About   Help   FAQ
Gene Expression Data
Assay Details
Assay
Reference: J:228563 Koscielny G, et al., The International Mouse Phenotyping Consortium Web Portal, a unified point of access for knockout mice and related phenotyping data. Nucleic Acids Res. 2014 Jan;42(Database issue):D802-9
Assay type: In situ reporter (knock in)
MGI Accession ID: MGI:6691418
Gene symbol: Efemp1
Gene name: epidermal growth factor-containing fibulin-like extracellular matrix protein 1
Reporter: lacZ
Direct Detection
Results
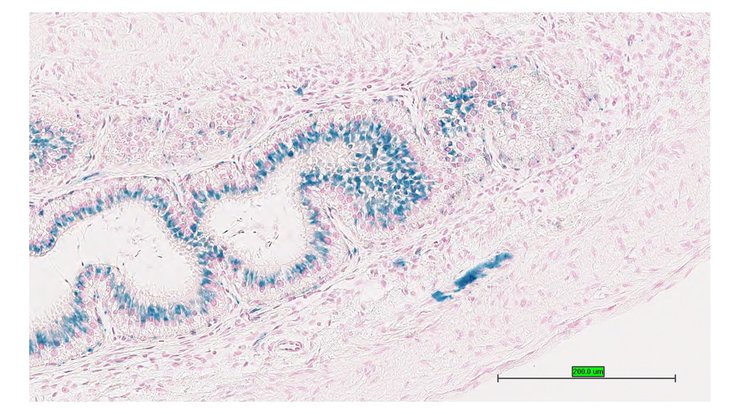
Specimen UC Davis_1874982: postnatal adult; Efemp1tm1.1(KOMP)Vlcg/Efemp1+ (more )
Structure Level Pattern Image Note
TS28: submandibular gland Present UC Davis_1874982

Specimen UC Davis_1874983: postnatal adult; Efemp1tm1.1(KOMP)Vlcg/Efemp1+ (more )
Structure Level Pattern Image Note
TS28: submandibular gland Present UC Davis_1874983

Specimen UC Davis_1874984: postnatal adult; Efemp1tm1.1(KOMP)Vlcg/Efemp1+ (more )
Structure Level Pattern Image Note
TS28: esophagus Present UC Davis_1874984

Specimen UC Davis_1874985: postnatal adult; Efemp1tm1.1(KOMP)Vlcg/Efemp1+ (more )
Structure Level Pattern Image Note
TS28: parathyroid gland Present UC Davis_1874985

Specimen UC Davis_1874986: postnatal adult; Efemp1tm1.1(KOMP)Vlcg/Efemp1+ (more )
Structure Level Pattern Image Note
TS28: lung Present UC Davis_1874986

Specimen UC Davis_1874987: postnatal adult; Efemp1tm1.1(KOMP)Vlcg/Efemp1+ (more )
Structure Level Pattern Image Note
TS28: thymus Present UC Davis_1874987

Specimen UC Davis_1874988: postnatal adult; Efemp1tm1.1(KOMP)Vlcg/Efemp1+ (more )
Structure Level Pattern Image Note
TS28: ileum Present UC Davis_1874988

Specimen UC Davis_1874989: postnatal adult; Efemp1tm1.1(KOMP)Vlcg/Efemp1+ (more )
Structure Level Pattern Image Note
TS28: metanephros Present UC Davis_1874989 kidney

Specimen UC Davis_1874990: postnatal adult; Efemp1tm1.1(KOMP)Vlcg/Efemp1+ (more )
Structure Level Pattern Image Note
TS28: metanephros Present UC Davis_1874990 kidney

Specimen UC Davis_1874991: postnatal adult; Efemp1tm1.1(KOMP)Vlcg/Efemp1+ (more )
Structure Level Pattern Image Note
TS28: metanephros Present UC Davis_1874991 kidney

Specimen UC Davis_1874992: postnatal adult; Efemp1tm1.1(KOMP)Vlcg/Efemp1+ (more )
Structure Level Pattern Image Note
TS28: metanephros Present UC Davis_1874992 kidney

Specimen UC Davis_1874993: postnatal adult; Efemp1tm1.1(KOMP)Vlcg/Efemp1+ (more )
Structure Level Pattern Image Note
TS28: metanephros Present UC Davis_1874993 kidney

Specimen UC Davis_1874994: postnatal adult; Efemp1tm1.1(KOMP)Vlcg/Efemp1+ (more )
Structure Level Pattern Image Note
TS28: tongue Present UC Davis_1874994

Specimen UC Davis_1874995: postnatal adult; Efemp1tm1.1(KOMP)Vlcg/Efemp1+ (more )
Structure Level Pattern Image Note
TS28: tongue Present UC Davis_1874995

Specimen UC Davis_1874996: postnatal adult; Efemp1tm1.1(KOMP)Vlcg/Efemp1+ (more )
Structure Level Pattern Image Note
TS28: tongue Present UC Davis_1874996

Specimen UC Davis_1874997: postnatal adult; Efemp1tm1.1(KOMP)Vlcg/Efemp1+ (more )
Structure Level Pattern Image Note
TS28: eye Present UC Davis_1874997

Specimen UC Davis_1874998: postnatal adult; Efemp1tm1.1(KOMP)Vlcg/Efemp1+ (more )
Structure Level Pattern Image Note
TS28: eye Present UC Davis_1874998

Specimen UC Davis_1874999: postnatal adult; Efemp1tm1.1(KOMP)Vlcg/Efemp1+ (more )
Structure Level Pattern Image Note
TS28: eye Present UC Davis_1874999

Specimen UC Davis_1875000: postnatal adult; Efemp1tm1.1(KOMP)Vlcg/Efemp1+ (more )
Structure Level Pattern Image Note
TS28: Harderian gland Present UC Davis_1875000

Specimen UC Davis_1875001: postnatal adult; Efemp1tm1.1(KOMP)Vlcg/Efemp1+ (more )
Structure Level Pattern Image Note
TS28: Harderian gland Present UC Davis_1875001

Specimen UC Davis_1875002: postnatal adult; Efemp1tm1.1(KOMP)Vlcg/Efemp1+ (more )
Structure Level Pattern Image Note
TS28: skin Present UC Davis_1875002

Specimen UC Davis_1875003: postnatal adult; Efemp1tm1.1(KOMP)Vlcg/Efemp1+ (more )
Structure Level Pattern Image Note
TS28: skin Present UC Davis_1875003

Specimen UC Davis_1875006: postnatal adult; Efemp1tm1.1(KOMP)Vlcg/Efemp1+ (more )
Structure Level Pattern Image Note
TS28: midbrain Present UC Davis_1875006

Specimen UC Davis_1875007: postnatal adult; Efemp1tm1.1(KOMP)Vlcg/Efemp1+ (more )
Structure Level Pattern Image Note
TS28: midbrain Present UC Davis_1875007

Specimen UC Davis_1875009: postnatal adult; Efemp1tm1.1(KOMP)Vlcg/Efemp1+ (more )
Structure Level Pattern Image Note
TS28: cerebellum Present UC Davis_1875009

Specimen UC Davis_1875010: postnatal adult; Efemp1tm1.1(KOMP)Vlcg/Efemp1+ (more )
Structure Level Pattern Image Note
TS28: trigeminal nerve Present UC Davis_1875010

Specimen UC Davis_1875011: postnatal adult; Efemp1tm1.1(KOMP)Vlcg/Efemp1+ (more )
Structure Level Pattern Image Note
TS28: bladder Present UC Davis_1875011

Specimen UC Davis_1875012: postnatal adult; Efemp1tm1.1(KOMP)Vlcg/Efemp1+ (more )
Structure Level Pattern Image Note
TS28: bladder Present UC Davis_1875012

Specimen UC Davis_1875013: postnatal adult; Efemp1tm1.1(KOMP)Vlcg/Efemp1+ (more )
Structure Level Pattern Image Note
TS28: mammary gland Present UC Davis_1875013

Specimen UC Davis_1875014: postnatal adult; Efemp1tm1.1(KOMP)Vlcg/Efemp1+ (more )
Structure Level Pattern Image Note
TS28: trachea Present UC Davis_1875014

Specimen UC Davis_1875015: postnatal adult; Efemp1tm1.1(KOMP)Vlcg/Efemp1+ (more )
Structure Level Pattern Image Note
TS28: trachea Present UC Davis_1875015

Specimen UC Davis_1875016: postnatal adult; Efemp1tm1.1(KOMP)Vlcg/Efemp1+ (more )
Structure Level Pattern Image Note
TS28: esophagus Present UC Davis_1875016

Specimen UC Davis_1875017: postnatal adult; Efemp1tm1.1(KOMP)Vlcg/Efemp1+ (more )
Structure Level Pattern Image Note
TS28: esophagus Present UC Davis_1875017

Specimen UC Davis_1875020: postnatal adult; Efemp1tm1.1(KOMP)Vlcg/Efemp1+ (more )
Structure Level Pattern Image Note
TS28: lung Present UC Davis_1875020

Specimen UC Davis_1875021: postnatal adult; Efemp1tm1.1(KOMP)Vlcg/Efemp1+ (more )
Structure Level Pattern Image Note
TS28: lung Present UC Davis_1875021

Specimen UC Davis_1875022: postnatal adult; Efemp1tm1.1(KOMP)Vlcg/Efemp1+ (more )
Structure Level Pattern Image Note
TS28: thymus Present UC Davis_1875022

Specimen UC Davis_1875023: postnatal adult; Efemp1tm1.1(KOMP)Vlcg/Efemp1+ (more )
Structure Level Pattern Image Note
TS28: thymus Present UC Davis_1875023

Specimen UC Davis_1875025: postnatal adult; Efemp1tm1.1(KOMP)Vlcg/Efemp1+ (more )
Structure Level Pattern Image Note
TS28: ileum Present UC Davis_1875025

Specimen UC Davis_1875026: postnatal adult; Efemp1tm1.1(KOMP)Vlcg/Efemp1+ (more )
Structure Level Pattern Image Note
TS28: ileum Present UC Davis_1875026

Specimen UC Davis_1875027: postnatal adult; Efemp1tm1.1(KOMP)Vlcg/Efemp1+ (more )
Structure Level Pattern Image Note
TS28: ileum Present UC Davis_1875027

Specimen UC Davis_1875028: postnatal adult; Efemp1tm1.1(KOMP)Vlcg/Efemp1+ (more )
Structure Level Pattern Image Note
TS28: spleen Present UC Davis_1875028

Specimen UC Davis_1875029: postnatal adult; Efemp1tm1.1(KOMP)Vlcg/Efemp1+ (more )
Structure Level Pattern Image Note
TS28: spleen Present UC Davis_1875029

Specimen UC Davis_1875030: postnatal adult; Efemp1tm1.1(KOMP)Vlcg/Efemp1+ (more )
Structure Level Pattern Image Note
TS28: pancreas Present UC Davis_1875030

Specimen UC Davis_1875031: postnatal adult; Efemp1tm1.1(KOMP)Vlcg/Efemp1+ (more )
Structure Level Pattern Image Note
TS28: pancreas Present UC Davis_1875031

Specimen UC Davis_1875032: postnatal adult; Efemp1tm1.1(KOMP)Vlcg/Efemp1+ (more )
Structure Level Pattern Image Note
TS28: pancreas Present UC Davis_1875032

Specimen UC Davis_1875033: postnatal adult; Efemp1tm1.1(KOMP)Vlcg/Efemp1+ (more )
Structure Level Pattern Image Note
TS28: pancreas Present UC Davis_1875033

Specimen UC Davis_1875034: postnatal adult; Efemp1tm1.1(KOMP)Vlcg/Efemp1+ (more )
Structure Level Pattern Image Note
TS28: liver Present UC Davis_1875034

Specimen UC Davis_1875035: postnatal adult; Efemp1tm1.1(KOMP)Vlcg/Efemp1+ (more )
Structure Level Pattern Image Note
TS28: liver Present UC Davis_1875035

Specimen UC Davis_1875036: postnatal adult; Efemp1tm1.1(KOMP)Vlcg/Efemp1+ (more )
Structure Level Pattern Image Note
TS28: metanephros Present UC Davis_1875036 kidney

Specimen UC Davis_1875037: postnatal adult; Efemp1tm1.1(KOMP)Vlcg/Efemp1+ (more )
Structure Level Pattern Image Note
TS28: metanephros Present UC Davis_1875037 kidney

Specimen UC Davis_1875038: postnatal adult; Efemp1tm1.1(KOMP)Vlcg/Efemp1+ (more )
Structure Level Pattern Image Note
TS28: metanephros Present UC Davis_1875038 kidney

Specimen UC Davis_1875039: postnatal adult; Efemp1tm1.1(KOMP)Vlcg/Efemp1+ (more )
Structure Level Pattern Image Note
TS28: metanephros Present UC Davis_1875039 kidney

Specimen UC Davis_1875040: postnatal adult; Efemp1tm1.1(KOMP)Vlcg/Efemp1+ (more )
Structure Level Pattern Image Note
TS28: tongue Present UC Davis_1875040

Specimen UC Davis_1875041: postnatal adult; Efemp1tm1.1(KOMP)Vlcg/Efemp1+ (more )
Structure Level Pattern Image Note
TS28: tongue Present UC Davis_1875041

Specimen UC Davis_1875042: postnatal adult; Efemp1tm1.1(KOMP)Vlcg/Efemp1+ (more )
Structure Level Pattern Image Note
TS28: adrenal gland Present UC Davis_1875042

Specimen UC Davis_1875043: postnatal adult; Efemp1tm1.1(KOMP)Vlcg/Efemp1+ (more )
Structure Level Pattern Image Note
TS28: pituitary gland Present UC Davis_1875043

Specimen UC Davis_1875044: postnatal adult; Efemp1tm1.1(KOMP)Vlcg/Efemp1+ (more )
Structure Level Pattern Image Note
TS28: eye Present UC Davis_1875044

Specimen UC Davis_1875045: postnatal adult; Efemp1tm1.1(KOMP)Vlcg/Efemp1+ (more )
Structure Level Pattern Image Note
TS28: eye Present UC Davis_1875045

Specimen UC Davis_1875047: postnatal adult; Efemp1tm1.1(KOMP)Vlcg/Efemp1+ (more )
Structure Level Pattern Image Note
TS28: Harderian gland Present UC Davis_1875047

Specimen UC Davis_1875048: postnatal adult; Efemp1tm1.1(KOMP)Vlcg/Efemp1+ (more )
Structure Level Pattern Image Note
TS28: Harderian gland Present UC Davis_1875048

Specimen UC Davis_1875049: postnatal adult; Efemp1tm1.1(KOMP)Vlcg/Efemp1+ (more )
Structure Level Pattern Image Note
TS28: skin Present UC Davis_1875049

Specimen UC Davis_1875050: postnatal adult; Efemp1tm1.1(KOMP)Vlcg/Efemp1+ (more )
Structure Level Pattern Image Note
TS28: skin Present UC Davis_1875050

Specimen UC Davis_1875051: postnatal adult; Efemp1tm1.1(KOMP)Vlcg/Efemp1+ (more )
Structure Level Pattern Image Note
TS28: olfactory lobe Present UC Davis_1875051

Specimen UC Davis_1875052: postnatal adult; Efemp1tm1.1(KOMP)Vlcg/Efemp1+ (more )
Structure Level Pattern Image Note
TS28: olfactory lobe Present UC Davis_1875052

Specimen UC Davis_1875054: postnatal adult; Efemp1tm1.1(KOMP)Vlcg/Efemp1+ (more )
Structure Level Pattern Image Note
TS28: midbrain Present UC Davis_1875054

Specimen UC Davis_1875056: postnatal adult; Efemp1tm1.1(KOMP)Vlcg/Efemp1+ (more )
Structure Level Pattern Image Note
TS28: cerebellum Present UC Davis_1875056

Specimen UC Davis_1875057: postnatal adult; Efemp1tm1.1(KOMP)Vlcg/Efemp1+ (more )
Structure Level Pattern Image Note
TS28: cerebellum Present UC Davis_1875057

Specimen UC Davis_1875058: postnatal adult; Efemp1tm1.1(KOMP)Vlcg/Efemp1+ (more )
Structure Level Pattern Image Note
TS28: trigeminal nerve Present UC Davis_1875058

Specimen UC Davis_1875059: postnatal adult; Efemp1tm1.1(KOMP)Vlcg/Efemp1+ (more )
Structure Level Pattern Image Note
TS28: bladder Present UC Davis_1875059

Specimen UC Davis_1875060: postnatal adult; Efemp1tm1.1(KOMP)Vlcg/Efemp1+ (more )
Structure Level Pattern Image Note
TS28: bladder Present UC Davis_1875060

Specimen UC Davis_1875061: postnatal adult; Efemp1tm1.1(KOMP)Vlcg/Efemp1+ (more )
Structure Level Pattern Image Note
TS28: testis Present UC Davis_1875061

Specimen UC Davis_1875062: postnatal adult; Efemp1tm1.1(KOMP)Vlcg/Efemp1+ (more )
Structure Level Pattern Image Note
TS28: epididymis Present UC Davis_1875062

Specimen UC Davis_1875063: postnatal adult; Efemp1tm1.1(KOMP)Vlcg/Efemp1+ (more )
Structure Level Pattern Image Note
TS28: epididymis Present UC Davis_1875063

Specimen UC Davis_1875064: postnatal adult; Efemp1tm1.1(KOMP)Vlcg/Efemp1+ (more )
Structure Level Pattern Image Note
TS28: prostate gland Present UC Davis_1875064

Specimen UC Davis_1875065: postnatal adult; Efemp1tm1.1(KOMP)Vlcg/Efemp1+ (more )
Structure Level Pattern Image Note
TS28: prostate gland Present UC Davis_1875065

Specimen UC Davis_1875066: postnatal adult; Efemp1tm1.1(KOMP)Vlcg/Efemp1+ (more )
Structure Level Pattern Image Note
TS28: penis Present UC Davis_1875066

Specimen UC Davis_1875067: postnatal adult; Efemp1tm1.1(KOMP)Vlcg/Efemp1+ (more )
Structure Level Pattern Image Note
TS28: penis Present UC Davis_1875067

Specimen UC Davis_1875068: postnatal adult; Efemp1tm1.1(KOMP)Vlcg/Efemp1+ (more )
Structure Level Pattern Image Note
TS28: ductus deferens Present UC Davis_1875068 vas deferens

Specimen UC Davis_1875069: postnatal adult; Efemp1tm1.1(KOMP)Vlcg/Efemp1+ (more )
Structure Level Pattern Image Note
TS28: ductus deferens Present UC Davis_1875069 vas deferens

Specimen UC Davis_1875070: postnatal adult; Efemp1tm1.1(KOMP)Vlcg/Efemp1+ (more )
Structure Level Pattern Image Note
TS28: seminal vesicle Present UC Davis_1875070 vesicular gland


Contributing Projects:
Mouse Genome Database (MGD), Gene Expression Database (GXD), Mouse Models of Human Cancer database (MMHCdb) (formerly Mouse Tumor Biology (MTB)), Gene Ontology (GO)
Citing These Resources
Funding Information
Warranty Disclaimer, Privacy Notice, Licensing, & Copyright
Send questions and comments to User Support.
last database update
03/24/2026
MGI 6.24
The Jackson Laboratory