About   Help   FAQ
Gene Expression Data
Assay Details
Assay
Reference: J:228563 Koscielny G, et al., The International Mouse Phenotyping Consortium Web Portal, a unified point of access for knockout mice and related phenotyping data. Nucleic Acids Res. 2014 Jan;42(Database issue):D802-9
Assay type: In situ reporter (knock in)
MGI Accession ID: MGI:6691287
Gene symbol: Eif4ebp3
Gene name: eukaryotic translation initiation factor 4E binding protein 3
Reporter: lacZ
Direct Detection
Results
Specimen UC Davis_1860604: postnatal adult; Eif4ebp3tm1.1(KOMP)Vlcg/Eif4ebp3+ (more )
Structure Level Pattern Image Note
TS28: esophagus Present UC Davis_1860604

Specimen UC Davis_1860605: postnatal adult; Eif4ebp3tm1.1(KOMP)Vlcg/Eif4ebp3+ (more )
Structure Level Pattern Image Note
TS28: parathyroid gland Present UC Davis_1860605

Specimen UC Davis_1860606: postnatal adult; Eif4ebp3tm1.1(KOMP)Vlcg/Eif4ebp3+ (more )
Structure Level Pattern Image Note
TS28: jejunum Present UC Davis_1860606

Specimen UC Davis_1860607: postnatal adult; Eif4ebp3tm1.1(KOMP)Vlcg/Eif4ebp3+ (more )
Structure Level Pattern Image Note
TS28: ileum Present UC Davis_1860607

Specimen UC Davis_1860616: postnatal adult; Eif4ebp3tm1.1(KOMP)Vlcg/Eif4ebp3+ (more )
Structure Level Pattern Image Note
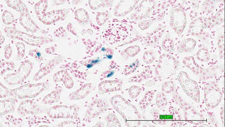
TS28: metanephros Present UC Davis_1860616 kidney

Specimen UC Davis_1860608: postnatal adult; Eif4ebp3tm1.1(KOMP)Vlcg/Eif4ebp3+ (more )
Structure Level Pattern Image Note
TS28: metanephros Present UC Davis_1860608 kidney

Specimen UC Davis_1860609: postnatal adult; Eif4ebp3tm1.1(KOMP)Vlcg/Eif4ebp3+ (more )
Structure Level Pattern Image Note
TS28: metanephros Present UC Davis_1860609 kidney

Specimen UC Davis_1860610: postnatal adult; Eif4ebp3tm1.1(KOMP)Vlcg/Eif4ebp3+ (more )
Structure Level Pattern Image Note
TS28: testis Present UC Davis_1860610

Specimen UC Davis_1860611: postnatal adult; Eif4ebp3tm1.1(KOMP)Vlcg/Eif4ebp3+ (more )
Structure Level Pattern Image Note
TS28: epididymis Present UC Davis_1860611

Specimen UC Davis_1860612: postnatal adult; Eif4ebp3tm1.1(KOMP)Vlcg/Eif4ebp3+ (more )
Structure Level Pattern Image Note
TS28: epididymis Present UC Davis_1860612

Specimen UC Davis_1860613: postnatal adult; Eif4ebp3tm1.1(KOMP)Vlcg/Eif4ebp3+ (more )
Structure Level Pattern Image Note
TS28: prostate gland Present UC Davis_1860613

Specimen UC Davis_1860614: postnatal adult; Eif4ebp3tm1.1(KOMP)Vlcg/Eif4ebp3+ (more )
Structure Level Pattern Image Note
TS28: ductus deferens Present UC Davis_1860614 vas deferens

Specimen UC Davis_1860615: postnatal adult; Eif4ebp3tm1.1(KOMP)Vlcg/Eif4ebp3+ (more )
Structure Level Pattern Image Note
TS28: testis Present UC Davis_1860615


Contributing Projects:
Mouse Genome Database (MGD), Gene Expression Database (GXD), Mouse Models of Human Cancer database (MMHCdb) (formerly Mouse Tumor Biology (MTB)), Gene Ontology (GO)
Citing These Resources
Funding Information
Warranty Disclaimer, Privacy Notice, Licensing, & Copyright
Send questions and comments to User Support.
last database update
01/06/2026
MGI 6.24
The Jackson Laboratory