About   Help   FAQ
Gene Expression Data
Assay Details
Assay
Reference: J:228563 Koscielny G, et al., The International Mouse Phenotyping Consortium Web Portal, a unified point of access for knockout mice and related phenotyping data. Nucleic Acids Res. 2014 Jan;42(Database issue):D802-9
Assay type: In situ reporter (knock in)
MGI Accession ID: MGI:6691251
Gene symbol: R3hcc1l
Gene name: R3H domain and coiled-coil containing 1 like
Reporter: lacZ
Direct Detection
Results
Specimen JAX_1470230: embryonic day 12.5; R3hcc1ltm1b(KOMP)Wtsi/R3hcc1l+ (more )
Structure Level Pattern Image Note
TS20: embryo Present JAX_1470230

Specimen JAX_1470231: embryonic day 12.5; R3hcc1ltm1b(KOMP)Wtsi/R3hcc1l+ (more )
Structure Level Pattern Image Note
TS20: embryo Present JAX_1470231

Specimen JAX_1470232: embryonic day 12.5; R3hcc1ltm1b(KOMP)Wtsi/R3hcc1l+ (more )
Structure Level Pattern Image Note
TS20: embryo Present JAX_1470232

Specimen JAX_1470233: embryonic day 12.5; R3hcc1ltm1b(KOMP)Wtsi/R3hcc1l+ (more )
Structure Level Pattern Image Note
TS20: embryo Present JAX_1470233

Specimen JAX_1006207: embryonic day 12.5; R3hcc1ltm1b(KOMP)Wtsi/R3hcc1l+ (more )
Structure Level Pattern Image Note
TS20: embryo Present JAX_1006207

Specimen JAX_1006209: embryonic day 12.5; R3hcc1ltm1b(KOMP)Wtsi/R3hcc1l+ (more )
Structure Level Pattern Image Note
TS20: embryo Present JAX_1006209

Specimen JAX_1006211: embryonic day 12.5; R3hcc1ltm1b(KOMP)Wtsi/R3hcc1l+ (more )
Structure Level Pattern Image Note
TS20: embryo Present JAX_1006211

Specimen JAX_1006213: embryonic day 12.5; R3hcc1ltm1b(KOMP)Wtsi/R3hcc1l+ (more )
Structure Level Pattern Image Note
TS20: embryo Present JAX_1006213

Specimen JAX_1006215: embryonic day 12.5; R3hcc1ltm1b(KOMP)Wtsi/R3hcc1l+ (more )
Structure Level Pattern Image Note
TS20: embryo Present JAX_1006215

Specimen JAX_1006217: embryonic day 12.5; R3hcc1ltm1b(KOMP)Wtsi/R3hcc1l+ (more )
Structure Level Pattern Image Note
TS20: embryo Present JAX_1006217

Specimen JAX_1006219: embryonic day 12.5; R3hcc1ltm1b(KOMP)Wtsi/R3hcc1l+ (more )
Structure Level Pattern Image Note
TS20: embryo Present JAX_1006219

Specimen JAX_1006221: embryonic day 12.5; R3hcc1ltm1b(KOMP)Wtsi/R3hcc1l+ (more )
Structure Level Pattern Image Note
TS20: embryo Present JAX_1006221

Specimen JAX_1294669: postnatal adult; R3hcc1ltm1b(KOMP)Wtsi/R3hcc1l+ (more )
Structure Level Pattern Image Note
TS28: esophagus Present JAX_1294669

Specimen JAX_1294671: postnatal adult; R3hcc1ltm1b(KOMP)Wtsi/R3hcc1l+ (more )
Structure Level Pattern Image Note
TS28: uterus Present JAX_1294671

Specimen JAX_1294623: postnatal adult; R3hcc1ltm1b(KOMP)Wtsi/R3hcc1l+ (more )
Structure Level Pattern Image Note
TS28: vascular system Present JAX_1294623

Specimen JAX_1294625: postnatal adult; R3hcc1ltm1b(KOMP)Wtsi/R3hcc1l+ (more )
Structure Level Pattern Image Note
TS28: epididymis Present JAX_1294625

Specimen JAX_1294627: postnatal adult; R3hcc1ltm1b(KOMP)Wtsi/R3hcc1l+ (more )
Structure Level Pattern Image Note
TS28: submandibular gland Present JAX_1294627

Specimen JAX_1294629: postnatal adult; R3hcc1ltm1b(KOMP)Wtsi/R3hcc1l+ (more )
Structure Level Pattern Image Note
TS28: bladder Present JAX_1294629

Specimen JAX_1294631: postnatal adult; R3hcc1ltm1b(KOMP)Wtsi/R3hcc1l+ (more )
Structure Level Pattern Image Note
TS28: cerebellum Present JAX_1294631

Specimen JAX_1294633: postnatal adult; R3hcc1ltm1b(KOMP)Wtsi/R3hcc1l+ (more )
Structure Level Pattern Image Note
TS28: cartilage Present JAX_1294633

Specimen JAX_1294635: postnatal adult; R3hcc1ltm1b(KOMP)Wtsi/R3hcc1l+ (more )
Structure Level Pattern Image Note
TS28: aorta Present JAX_1294635

Specimen JAX_1294637: postnatal adult; R3hcc1ltm1b(KOMP)Wtsi/R3hcc1l+ (more )
Structure Level Pattern Image Note
TS28: lung Present JAX_1294637

Specimen JAX_1294639: postnatal adult; R3hcc1ltm1b(KOMP)Wtsi/R3hcc1l+ (more )
Structure Level Pattern Image Note
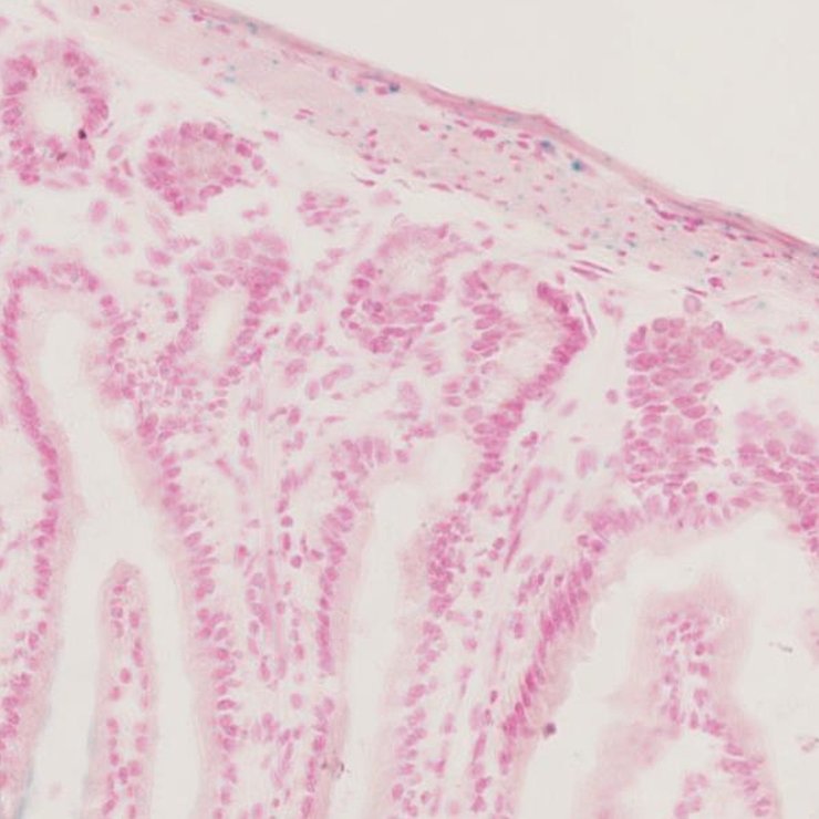
TS28: small intestine Present JAX_1294639

Specimen JAX_1294641: postnatal adult; R3hcc1ltm1b(KOMP)Wtsi/R3hcc1l+ (more )
Structure Level Pattern Image Note
TS28: skeletal muscle tissue Present JAX_1294641

Specimen JAX_1294645: postnatal adult; R3hcc1ltm1b(KOMP)Wtsi/R3hcc1l+ (more )
Structure Level Pattern Image Note
TS28: spinal cord Present JAX_1294645

Specimen JAX_1294647: postnatal adult; R3hcc1ltm1b(KOMP)Wtsi/R3hcc1l+ (more )
Structure Level Pattern Image Note
TS28: large intestine Present JAX_1294647

Specimen JAX_1294649: postnatal adult; R3hcc1ltm1b(KOMP)Wtsi/R3hcc1l+ (more )
Structure Level Pattern Image Note
TS28: trachea Present JAX_1294649

Specimen JAX_1294651: postnatal adult; R3hcc1ltm1b(KOMP)Wtsi/R3hcc1l+ (more )
Structure Level Pattern Image Note
TS28: thymus Present JAX_1294651

Specimen JAX_1294653: postnatal adult; R3hcc1ltm1b(KOMP)Wtsi/R3hcc1l+ (more )
Structure Level Pattern Image Note
TS28: testis Present JAX_1294653

Specimen JAX_1294655: postnatal adult; R3hcc1ltm1b(KOMP)Wtsi/R3hcc1l+ (more )
Structure Level Pattern Image Note
TS28: stomach Present JAX_1294655

Specimen JAX_1294657: postnatal adult; R3hcc1ltm1b(KOMP)Wtsi/R3hcc1l+ (more )
Structure Level Pattern Image Note
TS28: skin Present JAX_1294657

Specimen JAX_1294659: postnatal adult; R3hcc1ltm1b(KOMP)Wtsi/R3hcc1l+ (more )
Structure Level Pattern Image Note
TS28: metanephros Present JAX_1294659 kidney

Specimen JAX_1294661: postnatal adult; R3hcc1ltm1b(KOMP)Wtsi/R3hcc1l+ (more )
Structure Level Pattern Image Note
TS28: heart Present JAX_1294661

Specimen JAX_1294663: postnatal adult; R3hcc1ltm1b(KOMP)Wtsi/R3hcc1l+ (more )
Structure Level Pattern Image Note
TS28: eye Present JAX_1294663

Specimen JAX_1294665: postnatal adult; R3hcc1ltm1b(KOMP)Wtsi/R3hcc1l+ (more )
Structure Level Pattern Image Note
TS28: brain Present JAX_1294665

Specimen JAX_1294667: postnatal adult; R3hcc1ltm1b(KOMP)Wtsi/R3hcc1l+ (more )
Structure Level Pattern Image Note
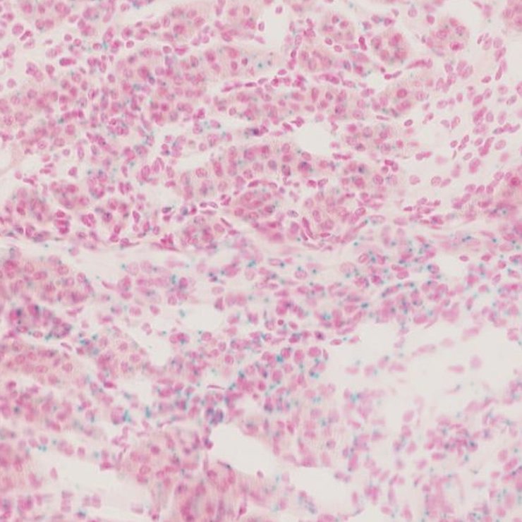
TS28: adrenal gland Present JAX_1294667


Contributing Projects:
Mouse Genome Database (MGD), Gene Expression Database (GXD), Mouse Models of Human Cancer database (MMHCdb) (formerly Mouse Tumor Biology (MTB)), Gene Ontology (GO)
Citing These Resources
Funding Information
Warranty Disclaimer, Privacy Notice, Licensing, & Copyright
Send questions and comments to User Support.
last database update
03/24/2026
MGI 6.24
The Jackson Laboratory