About   Help   FAQ
Gene Expression Data
Assay Details
Assay
Reference: J:228563 Koscielny G, et al., The International Mouse Phenotyping Consortium Web Portal, a unified point of access for knockout mice and related phenotyping data. Nucleic Acids Res. 2014 Jan;42(Database issue):D802-9
Assay type: In situ reporter (knock in)
MGI Accession ID: MGI:6691210
Gene symbol: C9
Gene name: complement component 9
Reporter: lacZ
Direct Detection
Results
Specimen JAX_1800218: postnatal adult; C9tm1.1(KOMP)Vlcg/C9+ (more )
Structure Level Pattern Image Note
TS28: submandibular gland Present JAX_1800218

Specimen JAX_1800219: postnatal adult; C9tm1.1(KOMP)Vlcg/C9+ (more )
Structure Level Pattern Image Note
TS28: thyroid gland Present JAX_1800219

Specimen JAX_1800220: postnatal adult; C9tm1.1(KOMP)Vlcg/C9+ (more )
Structure Level Pattern Image Note
TS28: uterus Present JAX_1800220

Specimen JAX_1800221: postnatal adult; C9tm1.1(KOMP)Vlcg/C9+ (more )
Structure Level Pattern Image Note
TS28: trachea Present JAX_1800221

Specimen JAX_1800222: postnatal adult; C9tm1.1(KOMP)Vlcg/C9+ (more )
Structure Level Pattern Image Note
TS28: oviduct Present JAX_1800222

Specimen JAX_1800223: postnatal adult; C9tm1.1(KOMP)Vlcg/C9+ (more )
Structure Level Pattern Image Note
TS28: ovary Present JAX_1800223

Specimen JAX_1800224: postnatal adult; C9tm1.1(KOMP)Vlcg/C9+ (more )
Structure Level Pattern Image Note
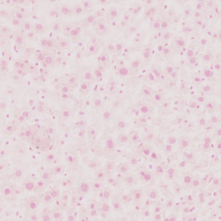
TS28: liver Absent JAX_1800224

Specimen JAX_1800211: postnatal adult; C9tm1.1(KOMP)Vlcg/C9+ (more )
Structure Level Pattern Image Note
TS28: brainstem Present JAX_1800211

Specimen JAX_1800212: postnatal adult; C9tm1.1(KOMP)Vlcg/C9+ (more )
Structure Level Pattern Image Note
TS28: trachea Present JAX_1800212

Specimen JAX_1800213: postnatal adult; C9tm1.1(KOMP)Vlcg/C9+ (more )
Structure Level Pattern Image Note
TS28: testis Present JAX_1800213

Specimen JAX_1800214: postnatal adult; C9tm1.1(KOMP)Vlcg/C9+ (more )
Structure Level Pattern Image Note
TS28: liver Present JAX_1800214

Specimen JAX_1800215: postnatal adult; C9tm1.1(KOMP)Vlcg/C9+ (more )
Structure Level Pattern Image Note
TS28: metanephros Present JAX_1800215 kidney

Specimen JAX_1800216: postnatal adult; C9tm1.1(KOMP)Vlcg/C9+ (more )
Structure Level Pattern Image Note
TS28: brain Present JAX_1800216

Specimen JAX_1800217: postnatal adult; C9tm1.1(KOMP)Vlcg/C9+ (more )
Structure Level Pattern Image Note
TS28: adrenal gland Present JAX_1800217


Contributing Projects:
Mouse Genome Database (MGD), Gene Expression Database (GXD), Mouse Models of Human Cancer database (MMHCdb) (formerly Mouse Tumor Biology (MTB)), Gene Ontology (GO)
Citing These Resources
Funding Information
Warranty Disclaimer, Privacy Notice, Licensing, & Copyright
Send questions and comments to User Support.
last database update
03/24/2026
MGI 6.24
The Jackson Laboratory