About   Help   FAQ
Gene Expression Data
Assay Details
Assay
Reference: J:228563 Koscielny G, et al., The International Mouse Phenotyping Consortium Web Portal, a unified point of access for knockout mice and related phenotyping data. Nucleic Acids Res. 2014 Jan;42(Database issue):D802-9
Assay type: In situ reporter (knock in)
MGI Accession ID: MGI:6691365
Gene symbol: Ahrr
Gene name: aryl-hydrocarbon receptor repressor
Reporter: lacZ
Direct Detection
Results
Specimen JAX_1796844: postnatal adult; Ahrrtm1b(KOMP)Wtsi/Ahrr+ (more )
Structure Level Pattern Image Note
TS28: midbrain Present JAX_1796844

Specimen JAX_1796845: postnatal adult; Ahrrtm1b(KOMP)Wtsi/Ahrr+ (more )
Structure Level Pattern Image Note
TS28: hypothalamus Present JAX_1796845

Specimen JAX_1796846: postnatal adult; Ahrrtm1b(KOMP)Wtsi/Ahrr+ (more )
Structure Level Pattern Image Note
TS28: brainstem Present JAX_1796846

Specimen JAX_1796847: postnatal adult; Ahrrtm1b(KOMP)Wtsi/Ahrr+ (more )
Structure Level Pattern Image Note
TS28: spleen Present JAX_1796847

Specimen JAX_1796848: postnatal adult; Ahrrtm1b(KOMP)Wtsi/Ahrr+ (more )
Structure Level Pattern Image Note
TS28: uterus Present JAX_1796848

Specimen JAX_1796849: postnatal adult; Ahrrtm1b(KOMP)Wtsi/Ahrr+ (more )
Structure Level Pattern Image Note
TS28: ovary Present JAX_1796849

Specimen JAX_1796850: postnatal adult; Ahrrtm1b(KOMP)Wtsi/Ahrr+ (more )
Structure Level Pattern Image Note
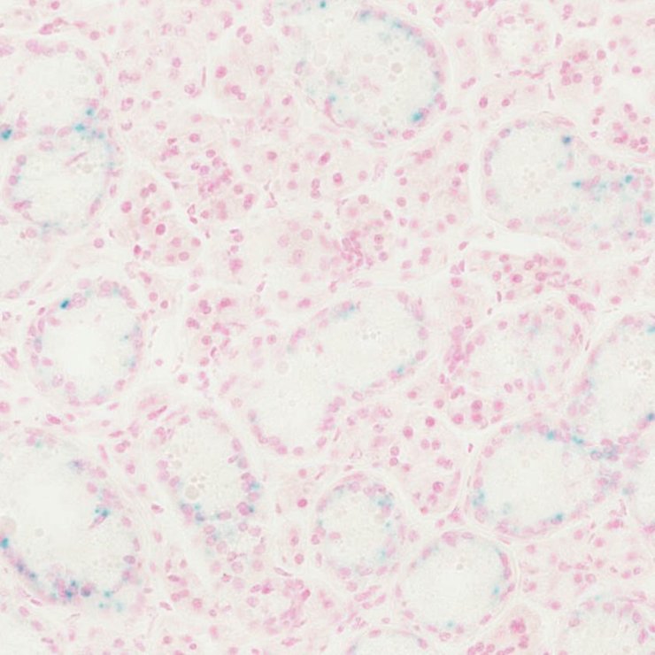
TS28: metanephros Present JAX_1796850 kidney

Specimen JAX_1796851: postnatal adult; Ahrrtm1b(KOMP)Wtsi/Ahrr+ (more )
Structure Level Pattern Image Note
TS28: brain Present JAX_1796851

Specimen JAX_1796852: postnatal adult; Ahrrtm1b(KOMP)Wtsi/Ahrr+ (more )
Structure Level Pattern Image Note
TS28: submandibular gland Present JAX_1796852

Specimen JAX_1796854: postnatal adult; Ahrrtm1b(KOMP)Wtsi/Ahrr+ (more )
Structure Level Pattern Image Note
TS28: spinal cord Present JAX_1796854

Specimen JAX_1796855: postnatal adult; Ahrrtm1b(KOMP)Wtsi/Ahrr+ (more )
Structure Level Pattern Image Note
TS28: trachea Present JAX_1796855

Specimen JAX_1796856: postnatal adult; Ahrrtm1b(KOMP)Wtsi/Ahrr+ (more )
Structure Level Pattern Image Note
TS28: testis Absent JAX_1796856


Contributing Projects:
Mouse Genome Database (MGD), Gene Expression Database (GXD), Mouse Models of Human Cancer database (MMHCdb) (formerly Mouse Tumor Biology (MTB)), Gene Ontology (GO)
Citing These Resources
Funding Information
Warranty Disclaimer, Privacy Notice, Licensing, & Copyright
Send questions and comments to User Support.
last database update
01/20/2026
MGI 6.24
The Jackson Laboratory