About   Help   FAQ
Gene Expression Data
Assay Details
Assay
Reference: J:228563 Koscielny G, et al., The International Mouse Phenotyping Consortium Web Portal, a unified point of access for knockout mice and related phenotyping data. Nucleic Acids Res. 2014 Jan;42(Database issue):D802-9
Assay type: In situ reporter (knock in)
MGI Accession ID: MGI:6691263
Gene symbol: Top3a
Gene name: topoisomerase (DNA) III alpha
Reporter: lacZ
Direct Detection
Results
Specimen JAX_1263321: embryonic day 12.5; Top3atm1b(EUCOMM)Hmgu/Top3a+ (more )
Structure Level Pattern Image Note
TS20: embryo Present JAX_1263321

Specimen JAX_1263323: embryonic day 12.5; Top3atm1b(EUCOMM)Hmgu/Top3a+ (more )
Structure Level Pattern Image Note
TS20: embryo Present JAX_1263323

Specimen JAX_1263325: embryonic day 12.5; Top3atm1b(EUCOMM)Hmgu/Top3a+ (more )
Structure Level Pattern Image Note
TS20: embryo Present JAX_1263325

Specimen JAX_1263327: embryonic day 12.5; Top3atm1b(EUCOMM)Hmgu/Top3a+ (more )
Structure Level Pattern Image Note
TS20: embryo Present JAX_1263327

Specimen JAX_1263329: embryonic day 12.5; Top3atm1b(EUCOMM)Hmgu/Top3a+ (more )
Structure Level Pattern Image Note
TS20: embryo Present JAX_1263329

Specimen JAX_1263331: embryonic day 12.5; Top3atm1b(EUCOMM)Hmgu/Top3a+ (more )
Structure Level Pattern Image Note
TS20: embryo Present JAX_1263331

Specimen JAX_1263333: embryonic day 12.5; Top3atm1b(EUCOMM)Hmgu/Top3a+ (more )
Structure Level Pattern Image Note
TS20: embryo Present JAX_1263333

Specimen JAX_1263335: embryonic day 12.5; Top3atm1b(EUCOMM)Hmgu/Top3a+ (more )
Structure Level Pattern Image Note
TS20: embryo Present JAX_1263335

Specimen JAX_1372708: postnatal adult; Top3atm1b(EUCOMM)Hmgu/Top3a+ (more )
Structure Level Pattern Image Note
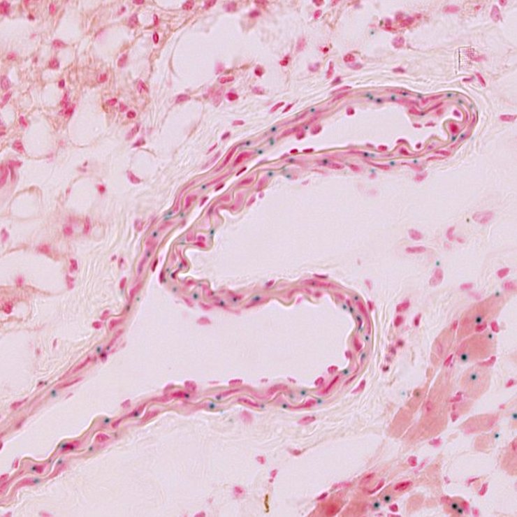
TS28: vascular system Present JAX_1372708

Specimen JAX_1372709: postnatal adult; Top3atm1b(EUCOMM)Hmgu/Top3a+ (more )
Structure Level Pattern Image Note
TS28: cartilage Present JAX_1372709

Specimen JAX_1372710: postnatal adult; Top3atm1b(EUCOMM)Hmgu/Top3a+ (more )
Structure Level Pattern Image Note
TS28: aorta Present JAX_1372710

Specimen JAX_1372711: postnatal adult; Top3atm1b(EUCOMM)Hmgu/Top3a+ (more )
Structure Level Pattern Image Note
TS28: lung Present JAX_1372711

Specimen JAX_1372712: postnatal adult; Top3atm1b(EUCOMM)Hmgu/Top3a+ (more )
Structure Level Pattern Image Note
TS28: pituitary gland Present JAX_1372712

Specimen JAX_1372713: postnatal adult; Top3atm1b(EUCOMM)Hmgu/Top3a+ (more )
Structure Level Pattern Image Note
TS28: uterus Present JAX_1372713

Specimen JAX_1372714: postnatal adult; Top3atm1b(EUCOMM)Hmgu/Top3a+ (more )
Structure Level Pattern Image Note
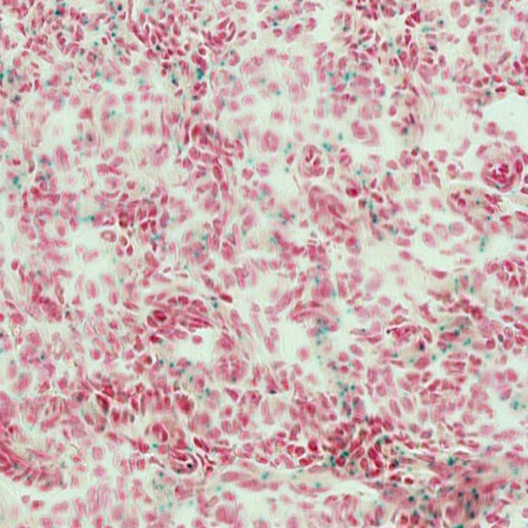
TS28: thymus Present JAX_1372714

Specimen JAX_1372715: postnatal adult; Top3atm1b(EUCOMM)Hmgu/Top3a+ (more )
Structure Level Pattern Image Note
TS28: stomach Present JAX_1372715

Specimen JAX_1372716: postnatal adult; Top3atm1b(EUCOMM)Hmgu/Top3a+ (more )
Structure Level Pattern Image Note
TS28: oviduct Present JAX_1372716

Specimen JAX_1372717: postnatal adult; Top3atm1b(EUCOMM)Hmgu/Top3a+ (more )
Structure Level Pattern Image Note
TS28: ovary Present JAX_1372717

Specimen JAX_1372718: postnatal adult; Top3atm1b(EUCOMM)Hmgu/Top3a+ (more )
Structure Level Pattern Image Note
TS28: mammary gland Present JAX_1372718

Specimen JAX_1372719: postnatal adult; Top3atm1b(EUCOMM)Hmgu/Top3a+ (more )
Structure Level Pattern Image Note
TS28: metanephros Present JAX_1372719 kidney

Specimen JAX_1372720: postnatal adult; Top3atm1b(EUCOMM)Hmgu/Top3a+ (more )
Structure Level Pattern Image Note
TS28: eye Present JAX_1372720

Specimen JAX_1372721: postnatal adult; Top3atm1b(EUCOMM)Hmgu/Top3a+ (more )
Structure Level Pattern Image Note
TS28: adrenal gland Present JAX_1372721

Specimen JAX_1372695: postnatal adult; Top3atm1b(EUCOMM)Hmgu/Top3a+ (more )
Structure Level Pattern Image Note
TS28: epididymis Present JAX_1372695

Specimen JAX_1372696: postnatal adult; Top3atm1b(EUCOMM)Hmgu/Top3a+ (more )
Structure Level Pattern Image Note
TS28: bladder Present JAX_1372696

Specimen JAX_1372697: postnatal adult; Top3atm1b(EUCOMM)Hmgu/Top3a+ (more )
Structure Level Pattern Image Note
TS28: peripheral nervous system Present JAX_1372697

Specimen JAX_1372698: postnatal adult; Top3atm1b(EUCOMM)Hmgu/Top3a+ (more )
Structure Level Pattern Image Note
TS28: cerebellum Present JAX_1372698

Specimen JAX_1372699: postnatal adult; Top3atm1b(EUCOMM)Hmgu/Top3a+ (more )
Structure Level Pattern Image Note
TS28: brainstem Present JAX_1372699

Specimen JAX_1372700: postnatal adult; Top3atm1b(EUCOMM)Hmgu/Top3a+ (more )
Structure Level Pattern Image Note
TS28: pancreas Present JAX_1372700

Specimen JAX_1372701: postnatal adult; Top3atm1b(EUCOMM)Hmgu/Top3a+ (more )
Structure Level Pattern Image Note
TS28: small intestine Present JAX_1372701

Specimen JAX_1372702: postnatal adult; Top3atm1b(EUCOMM)Hmgu/Top3a+ (more )
Structure Level Pattern Image Note
TS28: spinal cord Present JAX_1372702

Specimen JAX_1372703: postnatal adult; Top3atm1b(EUCOMM)Hmgu/Top3a+ (more )
Structure Level Pattern Image Note
TS28: esophagus Present JAX_1372703

Specimen JAX_1372704: postnatal adult; Top3atm1b(EUCOMM)Hmgu/Top3a+ (more )
Structure Level Pattern Image Note
TS28: large intestine Present JAX_1372704

Specimen JAX_1372705: postnatal adult; Top3atm1b(EUCOMM)Hmgu/Top3a+ (more )
Structure Level Pattern Image Note
TS28: testis Present JAX_1372705

Specimen JAX_1372706: postnatal adult; Top3atm1b(EUCOMM)Hmgu/Top3a+ (more )
Structure Level Pattern Image Note
TS28: heart Present JAX_1372706

Specimen JAX_1372707: postnatal adult; Top3atm1b(EUCOMM)Hmgu/Top3a+ (more )
Structure Level Pattern Image Note
TS28: brain Absent JAX_1372707


Contributing Projects:
Mouse Genome Database (MGD), Gene Expression Database (GXD), Mouse Models of Human Cancer database (MMHCdb) (formerly Mouse Tumor Biology (MTB)), Gene Ontology (GO)
Citing These Resources
Funding Information
Warranty Disclaimer, Privacy Notice, Licensing, & Copyright
Send questions and comments to User Support.
last database update
01/20/2026
MGI 6.24
The Jackson Laboratory