About   Help   FAQ
Gene Expression Data
Assay Details
Assay
Reference: J:228563 Koscielny G, et al., The International Mouse Phenotyping Consortium Web Portal, a unified point of access for knockout mice and related phenotyping data. Nucleic Acids Res. 2014 Jan;42(Database issue):D802-9
Assay type: In situ reporter (knock in)
MGI Accession ID: MGI:6691230
Gene symbol: Med1
Gene name: mediator complex subunit 1
Reporter: lacZ
Direct Detection
Results
Specimen UC Davis_1888783: postnatal adult; Med1tm3b(EUCOMM)Wtsi/Med1+ (more )
Structure Level Pattern Image Note
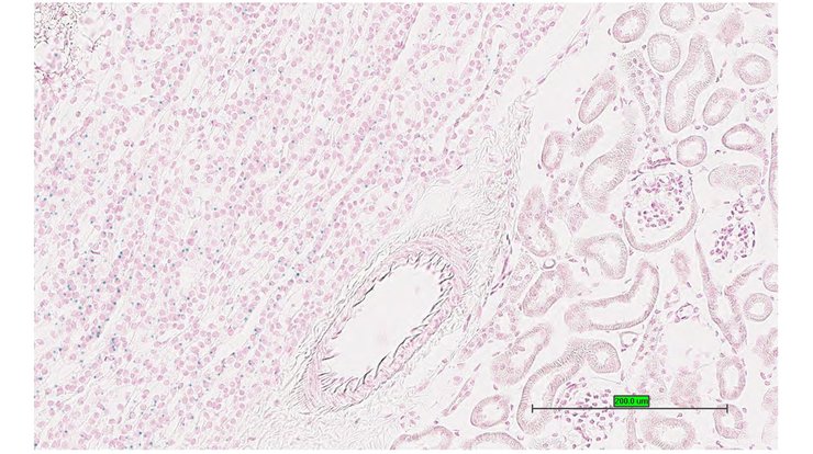
TS28: metanephros Present UC Davis_1888783 kidney

Specimen UC Davis_1888787: postnatal adult; Med1tm3b(EUCOMM)Wtsi/Med1+ (more )
Structure Level Pattern Image Note
TS28: metanephros Present UC Davis_1888787 kidney

Specimen UC Davis_1888788: postnatal adult; Med1tm3b(EUCOMM)Wtsi/Med1+ (more )
Structure Level Pattern Image Note
TS28: metanephros Present UC Davis_1888788 kidney

Specimen UC Davis_1888789: postnatal adult; Med1tm3b(EUCOMM)Wtsi/Med1+ (more )
Structure Level Pattern Image Note
TS28: testis Present UC Davis_1888789

Specimen UC Davis_1888790: postnatal adult; Med1tm3b(EUCOMM)Wtsi/Med1+ (more )
Structure Level Pattern Image Note
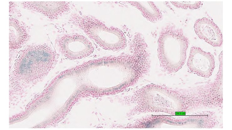
TS28: epididymis Present UC Davis_1888790

Specimen UC Davis_1888791: postnatal adult; Med1tm3b(EUCOMM)Wtsi/Med1+ (more )
Structure Level Pattern Image Note
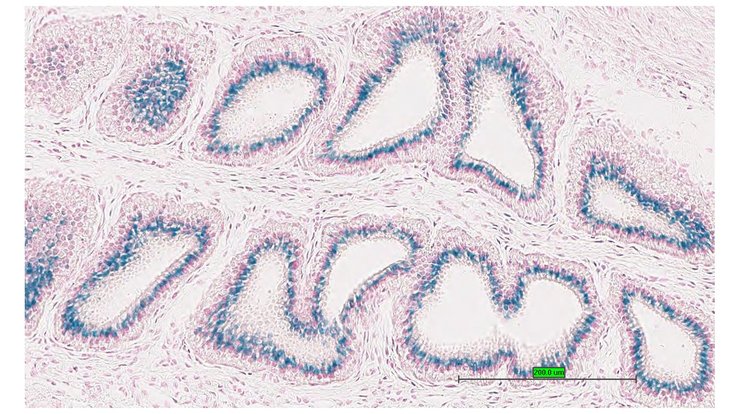
TS28: ductus deferens Present UC Davis_1888791 vas deferens


Contributing Projects:
Mouse Genome Database (MGD), Gene Expression Database (GXD), Mouse Models of Human Cancer database (MMHCdb) (formerly Mouse Tumor Biology (MTB)), Gene Ontology (GO)
Citing These Resources
Funding Information
Warranty Disclaimer, Privacy Notice, Licensing, & Copyright
Send questions and comments to User Support.
last database update
12/30/2025
MGI 6.24
The Jackson Laboratory