About   Help   FAQ
Gene Expression Data
Assay Details
Assay
Reference: J:228563 Koscielny G, et al., The International Mouse Phenotyping Consortium Web Portal, a unified point of access for knockout mice and related phenotyping data. Nucleic Acids Res. 2014 Jan;42(Database issue):D802-9
Assay type: In situ reporter (knock in)
MGI Accession ID: MGI:6691342
Gene symbol: Cd83
Gene name: CD83 antigen
Reporter: lacZ
Direct Detection
Results
Specimen UC Davis_1864055: postnatal adult; Cd83tm1b(KOMP)Wtsi/Cd83+ (more )
Structure Level Pattern Image Note
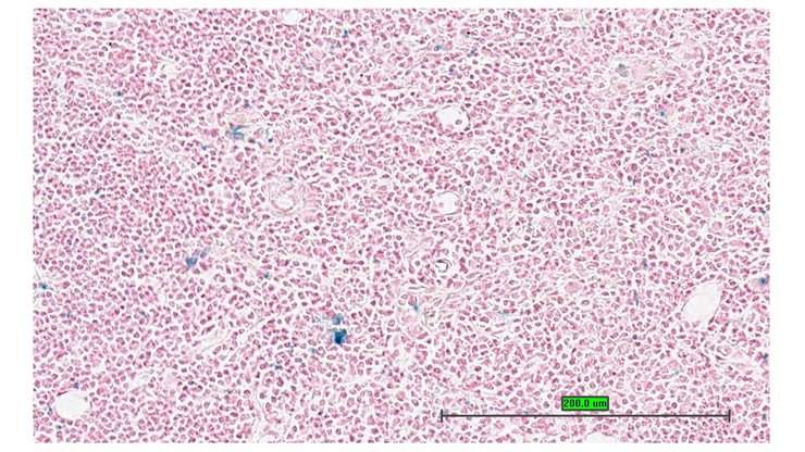
TS28: thymus Present UC Davis_1864055

Specimen UC Davis_1864056: postnatal adult; Cd83tm1b(KOMP)Wtsi/Cd83+ (more )
Structure Level Pattern Image Note
TS28: thymus Present UC Davis_1864056

Specimen UC Davis_1864057: postnatal adult; Cd83tm1b(KOMP)Wtsi/Cd83+ (more )
Structure Level Pattern Image Note
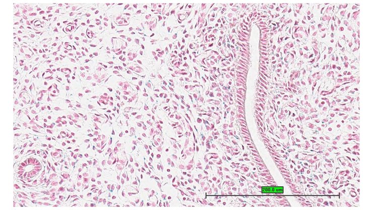
TS28: ileum Present UC Davis_1864057

Specimen UC Davis_1864058: postnatal adult; Cd83tm1b(KOMP)Wtsi/Cd83+ (more )
Structure Level Pattern Image Note
TS28: metanephros Present UC Davis_1864058 kidney

Specimen UC Davis_1864059: postnatal adult; Cd83tm1b(KOMP)Wtsi/Cd83+ (more )
Structure Level Pattern Image Note
TS28: metanephros Present UC Davis_1864059 kidney

Specimen UC Davis_1864062: postnatal adult; Cd83tm1b(KOMP)Wtsi/Cd83+ (more )
Structure Level Pattern Image Note
TS28: midbrain Present UC Davis_1864062

Specimen UC Davis_1864063: postnatal adult; Cd83tm1b(KOMP)Wtsi/Cd83+ (more )
Structure Level Pattern Image Note
TS28: midbrain Present UC Davis_1864063

Specimen UC Davis_1864064: postnatal adult; Cd83tm1b(KOMP)Wtsi/Cd83+ (more )
Structure Level Pattern Image Note
TS28: uterus Present UC Davis_1864064

Specimen UC Davis_1864040: postnatal adult; Cd83tm1b(KOMP)Wtsi/Cd83+ (more )
Structure Level Pattern Image Note
TS28: esophagus Present UC Davis_1864040

Specimen UC Davis_1864042: postnatal adult; Cd83tm1b(KOMP)Wtsi/Cd83+ (more )
Structure Level Pattern Image Note
TS28: thymus Present UC Davis_1864042

Specimen UC Davis_1864043: postnatal adult; Cd83tm1b(KOMP)Wtsi/Cd83+ (more )
Structure Level Pattern Image Note
TS28: thymus Present UC Davis_1864043

Specimen UC Davis_1864044: postnatal adult; Cd83tm1b(KOMP)Wtsi/Cd83+ (more )
Structure Level Pattern Image Note
TS28: ileum Present UC Davis_1864044

Specimen UC Davis_1864045: postnatal adult; Cd83tm1b(KOMP)Wtsi/Cd83+ (more )
Structure Level Pattern Image Note
TS28: spleen Present UC Davis_1864045

Specimen UC Davis_1864046: postnatal adult; Cd83tm1b(KOMP)Wtsi/Cd83+ (more )
Structure Level Pattern Image Note
TS28: metanephros Present UC Davis_1864046 kidney

Specimen UC Davis_1864049: postnatal adult; Cd83tm1b(KOMP)Wtsi/Cd83+ (more )
Structure Level Pattern Image Note
TS28: midbrain Present UC Davis_1864049

Specimen UC Davis_1864051: postnatal adult; Cd83tm1b(KOMP)Wtsi/Cd83+ (more )
Structure Level Pattern Image Note
TS28: testis Present UC Davis_1864051

Specimen UC Davis_1864052: postnatal adult; Cd83tm1b(KOMP)Wtsi/Cd83+ (more )
Structure Level Pattern Image Note
TS28: epididymis Present UC Davis_1864052

Specimen UC Davis_1864053: postnatal adult; Cd83tm1b(KOMP)Wtsi/Cd83+ (more )
Structure Level Pattern Image Note
TS28: prostate gland Present UC Davis_1864053

Specimen UC Davis_1864054: postnatal adult; Cd83tm1b(KOMP)Wtsi/Cd83+ (more )
Structure Level Pattern Image Note
TS28: ductus deferens Present UC Davis_1864054 vas deferens


Contributing Projects:
Mouse Genome Database (MGD), Gene Expression Database (GXD), Mouse Models of Human Cancer database (MMHCdb) (formerly Mouse Tumor Biology (MTB)), Gene Ontology (GO)
Citing These Resources
Funding Information
Warranty Disclaimer, Privacy Notice, Licensing, & Copyright
Send questions and comments to User Support.
last database update
01/06/2026
MGI 6.24
The Jackson Laboratory