About   Help   FAQ
Gene Expression Data
Assay Details
Assay
Reference: J:228563 Koscielny G, et al., The International Mouse Phenotyping Consortium Web Portal, a unified point of access for knockout mice and related phenotyping data. Nucleic Acids Res. 2014 Jan;42(Database issue):D802-9
Assay type: In situ reporter (knock in)
MGI Accession ID: MGI:6691426
Gene symbol: Kcnh3
Gene name: potassium voltage-gated channel, subfamily H (eag-related), member 3
Reporter: lacZ
Direct Detection
Results
Specimen JAX_436145: postnatal adult; Kcnh3tm1.1(KOMP)Vlcg/Kcnh3+ (more )
Structure Level Pattern Image Note
TS28: ovary Present JAX_436145

Specimen JAX_436147: postnatal adult; Kcnh3tm1.1(KOMP)Vlcg/Kcnh3+ (more )
Structure Level Pattern Image Note
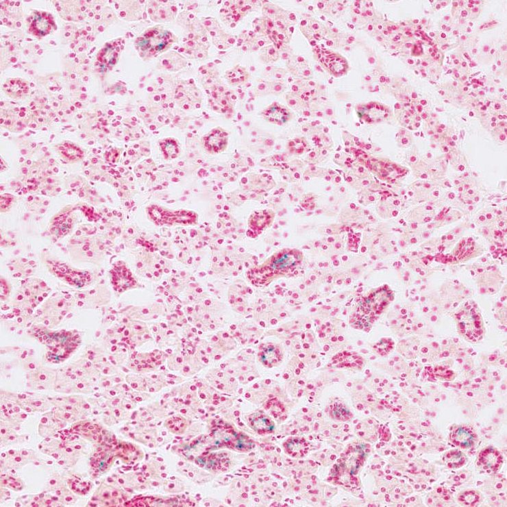
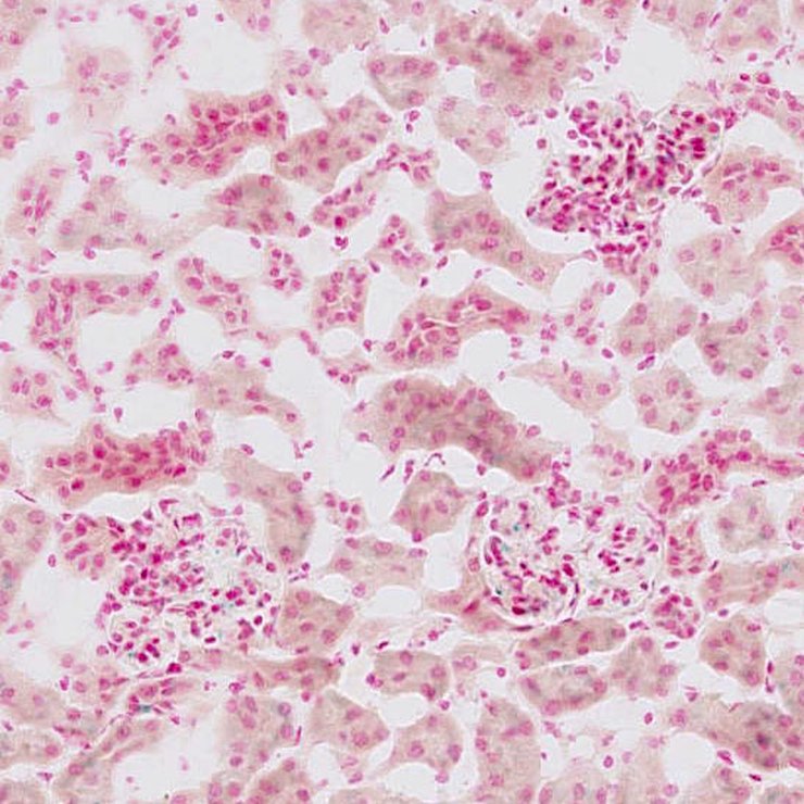
TS28: metanephros Present JAX_436147 kidney

Specimen JAX_436149: postnatal adult; Kcnh3tm1.1(KOMP)Vlcg/Kcnh3+ (more )
Structure Level Pattern Image Note
TS28: cerebral cortex Present JAX_436149

Specimen JAX_436151: postnatal adult; Kcnh3tm1.1(KOMP)Vlcg/Kcnh3+ (more )
Structure Level Pattern Image Note
TS28: cerebellum Present JAX_436151

Specimen JAX_436153: postnatal adult; Kcnh3tm1.1(KOMP)Vlcg/Kcnh3+ (more )
Structure Level Pattern Image Note
TS28: thalamus Present JAX_436153

Specimen JAX_436155: postnatal adult; Kcnh3tm1.1(KOMP)Vlcg/Kcnh3+ (more )
Structure Level Pattern Image Note
TS28: midbrain Present JAX_436155

Specimen JAX_436157: postnatal adult; Kcnh3tm1.1(KOMP)Vlcg/Kcnh3+ (more )
Structure Level Pattern Image Note
TS28: olfactory lobe Present JAX_436157

Specimen JAX_436159: postnatal adult; Kcnh3tm1.1(KOMP)Vlcg/Kcnh3+ (more )
Structure Level Pattern Image Note
TS28: main olfactory bulb Present JAX_436159

Specimen JAX_436161: postnatal adult; Kcnh3tm1.1(KOMP)Vlcg/Kcnh3+ (more )
Structure Level Pattern Image Note
TS28: spinal cord Present JAX_436161

Specimen JAX_436163: postnatal adult; Kcnh3tm1.1(KOMP)Vlcg/Kcnh3+ (more )
Structure Level Pattern Image Note
TS28: submandibular gland Present JAX_436163

Specimen JAX_436165: postnatal adult; Kcnh3tm1.1(KOMP)Vlcg/Kcnh3+ (more )
Structure Level Pattern Image Note
TS28: brainstem Present JAX_436165


Contributing Projects:
Mouse Genome Database (MGD), Gene Expression Database (GXD), Mouse Models of Human Cancer database (MMHCdb) (formerly Mouse Tumor Biology (MTB)), Gene Ontology (GO)
Citing These Resources
Funding Information
Warranty Disclaimer, Privacy Notice, Licensing, & Copyright
Send questions and comments to User Support.
last database update
12/30/2025
MGI 6.24
The Jackson Laboratory