About   Help   FAQ
Gene Expression Data
Assay Details
Assay
Reference: J:228563 Koscielny G, et al., The International Mouse Phenotyping Consortium Web Portal, a unified point of access for knockout mice and related phenotyping data. Nucleic Acids Res. 2014 Jan;42(Database issue):D802-9
Assay type: In situ reporter (knock in)
MGI Accession ID: MGI:6691395
Gene symbol: Gdap1
Gene name: ganglioside-induced differentiation-associated-protein 1
Reporter: lacZ
Direct Detection
Results
Specimen UC Davis_1873616: postnatal adult; Gdap1tm2b(KOMP)Wtsi/Gdap1+ (more )
Structure Level Pattern Image Note
TS28: ileum Present UC Davis_1873616

Specimen UC Davis_1873617: postnatal adult; Gdap1tm2b(KOMP)Wtsi/Gdap1+ (more )
Structure Level Pattern Image Note
TS28: pituitary gland Present UC Davis_1873617

Specimen UC Davis_1873618: postnatal adult; Gdap1tm2b(KOMP)Wtsi/Gdap1+ (more )
Structure Level Pattern Image Note
TS28: olfactory lobe Present UC Davis_1873618

Specimen UC Davis_1873621: postnatal adult; Gdap1tm2b(KOMP)Wtsi/Gdap1+ (more )
Structure Level Pattern Image Note
TS28: midbrain Present UC Davis_1873621

Specimen UC Davis_1873622: postnatal adult; Gdap1tm2b(KOMP)Wtsi/Gdap1+ (more )
Structure Level Pattern Image Note
TS28: midbrain Present UC Davis_1873622

Specimen UC Davis_1873625: postnatal adult; Gdap1tm2b(KOMP)Wtsi/Gdap1+ (more )
Structure Level Pattern Image Note
TS28: ileum Present UC Davis_1873625

Specimen UC Davis_1873626: postnatal adult; Gdap1tm2b(KOMP)Wtsi/Gdap1+ (more )
Structure Level Pattern Image Note
TS28: pituitary gland Present UC Davis_1873626

Specimen UC Davis_1873627: postnatal adult; Gdap1tm2b(KOMP)Wtsi/Gdap1+ (more )
Structure Level Pattern Image Note
TS28: olfactory lobe Present UC Davis_1873627

Specimen UC Davis_1873630: postnatal adult; Gdap1tm2b(KOMP)Wtsi/Gdap1+ (more )
Structure Level Pattern Image Note
TS28: midbrain Present UC Davis_1873630

Specimen UC Davis_1873632: postnatal adult; Gdap1tm2b(KOMP)Wtsi/Gdap1+ (more )
Structure Level Pattern Image Note
TS28: trigeminal nerve Present UC Davis_1873632

Specimen UC Davis_1873633: postnatal adult; Gdap1tm2b(KOMP)Wtsi/Gdap1+ (more )
Structure Level Pattern Image Note
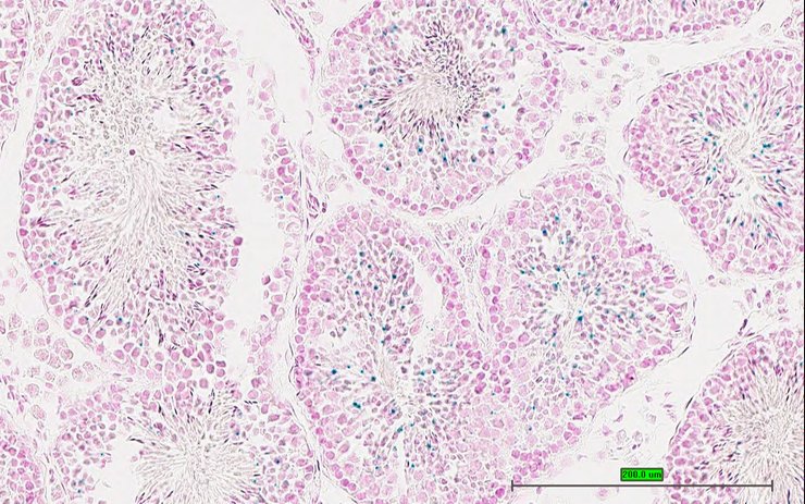
TS28: testis Present UC Davis_1873633

Specimen UC Davis_1873634: postnatal adult; Gdap1tm2b(KOMP)Wtsi/Gdap1+ (more )
Structure Level Pattern Image Note
TS28: testis Present UC Davis_1873634

Specimen UC Davis_1873635: postnatal adult; Gdap1tm2b(KOMP)Wtsi/Gdap1+ (more )
Structure Level Pattern Image Note
TS28: epididymis Present UC Davis_1873635

Specimen UC Davis_1873636: postnatal adult; Gdap1tm2b(KOMP)Wtsi/Gdap1+ (more )
Structure Level Pattern Image Note
TS28: ductus deferens Present UC Davis_1873636 vas deferens


Contributing Projects:
Mouse Genome Database (MGD), Gene Expression Database (GXD), Mouse Models of Human Cancer database (MMHCdb) (formerly Mouse Tumor Biology (MTB)), Gene Ontology (GO)
Citing These Resources
Funding Information
Warranty Disclaimer, Privacy Notice, Licensing, & Copyright
Send questions and comments to User Support.
last database update
01/06/2026
MGI 6.24
The Jackson Laboratory