850697: postnatal adult; Nmur1tm1.1(KOMP)Vlcg/Nmur1+ (more )
Structure Level Pattern Image Note
TS28: ductus deferens Present UC Davis_1850697 vas deferens

Specimen UC Davis_1850698: postnatal adult; Nmur1tm1.1(KOMP)Vlcg/Nmur1+ (more )
Structure Level Pattern Image Note
TS28: midbrain Present UC Davis_1850698

Specimen UC Davis_1850699: postnatal adult; Nmur1tm1.1(KOMP)Vlcg/Nmur1+ (more )
Structure Level Pattern Image Note
TS28: brain Present UC Davis_1850699


Contributing Projects:
Mouse Genome Database (MGD), Gene Expression Database (GXD), Mouse Models of Human Cancer database (MMHCdb) (formerly Mouse Tumor Biology (MTB)), Gene Ontology (GO)
Citing These Resources
Funding Information
Warranty Disclaimer, Privacy Notice, Licensing, & Copyright
Send questions and comments to User Support.
last database update
12/30/2025
MGI 6.24
The Jackson Laboratory