About   Help   FAQ
Gene Expression Data
Assay Details
Assay
Reference: J:228563 Koscielny G, et al., The International Mouse Phenotyping Consortium Web Portal, a unified point of access for knockout mice and related phenotyping data. Nucleic Acids Res. 2014 Jan;42(Database issue):D802-9
Assay type: In situ reporter (knock in)
MGI Accession ID: MGI:6691224
Gene symbol: Rhpn1
Gene name: rhophilin, Rho GTPase binding protein 1
Reporter: lacZ
Direct Detection
Results
Specimen UC Davis_1872355: postnatal adult; Rhpn1tm1b(KOMP)Wtsi/Rhpn1+ (more )
Structure Level Pattern Image Note
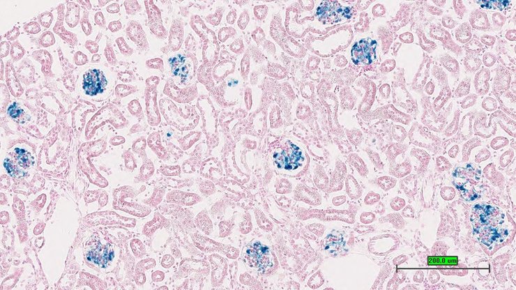
TS28: metanephros Present UC Davis_1872355 kidney

Specimen UC Davis_1872356: postnatal adult; Rhpn1tm1b(KOMP)Wtsi/Rhpn1+ (more )
Structure Level Pattern Image Note
TS28: metanephros Present UC Davis_1872356 kidney

Specimen UC Davis_1872357: postnatal adult; Rhpn1tm1b(KOMP)Wtsi/Rhpn1+ (more )
Structure Level Pattern Image Note
TS28: metanephros Present UC Davis_1872357 kidney

Specimen UC Davis_1872358: postnatal adult; Rhpn1tm1b(KOMP)Wtsi/Rhpn1+ (more )
Structure Level Pattern Image Note
TS28: metanephros Present UC Davis_1872358 kidney

Specimen UC Davis_1872359: postnatal adult; Rhpn1tm1b(KOMP)Wtsi/Rhpn1+ (more )
Structure Level Pattern Image Note
TS28: spinal cord Present UC Davis_1872359

Specimen UC Davis_1872360: postnatal adult; Rhpn1tm1b(KOMP)Wtsi/Rhpn1+ (more )
Structure Level Pattern Image Note
TS28: spinal cord Present UC Davis_1872360

Specimen UC Davis_1872363: postnatal adult; Rhpn1tm1b(KOMP)Wtsi/Rhpn1+ (more )
Structure Level Pattern Image Note
TS28: midbrain Present UC Davis_1872363

Specimen UC Davis_1872364: postnatal adult; Rhpn1tm1b(KOMP)Wtsi/Rhpn1+ (more )
Structure Level Pattern Image Note
TS28: oviduct Present UC Davis_1872364

Specimen UC Davis_1872365: postnatal adult; Rhpn1tm1b(KOMP)Wtsi/Rhpn1+ (more )
Structure Level Pattern Image Note
TS28: oviduct Present UC Davis_1872365

Specimen UC Davis_1872335: postnatal adult; Rhpn1tm1b(KOMP)Wtsi/Rhpn1+ (more )
Structure Level Pattern Image Note
TS28: trachea Present UC Davis_1872335

Specimen UC Davis_1872337: postnatal adult; Rhpn1tm1b(KOMP)Wtsi/Rhpn1+ (more )
Structure Level Pattern Image Note
TS28: stomach Present UC Davis_1872337

Specimen UC Davis_1872338: postnatal adult; Rhpn1tm1b(KOMP)Wtsi/Rhpn1+ (more )
Structure Level Pattern Image Note
TS28: ileum Present UC Davis_1872338

Specimen UC Davis_1872339: postnatal adult; Rhpn1tm1b(KOMP)Wtsi/Rhpn1+ (more )
Structure Level Pattern Image Note
TS28: metanephros Present UC Davis_1872339 kidney

Specimen UC Davis_1872340: postnatal adult; Rhpn1tm1b(KOMP)Wtsi/Rhpn1+ (more )
Structure Level Pattern Image Note
TS28: metanephros Present UC Davis_1872340 kidney

Specimen UC Davis_1872341: postnatal adult; Rhpn1tm1b(KOMP)Wtsi/Rhpn1+ (more )
Structure Level Pattern Image Note
TS28: metanephros Present UC Davis_1872341 kidney

Specimen UC Davis_1872342: postnatal adult; Rhpn1tm1b(KOMP)Wtsi/Rhpn1+ (more )
Structure Level Pattern Image Note
TS28: metanephros Present UC Davis_1872342 kidney

Specimen UC Davis_1872343: postnatal adult; Rhpn1tm1b(KOMP)Wtsi/Rhpn1+ (more )
Structure Level Pattern Image Note
TS28: quadriceps femoris muscle Present UC Davis_1872343

Specimen UC Davis_1872344: postnatal adult; Rhpn1tm1b(KOMP)Wtsi/Rhpn1+ (more )
Structure Level Pattern Image Note
TS28: spinal cord Present UC Davis_1872344

Specimen UC Davis_1872347: postnatal adult; Rhpn1tm1b(KOMP)Wtsi/Rhpn1+ (more )
Structure Level Pattern Image Note
TS28: midbrain Present UC Davis_1872347

Specimen UC Davis_1872348: postnatal adult; Rhpn1tm1b(KOMP)Wtsi/Rhpn1+ (more )
Structure Level Pattern Image Note
TS28: trigeminal nerve Present UC Davis_1872348

Specimen UC Davis_1872349: postnatal adult; Rhpn1tm1b(KOMP)Wtsi/Rhpn1+ (more )
Structure Level Pattern Image Note
TS28: testis Present UC Davis_1872349

Specimen UC Davis_1872350: postnatal adult; Rhpn1tm1b(KOMP)Wtsi/Rhpn1+ (more )
Structure Level Pattern Image Note
TS28: testis Present UC Davis_1872350

Specimen UC Davis_1872351: postnatal adult; Rhpn1tm1b(KOMP)Wtsi/Rhpn1+ (more )
Structure Level Pattern Image Note
TS28: epididymis Present UC Davis_1872351

Specimen UC Davis_1872352: postnatal adult; Rhpn1tm1b(KOMP)Wtsi/Rhpn1+ (more )
Structure Level Pattern Image Note
TS28: epididymis Present UC Davis_1872352

Specimen UC Davis_1872353: postnatal adult; Rhpn1tm1b(KOMP)Wtsi/Rhpn1+ (more )
Structure Level Pattern Image Note
TS28: prostate gland Present UC Davis_1872353

Specimen UC Davis_1872354: postnatal adult; Rhpn1tm1b(KOMP)Wtsi/Rhpn1+ (more )
Structure Level Pattern Image Note
TS28: ductus deferens Present UC Davis_1872354 vas deferens


Contributing Projects:
Mouse Genome Database (MGD), Gene Expression Database (GXD), Mouse Models of Human Cancer database (MMHCdb) (formerly Mouse Tumor Biology (MTB)), Gene Ontology (GO)
Citing These Resources
Funding Information
Warranty Disclaimer, Privacy Notice, Licensing, & Copyright
Send questions and comments to User Support.
last database update
01/28/2026
MGI 6.24
The Jackson Laboratory