About   Help   FAQ
Gene Expression Data
Assay Details
Assay
Reference: J:228563 Koscielny G, et al., The International Mouse Phenotyping Consortium Web Portal, a unified point of access for knockout mice and related phenotyping data. Nucleic Acids Res. 2014 Jan;42(Database issue):D802-9
Assay type: In situ reporter (knock in)
MGI Accession ID: MGI:6691336
Gene symbol: Cacng2
Gene name: calcium channel, voltage-dependent, gamma subunit 2
Reporter: lacZ
Direct Detection
Results
Specimen TCP_2460750: postnatal adult; Cacng2tm1b(KOMP)Mbp/Cacng2+ (more )
Structure Level Pattern Image Note
TS28: brain Present TCP_2460750

Specimen TCP_2460751: postnatal adult; Cacng2tm1b(KOMP)Mbp/Cacng2+ (more )
Structure Level Pattern Image Note
TS28: cerebellum Present TCP_2460751

Specimen TCP_2460752: postnatal adult; Cacng2tm1b(KOMP)Mbp/Cacng2+ (more )
Structure Level Pattern Image Note
TS28: eye Present TCP_2460752

Specimen TCP_2460753: postnatal adult; Cacng2tm1b(KOMP)Mbp/Cacng2+ (more )
Structure Level Pattern Image Note
TS28: olfactory lobe Present TCP_2460753

Specimen TCP_2460754: postnatal adult; Cacng2tm1b(KOMP)Mbp/Cacng2+ (more )
Structure Level Pattern Image Note
TS28: spinal cord Present TCP_2460754

Specimen UC Davis_1883671: postnatal adult; Cacng2tm1b(KOMP)Mbp/Cacng2+ (more )
Structure Level Pattern Image Note
TS28: ileum Present UC Davis_1883671

Specimen UC Davis_1883672: postnatal adult; Cacng2tm1b(KOMP)Mbp/Cacng2+ (more )
Structure Level Pattern Image Note
TS28: spinal cord Present UC Davis_1883672

Specimen UC Davis_1883673: postnatal adult; Cacng2tm1b(KOMP)Mbp/Cacng2+ (more )
Structure Level Pattern Image Note
TS28: eye Present UC Davis_1883673

Specimen UC Davis_1883674: postnatal adult; Cacng2tm1b(KOMP)Mbp/Cacng2+ (more )
Structure Level Pattern Image Note
TS28: olfactory lobe Present UC Davis_1883674

Specimen UC Davis_1883677: postnatal adult; Cacng2tm1b(KOMP)Mbp/Cacng2+ (more )
Structure Level Pattern Image Note
TS28: midbrain Present UC Davis_1883677

Specimen UC Davis_1883679: postnatal adult; Cacng2tm1b(KOMP)Mbp/Cacng2+ (more )
Structure Level Pattern Image Note
TS28: cerebellum Present UC Davis_1883679

Specimen TCP_2460746: postnatal adult; Cacng2tm1b(KOMP)Mbp/Cacng2+ (more )
Structure Level Pattern Image Note
TS28: brain Present TCP_2460746

Specimen TCP_2460747: postnatal adult; Cacng2tm1b(KOMP)Mbp/Cacng2+ (more )
Structure Level Pattern Image Note
TS28: cerebellum Present TCP_2460747

Specimen TCP_2460748: postnatal adult; Cacng2tm1b(KOMP)Mbp/Cacng2+ (more )
Structure Level Pattern Image Note
TS28: olfactory lobe Present TCP_2460748

Specimen TCP_2460749: postnatal adult; Cacng2tm1b(KOMP)Mbp/Cacng2+ (more )
Structure Level Pattern Image Note
TS28: spinal cord Present TCP_2460749

Specimen UC Davis_1883655: postnatal adult; Cacng2tm1b(KOMP)Mbp/Cacng2+ (more )
Structure Level Pattern Image Note
TS28: spinal cord Present UC Davis_1883655

Specimen UC Davis_1883656: postnatal adult; Cacng2tm1b(KOMP)Mbp/Cacng2+ (more )
Structure Level Pattern Image Note
TS28: spinal cord Present UC Davis_1883656

Specimen UC Davis_1883657: postnatal adult; Cacng2tm1b(KOMP)Mbp/Cacng2+ (more )
Structure Level Pattern Image Note
TS28: eye Present UC Davis_1883657

Specimen UC Davis_1883658: postnatal adult; Cacng2tm1b(KOMP)Mbp/Cacng2+ (more )
Structure Level Pattern Image Note
TS28: olfactory lobe Present UC Davis_1883658

Specimen UC Davis_1883662: postnatal adult; Cacng2tm1b(KOMP)Mbp/Cacng2+ (more )
Structure Level Pattern Image Note
TS28: midbrain Present UC Davis_1883662

Specimen UC Davis_1883664: postnatal adult; Cacng2tm1b(KOMP)Mbp/Cacng2+ (more )
Structure Level Pattern Image Note
TS28: cerebellum Present UC Davis_1883664

Specimen UC Davis_1883665: postnatal adult; Cacng2tm1b(KOMP)Mbp/Cacng2+ (more )
Structure Level Pattern Image Note
TS28: trigeminal nerve Present UC Davis_1883665

Specimen UC Davis_1883666: postnatal adult; Cacng2tm1b(KOMP)Mbp/Cacng2+ (more )
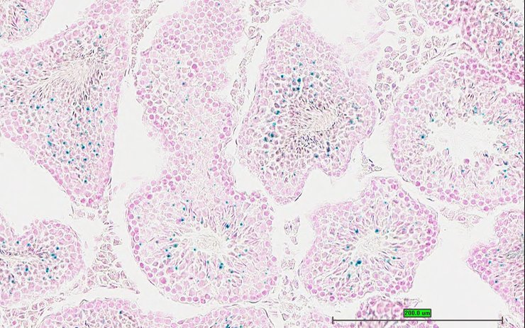
Structure Level Pattern Image Note
TS28: testis Present UC Davis_1883666

Specimen UC Davis_1883667: postnatal adult; Cacng2tm1b(KOMP)Mbp/Cacng2+ (more )
Structure Level Pattern Image Note
TS28: testis Present UC Davis_1883667

Specimen UC Davis_1883668: postnatal adult; Cacng2tm1b(KOMP)Mbp/Cacng2+ (more )
Structure Level Pattern Image Note
TS28: epididymis Present UC Davis_1883668

Specimen UC Davis_1883669: postnatal adult; Cacng2tm1b(KOMP)Mbp/Cacng2+ (more )
Structure Level Pattern Image Note
TS28: prostate gland Present UC Davis_1883669

Specimen UC Davis_1883670: postnatal adult; Cacng2tm1b(KOMP)Mbp/Cacng2+ (more )
Structure Level Pattern Image Note
TS28: ductus deferens Present UC Davis_1883670 vas deferens


Contributing Projects:
Mouse Genome Database (MGD), Gene Expression Database (GXD), Mouse Models of Human Cancer database (MMHCdb) (formerly Mouse Tumor Biology (MTB)), Gene Ontology (GO)
Citing These Resources
Funding Information
Warranty Disclaimer, Privacy Notice, Licensing, & Copyright
Send questions and comments to User Support.
last database update
01/06/2026
MGI 6.24
The Jackson Laboratory