About   Help   FAQ
Gene Expression Data
Assay Details
Assay
Reference: J:228563 Koscielny G, et al., The International Mouse Phenotyping Consortium Web Portal, a unified point of access for knockout mice and related phenotyping data. Nucleic Acids Res. 2014 Jan;42(Database issue):D802-9
Assay type: In situ reporter (knock in)
MGI Accession ID: MGI:6691382
Gene symbol: Vamp8
Gene name: vesicle-associated membrane protein 8
Reporter: lacZ
Direct Detection
Results
Specimen JAX_1268071: embryonic day 12.5; Vamp8tm1b(EUCOMM)Hmgu/Vamp8+ (more )
Structure Level Pattern Image Note
TS20: embryo Present JAX_1268071

Specimen JAX_1268073: embryonic day 12.5; Vamp8tm1b(EUCOMM)Hmgu/Vamp8+ (more )
Structure Level Pattern Image Note
TS20: embryo Present JAX_1268073

Specimen JAX_1268075: embryonic day 12.5; Vamp8tm1b(EUCOMM)Hmgu/Vamp8+ (more )
Structure Level Pattern Image Note
TS20: embryo Present JAX_1268075

Specimen JAX_1268077: embryonic day 12.5; Vamp8tm1b(EUCOMM)Hmgu/Vamp8+ (more )
Structure Level Pattern Image Note
TS20: embryo Present JAX_1268077

Specimen JAX_1268079: embryonic day 12.5; Vamp8tm1b(EUCOMM)Hmgu/Vamp8+ (more )
Structure Level Pattern Image Note
TS20: embryo Present JAX_1268079

Specimen JAX_1268081: embryonic day 12.5; Vamp8tm1b(EUCOMM)Hmgu/Vamp8+ (more )
Structure Level Pattern Image Note
TS20: embryo Present JAX_1268081

Specimen JAX_1268083: embryonic day 12.5; Vamp8tm1b(EUCOMM)Hmgu/Vamp8+ (more )
Structure Level Pattern Image Note
TS20: embryo Present JAX_1268083

Specimen JAX_1268085: embryonic day 12.5; Vamp8tm1b(EUCOMM)Hmgu/Vamp8+ (more )
Structure Level Pattern Image Note
TS20: embryo Present JAX_1268085

Specimen JAX_1631875: postnatal adult; Vamp8tm1b(EUCOMM)Hmgu/Vamp8+ (more )
Structure Level Pattern Image Note
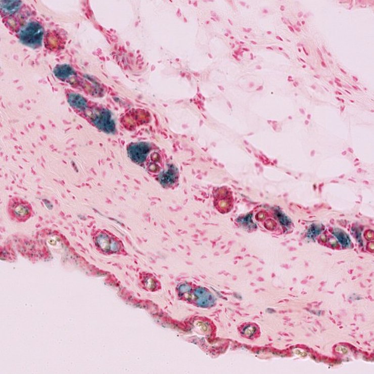
TS28: submandibular gland Present JAX_1631875

Specimen JAX_1631876: postnatal adult; Vamp8tm1b(EUCOMM)Hmgu/Vamp8+ (more )
Structure Level Pattern Image Note
TS28: bone marrow Present JAX_1631876

Specimen JAX_1631877: postnatal adult; Vamp8tm1b(EUCOMM)Hmgu/Vamp8+ (more )
Structure Level Pattern Image Note
TS28: bone Present JAX_1631877

Specimen JAX_1631878: postnatal adult; Vamp8tm1b(EUCOMM)Hmgu/Vamp8+ (more )
Structure Level Pattern Image Note
TS28: bladder Present JAX_1631878

Specimen JAX_1631879: postnatal adult; Vamp8tm1b(EUCOMM)Hmgu/Vamp8+ (more )
Structure Level Pattern Image Note
TS28: olfactory lobe Present JAX_1631879

Specimen JAX_1631880: postnatal adult; Vamp8tm1b(EUCOMM)Hmgu/Vamp8+ (more )
Structure Level Pattern Image Note
TS28: brainstem Present JAX_1631880

Specimen JAX_1631881: postnatal adult; Vamp8tm1b(EUCOMM)Hmgu/Vamp8+ (more )
Structure Level Pattern Image Note
TS28: spleen Present JAX_1631881

Specimen JAX_1631882: postnatal adult; Vamp8tm1b(EUCOMM)Hmgu/Vamp8+ (more )
Structure Level Pattern Image Note
TS28: pancreas Present JAX_1631882

Specimen JAX_1631883: postnatal adult; Vamp8tm1b(EUCOMM)Hmgu/Vamp8+ (more )
Structure Level Pattern Image Note
TS28: aorta Present JAX_1631883

Specimen JAX_1631884: postnatal adult; Vamp8tm1b(EUCOMM)Hmgu/Vamp8+ (more )
Structure Level Pattern Image Note
TS28: lung Present JAX_1631884

Specimen JAX_1631885: postnatal adult; Vamp8tm1b(EUCOMM)Hmgu/Vamp8+ (more )
Structure Level Pattern Image Note
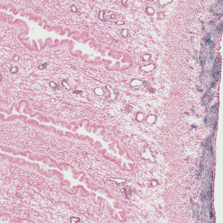
TS28: small intestine Present JAX_1631885

Specimen JAX_1631886: postnatal adult; Vamp8tm1b(EUCOMM)Hmgu/Vamp8+ (more )
Structure Level Pattern Image Note
TS28: thyroid gland Present JAX_1631886

Specimen JAX_1631887: postnatal adult; Vamp8tm1b(EUCOMM)Hmgu/Vamp8+ (more )
Structure Level Pattern Image Note
TS28: esophagus Present JAX_1631887

Specimen JAX_1631888: postnatal adult; Vamp8tm1b(EUCOMM)Hmgu/Vamp8+ (more )
Structure Level Pattern Image Note
TS28: large intestine Present JAX_1631888

Specimen JAX_1631889: postnatal adult; Vamp8tm1b(EUCOMM)Hmgu/Vamp8+ (more )
Structure Level Pattern Image Note
TS28: uterus Present JAX_1631889

Specimen JAX_1631890: postnatal adult; Vamp8tm1b(EUCOMM)Hmgu/Vamp8+ (more )
Structure Level Pattern Image Note
TS28: trachea Present JAX_1631890

Specimen JAX_1631891: postnatal adult; Vamp8tm1b(EUCOMM)Hmgu/Vamp8+ (more )
Structure Level Pattern Image Note
TS28: stomach Present JAX_1631891

Specimen JAX_1631892: postnatal adult; Vamp8tm1b(EUCOMM)Hmgu/Vamp8+ (more )
Structure Level Pattern Image Note
TS28: skin Present JAX_1631892

Specimen JAX_1631893: postnatal adult; Vamp8tm1b(EUCOMM)Hmgu/Vamp8+ (more )
Structure Level Pattern Image Note
TS28: oviduct Present JAX_1631893

Specimen JAX_1631894: postnatal adult; Vamp8tm1b(EUCOMM)Hmgu/Vamp8+ (more )
Structure Level Pattern Image Note
TS28: ovary Present JAX_1631894

Specimen JAX_1631895: postnatal adult; Vamp8tm1b(EUCOMM)Hmgu/Vamp8+ (more )
Structure Level Pattern Image Note
TS28: mammary gland Present JAX_1631895

Specimen JAX_1631896: postnatal adult; Vamp8tm1b(EUCOMM)Hmgu/Vamp8+ (more )
Structure Level Pattern Image Note
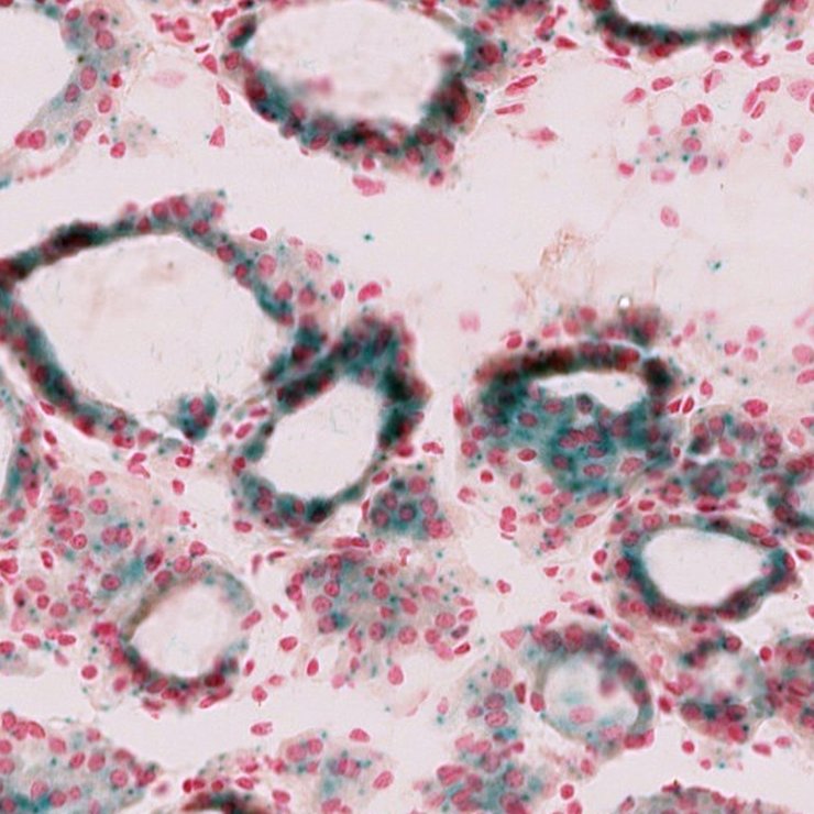
TS28: liver Present JAX_1631896

Specimen JAX_1631897: postnatal adult; Vamp8tm1b(EUCOMM)Hmgu/Vamp8+ (more )
Structure Level Pattern Image Note
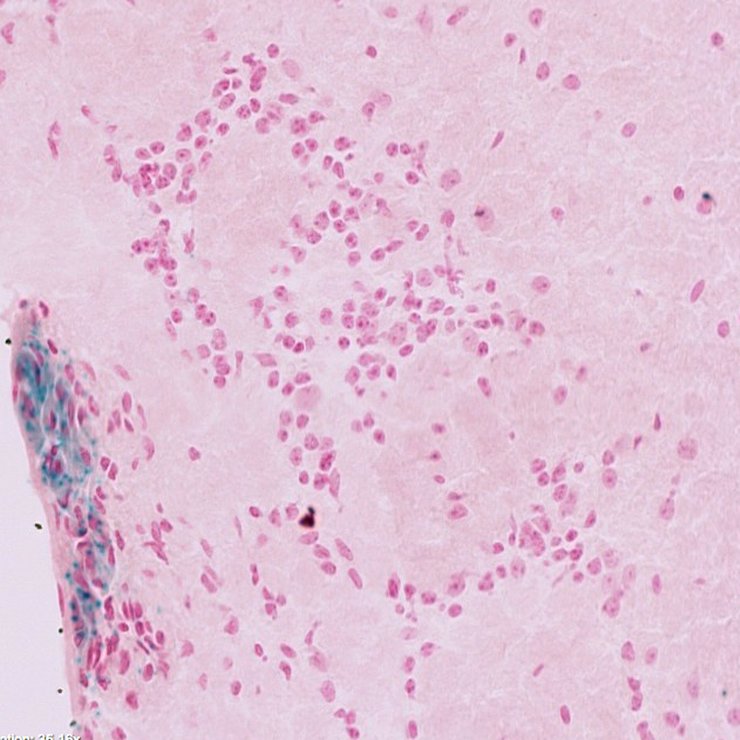
TS28: brain Present JAX_1631897

Specimen JAX_1631898: postnatal adult; Vamp8tm1b(EUCOMM)Hmgu/Vamp8+ (more )
Structure Level Pattern Image Note
TS28: vascular system Present JAX_1631898

Specimen JAX_1631899: postnatal adult; Vamp8tm1b(EUCOMM)Hmgu/Vamp8+ (more )
Structure Level Pattern Image Note
TS28: epididymis Present JAX_1631899

Specimen JAX_1631900: postnatal adult; Vamp8tm1b(EUCOMM)Hmgu/Vamp8+ (more )
Structure Level Pattern Image Note
TS28: Peyer's patch Present JAX_1631900

Specimen JAX_1631901: postnatal adult; Vamp8tm1b(EUCOMM)Hmgu/Vamp8+ (more )
Structure Level Pattern Image Note
TS28: peripheral nervous system Present JAX_1631901

Specimen JAX_1631902: postnatal adult; Vamp8tm1b(EUCOMM)Hmgu/Vamp8+ (more )
Structure Level Pattern Image Note
TS28: cerebral cortex Present JAX_1631902

Specimen JAX_1631903: postnatal adult; Vamp8tm1b(EUCOMM)Hmgu/Vamp8+ (more )
Structure Level Pattern Image Note
TS28: cartilage Present JAX_1631903

Specimen JAX_1631904: postnatal adult; Vamp8tm1b(EUCOMM)Hmgu/Vamp8+ (more )
Structure Level Pattern Image Note
TS28: white fat Present JAX_1631904

Specimen JAX_1631905: postnatal adult; Vamp8tm1b(EUCOMM)Hmgu/Vamp8+ (more )
Structure Level Pattern Image Note
TS28: pituitary gland Present JAX_1631905

Specimen JAX_1631906: postnatal adult; Vamp8tm1b(EUCOMM)Hmgu/Vamp8+ (more )
Structure Level Pattern Image Note
TS28: thymus Present JAX_1631906

Specimen JAX_1631907: postnatal adult; Vamp8tm1b(EUCOMM)Hmgu/Vamp8+ (more )
Structure Level Pattern Image Note
TS28: testis Present JAX_1631907

Specimen JAX_1631908: postnatal adult; Vamp8tm1b(EUCOMM)Hmgu/Vamp8+ (more )
Structure Level Pattern Image Note
TS28: lymph node Present JAX_1631908

Specimen JAX_1631909: postnatal adult; Vamp8tm1b(EUCOMM)Hmgu/Vamp8+ (more )
Structure Level Pattern Image Note
TS28: metanephros Present JAX_1631909 kidney

Specimen JAX_1631910: postnatal adult; Vamp8tm1b(EUCOMM)Hmgu/Vamp8+ (more )
Structure Level Pattern Image Note
TS28: heart Present JAX_1631910

Specimen JAX_1631911: postnatal adult; Vamp8tm1b(EUCOMM)Hmgu/Vamp8+ (more )
Structure Level Pattern Image Note
TS28: adrenal gland Present JAX_1631911


Contributing Projects:
Mouse Genome Database (MGD), Gene Expression Database (GXD), Mouse Models of Human Cancer database (MMHCdb) (formerly Mouse Tumor Biology (MTB)), Gene Ontology (GO)
Citing These Resources
Funding Information
Warranty Disclaimer, Privacy Notice, Licensing, & Copyright
Send questions and comments to User Support.
last database update
12/30/2025
MGI 6.24
The Jackson Laboratory