About   Help   FAQ
Gene Expression Data
Assay Details
Assay
Reference: J:228563 Koscielny G, et al., The International Mouse Phenotyping Consortium Web Portal, a unified point of access for knockout mice and related phenotyping data. Nucleic Acids Res. 2014 Jan;42(Database issue):D802-9
Assay type: In situ reporter (knock in)
MGI Accession ID: MGI:6691276
Gene symbol: Endog
Gene name: endonuclease G
Reporter: lacZ
Direct Detection
Results
Specimen UC Davis_1863911: postnatal adult; Endogtm1.1(KOMP)Vlcg/Endog+ (more )
Structure Level Pattern Image Note
TS28: trachea Present UC Davis_1863911

Specimen UC Davis_1863912: postnatal adult; Endogtm1.1(KOMP)Vlcg/Endog+ (more )
Structure Level Pattern Image Note
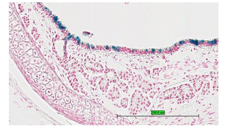
TS28: esophagus Present UC Davis_1863912

Specimen UC Davis_1863913: postnatal adult; Endogtm1.1(KOMP)Vlcg/Endog+ (more )
Structure Level Pattern Image Note
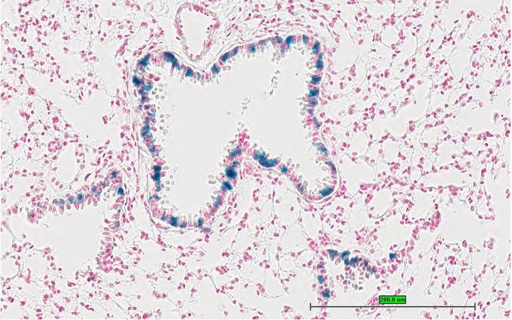
TS28: lung Present UC Davis_1863913

Specimen UC Davis_1863914: postnatal adult; Endogtm1.1(KOMP)Vlcg/Endog+ (more )
Structure Level Pattern Image Note
TS28: lung Present UC Davis_1863914

Specimen UC Davis_1863915: postnatal adult; Endogtm1.1(KOMP)Vlcg/Endog+ (more )
Structure Level Pattern Image Note
TS28: lung Present UC Davis_1863915

Specimen UC Davis_1863916: postnatal adult; Endogtm1.1(KOMP)Vlcg/Endog+ (more )
Structure Level Pattern Image Note
TS28: lung Present UC Davis_1863916

Specimen UC Davis_1863917: postnatal adult; Endogtm1.1(KOMP)Vlcg/Endog+ (more )
Structure Level Pattern Image Note
TS28: ileum Present UC Davis_1863917

Specimen UC Davis_1863918: postnatal adult; Endogtm1.1(KOMP)Vlcg/Endog+ (more )
Structure Level Pattern Image Note
TS28: spinal cord Present UC Davis_1863918

Specimen UC Davis_1863893: postnatal adult; Endogtm1.1(KOMP)Vlcg/Endog+ (more )
Structure Level Pattern Image Note
TS28: trachea Present UC Davis_1863893

Specimen UC Davis_1863894: postnatal adult; Endogtm1.1(KOMP)Vlcg/Endog+ (more )
Structure Level Pattern Image Note
TS28: trachea Present UC Davis_1863894

Specimen UC Davis_1863896: postnatal adult; Endogtm1.1(KOMP)Vlcg/Endog+ (more )
Structure Level Pattern Image Note
TS28: parathyroid gland Present UC Davis_1863896

Specimen UC Davis_1863897: postnatal adult; Endogtm1.1(KOMP)Vlcg/Endog+ (more )
Structure Level Pattern Image Note
TS28: lung Present UC Davis_1863897

Specimen UC Davis_1863898: postnatal adult; Endogtm1.1(KOMP)Vlcg/Endog+ (more )
Structure Level Pattern Image Note
TS28: lung Present UC Davis_1863898

Specimen UC Davis_1863899: postnatal adult; Endogtm1.1(KOMP)Vlcg/Endog+ (more )
Structure Level Pattern Image Note
TS28: lung Present UC Davis_1863899

Specimen UC Davis_1863900: postnatal adult; Endogtm1.1(KOMP)Vlcg/Endog+ (more )
Structure Level Pattern Image Note
TS28: ileum Present UC Davis_1863900

Specimen UC Davis_1863901: postnatal adult; Endogtm1.1(KOMP)Vlcg/Endog+ (more )
Structure Level Pattern Image Note
TS28: spinal cord Present UC Davis_1863901

Specimen UC Davis_1863902: postnatal adult; Endogtm1.1(KOMP)Vlcg/Endog+ (more )
Structure Level Pattern Image Note
TS28: spinal cord Present UC Davis_1863902

Specimen UC Davis_1863905: postnatal adult; Endogtm1.1(KOMP)Vlcg/Endog+ (more )
Structure Level Pattern Image Note
TS28: testis Present UC Davis_1863905

Specimen UC Davis_1863906: postnatal adult; Endogtm1.1(KOMP)Vlcg/Endog+ (more )
Structure Level Pattern Image Note
TS28: testis Present UC Davis_1863906

Specimen UC Davis_1863907: postnatal adult; Endogtm1.1(KOMP)Vlcg/Endog+ (more )
Structure Level Pattern Image Note
TS28: epididymis Present UC Davis_1863907

Specimen UC Davis_1863908: postnatal adult; Endogtm1.1(KOMP)Vlcg/Endog+ (more )
Structure Level Pattern Image Note
TS28: epididymis Present UC Davis_1863908

Specimen UC Davis_1863909: postnatal adult; Endogtm1.1(KOMP)Vlcg/Endog+ (more )
Structure Level Pattern Image Note
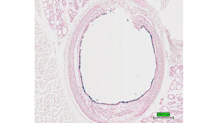
TS28: ductus deferens Present UC Davis_1863909 vas deferens

Specimen UC Davis_1863910: postnatal adult; Endogtm1.1(KOMP)Vlcg/Endog+ (more )
Structure Level Pattern Image Note
TS28: ductus deferens Present UC Davis_1863910 vas deferens


Contributing Projects:
Mouse Genome Database (MGD), Gene Expression Database (GXD), Mouse Models of Human Cancer database (MMHCdb) (formerly Mouse Tumor Biology (MTB)), Gene Ontology (GO)
Citing These Resources
Funding Information
Warranty Disclaimer, Privacy Notice, Licensing, & Copyright
Send questions and comments to User Support.
last database update
01/20/2026
MGI 6.24
The Jackson Laboratory