About   Help   FAQ
Gene Expression Data
Assay Details
Assay
Reference: J:228563 Koscielny G, et al., The International Mouse Phenotyping Consortium Web Portal, a unified point of access for knockout mice and related phenotyping data. Nucleic Acids Res. 2014 Jan;42(Database issue):D802-9
Assay type: In situ reporter (knock in)
MGI Accession ID: MGI:6691286
Gene symbol: Cacybp
Gene name: calcyclin binding protein
Reporter: lacZ
Direct Detection
Results
Specimen UC Davis_1879371: postnatal adult; Cacybptm1b(EUCOMM)Wtsi/Cacybp+ (more )
Structure Level Pattern Image Note
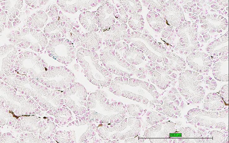
TS28: metanephros Present UC Davis_1879371 kidney

Specimen UC Davis_1879372: postnatal adult; Cacybptm1b(EUCOMM)Wtsi/Cacybp+ (more )
Structure Level Pattern Image Note
TS28: metanephros Present UC Davis_1879372 kidney

Specimen UC Davis_1879373: postnatal adult; Cacybptm1b(EUCOMM)Wtsi/Cacybp+ (more )
Structure Level Pattern Image Note
TS28: Harderian gland Present UC Davis_1879373

Specimen UC Davis_1879374: postnatal adult; Cacybptm1b(EUCOMM)Wtsi/Cacybp+ (more )
Structure Level Pattern Image Note
TS28: Harderian gland Present UC Davis_1879374

Specimen UC Davis_1879363: postnatal adult; Cacybptm1b(EUCOMM)Wtsi/Cacybp+ (more )
Structure Level Pattern Image Note
TS28: ileum Present UC Davis_1879363

Specimen UC Davis_1879364: postnatal adult; Cacybptm1b(EUCOMM)Wtsi/Cacybp+ (more )
Structure Level Pattern Image Note
TS28: metanephros Present UC Davis_1879364 kidney

Specimen UC Davis_1879365: postnatal adult; Cacybptm1b(EUCOMM)Wtsi/Cacybp+ (more )
Structure Level Pattern Image Note
TS28: Harderian gland Present UC Davis_1879365

Specimen UC Davis_1879366: postnatal adult; Cacybptm1b(EUCOMM)Wtsi/Cacybp+ (more )
Structure Level Pattern Image Note
TS28: testis Present UC Davis_1879366

Specimen UC Davis_1879367: postnatal adult; Cacybptm1b(EUCOMM)Wtsi/Cacybp+ (more )
Structure Level Pattern Image Note
TS28: testis Present UC Davis_1879367

Specimen UC Davis_1879368: postnatal adult; Cacybptm1b(EUCOMM)Wtsi/Cacybp+ (more )
Structure Level Pattern Image Note
TS28: epididymis Present UC Davis_1879368

Specimen UC Davis_1879369: postnatal adult; Cacybptm1b(EUCOMM)Wtsi/Cacybp+ (more )
Structure Level Pattern Image Note
TS28: prostate gland Present UC Davis_1879369

Specimen UC Davis_1879370: postnatal adult; Cacybptm1b(EUCOMM)Wtsi/Cacybp+ (more )
Structure Level Pattern Image Note
TS28: ductus deferens Present UC Davis_1879370 vas deferens


Contributing Projects:
Mouse Genome Database (MGD), Gene Expression Database (GXD), Mouse Models of Human Cancer database (MMHCdb) (formerly Mouse Tumor Biology (MTB)), Gene Ontology (GO)
Citing These Resources
Funding Information
Warranty Disclaimer, Privacy Notice, Licensing, & Copyright
Send questions and comments to User Support.
last database update
01/20/2026
MGI 6.24
The Jackson Laboratory