About   Help   FAQ
Gene Expression Data
Assay Details
Assay
Reference: J:228563 Koscielny G, et al., The International Mouse Phenotyping Consortium Web Portal, a unified point of access for knockout mice and related phenotyping data. Nucleic Acids Res. 2014 Jan;42(Database issue):D802-9
Assay type: In situ reporter (knock in)
MGI Accession ID: MGI:6691220
Gene symbol: Sgta
Gene name: small glutamine-rich tetratricopeptide repeat (TPR)-containing, alpha
Reporter: lacZ
Direct Detection
Results
Specimen JAX_1801350: postnatal adult; Sgtatm1b(KOMP)Mbp/Sgta+ (more )
Structure Level Pattern Image Note
TS28: midbrain Present JAX_1801350

Specimen JAX_1801351: postnatal adult; Sgtatm1b(KOMP)Mbp/Sgta+ (more )
Structure Level Pattern Image Note
TS28: vascular system Present JAX_1801351

Specimen JAX_1801352: postnatal adult; Sgtatm1b(KOMP)Mbp/Sgta+ (more )
Structure Level Pattern Image Note
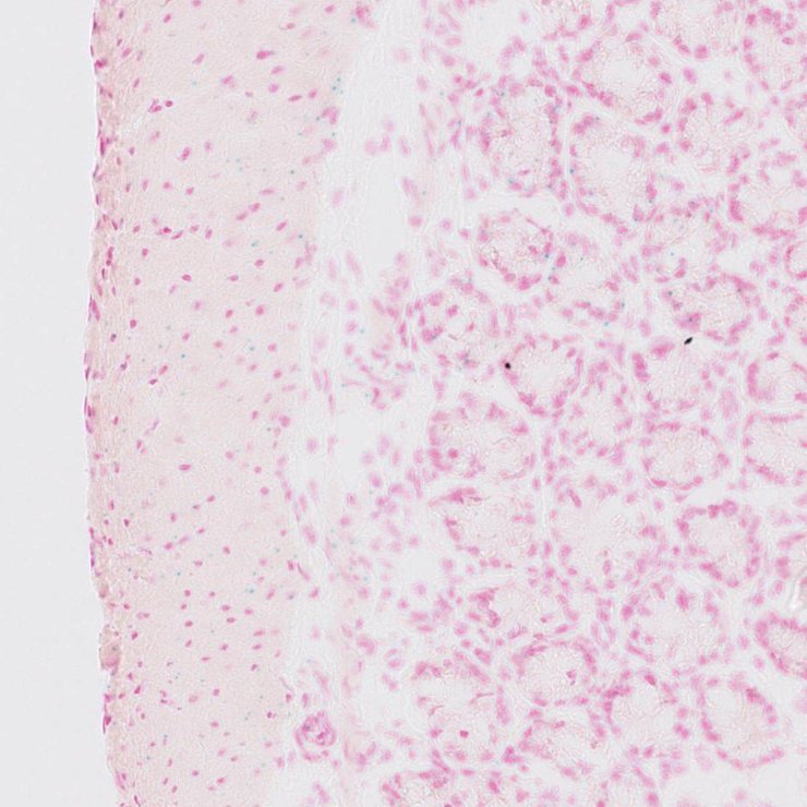
TS28: brown fat Present JAX_1801352

Specimen JAX_1801353: postnatal adult; Sgtatm1b(KOMP)Mbp/Sgta+ (more )
Structure Level Pattern Image Note
TS28: hypothalamus Present JAX_1801353

Specimen JAX_1801354: postnatal adult; Sgtatm1b(KOMP)Mbp/Sgta+ (more )
Structure Level Pattern Image Note
TS28: hippocampus Present JAX_1801354

Specimen JAX_1801355: postnatal adult; Sgtatm1b(KOMP)Mbp/Sgta+ (more )
Structure Level Pattern Image Note
TS28: cerebellum Present JAX_1801355

Specimen JAX_1801356: postnatal adult; Sgtatm1b(KOMP)Mbp/Sgta+ (more )
Structure Level Pattern Image Note
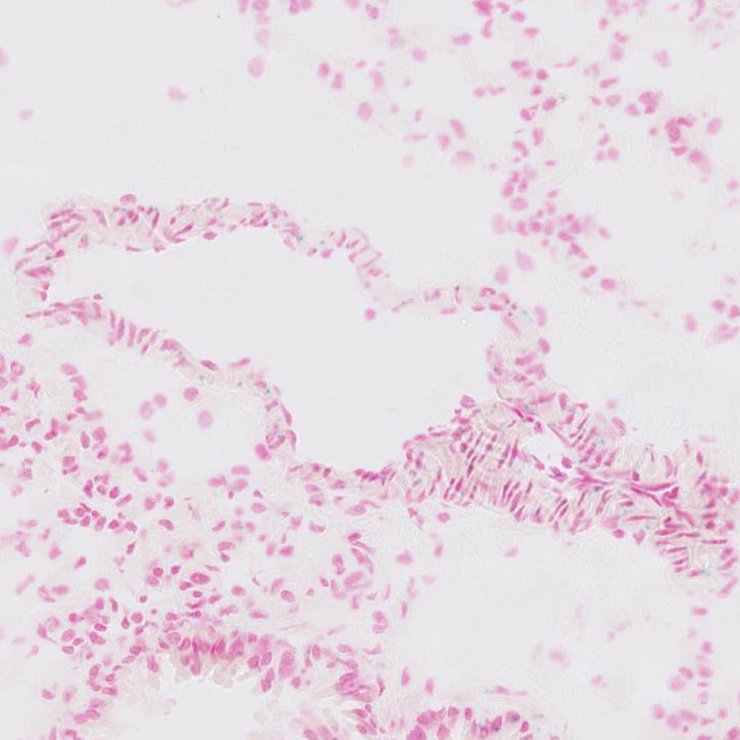
TS28: lung Present JAX_1801356

Specimen JAX_1801357: postnatal adult; Sgtatm1b(KOMP)Mbp/Sgta+ (more )
Structure Level Pattern Image Note
TS28: small intestine Present JAX_1801357

Specimen JAX_1801358: postnatal adult; Sgtatm1b(KOMP)Mbp/Sgta+ (more )
Structure Level Pattern Image Note
TS28: pituitary gland Present JAX_1801358

Specimen JAX_1801359: postnatal adult; Sgtatm1b(KOMP)Mbp/Sgta+ (more )
Structure Level Pattern Image Note
TS28: spinal cord Present JAX_1801359

Specimen JAX_1801360: postnatal adult; Sgtatm1b(KOMP)Mbp/Sgta+ (more )
Structure Level Pattern Image Note
TS28: esophagus Present JAX_1801360

Specimen JAX_1801361: postnatal adult; Sgtatm1b(KOMP)Mbp/Sgta+ (more )
Structure Level Pattern Image Note
TS28: large intestine Present JAX_1801361

Specimen JAX_1801362: postnatal adult; Sgtatm1b(KOMP)Mbp/Sgta+ (more )
Structure Level Pattern Image Note
TS28: uterus Present JAX_1801362

Specimen JAX_1801363: postnatal adult; Sgtatm1b(KOMP)Mbp/Sgta+ (more )
Structure Level Pattern Image Note
TS28: stomach Present JAX_1801363

Specimen JAX_1801365: postnatal adult; Sgtatm1b(KOMP)Mbp/Sgta+ (more )
Structure Level Pattern Image Note
TS28: ovary Present JAX_1801365

Specimen JAX_1801335: postnatal adult; Sgtatm1b(KOMP)Mbp/Sgta+ (more )
Structure Level Pattern Image Note
TS28: epididymis Present JAX_1801335

Specimen JAX_1801336: postnatal adult; Sgtatm1b(KOMP)Mbp/Sgta+ (more )
Structure Level Pattern Image Note
TS28: submandibular gland Present JAX_1801336

Specimen JAX_1801337: postnatal adult; Sgtatm1b(KOMP)Mbp/Sgta+ (more )
Structure Level Pattern Image Note
TS28: bladder Present JAX_1801337

Specimen JAX_1801338: postnatal adult; Sgtatm1b(KOMP)Mbp/Sgta+ (more )
Structure Level Pattern Image Note
TS28: olfactory lobe Present JAX_1801338

Specimen JAX_1801339: postnatal adult; Sgtatm1b(KOMP)Mbp/Sgta+ (more )
Structure Level Pattern Image Note
TS28: cartilage Present JAX_1801339

Specimen JAX_1801340: postnatal adult; Sgtatm1b(KOMP)Mbp/Sgta+ (more )
Structure Level Pattern Image Note
TS28: brainstem Present JAX_1801340

Specimen JAX_1801341: postnatal adult; Sgtatm1b(KOMP)Mbp/Sgta+ (more )
Structure Level Pattern Image Note
TS28: aorta Present JAX_1801341

Specimen JAX_1801342: postnatal adult; Sgtatm1b(KOMP)Mbp/Sgta+ (more )
Structure Level Pattern Image Note
TS28: trachea Present JAX_1801342

Specimen JAX_1801343: postnatal adult; Sgtatm1b(KOMP)Mbp/Sgta+ (more )
Structure Level Pattern Image Note
TS28: testis Present JAX_1801343

Specimen JAX_1801344: postnatal adult; Sgtatm1b(KOMP)Mbp/Sgta+ (more )
Structure Level Pattern Image Note
TS28: skin Present JAX_1801344

Specimen JAX_1801345: postnatal adult; Sgtatm1b(KOMP)Mbp/Sgta+ (more )
Structure Level Pattern Image Note
TS28: metanephros Present JAX_1801345 kidney

Specimen JAX_1801346: postnatal adult; Sgtatm1b(KOMP)Mbp/Sgta+ (more )
Structure Level Pattern Image Note
TS28: heart Present JAX_1801346

Specimen JAX_1801347: postnatal adult; Sgtatm1b(KOMP)Mbp/Sgta+ (more )
Structure Level Pattern Image Note
TS28: eye Present JAX_1801347

Specimen JAX_1801348: postnatal adult; Sgtatm1b(KOMP)Mbp/Sgta+ (more )
Structure Level Pattern Image Note
TS28: brain Present JAX_1801348

Specimen JAX_1801349: postnatal adult; Sgtatm1b(KOMP)Mbp/Sgta+ (more )
Structure Level Pattern Image Note
TS28: adrenal gland Present JAX_1801349


Contributing Projects:
Mouse Genome Database (MGD), Gene Expression Database (GXD), Mouse Models of Human Cancer database (MMHCdb) (formerly Mouse Tumor Biology (MTB)), Gene Ontology (GO)
Citing These Resources
Funding Information
Warranty Disclaimer, Privacy Notice, Licensing, & Copyright
Send questions and comments to User Support.
last database update
01/20/2026
MGI 6.24
The Jackson Laboratory