About   Help   FAQ
Gene Expression Data
Assay Details
Assay
Reference: J:228563 Koscielny G, et al., The International Mouse Phenotyping Consortium Web Portal, a unified point of access for knockout mice and related phenotyping data. Nucleic Acids Res. 2014 Jan;42(Database issue):D802-9
Assay type: In situ reporter (knock in)
MGI Accession ID: MGI:6691204
Gene symbol: Ankrd1
Gene name: ankyrin repeat domain 1
Reporter: lacZ
Direct Detection
Results
Specimen UC Davis_1875627: postnatal adult; Ankrd1tm1.1(KOMP)Vlcg/Ankrd1+ (more )
Structure Level Pattern Image Note
TS28: lung Present UC Davis_1875627

Specimen UC Davis_1875631: postnatal adult; Ankrd1tm1.1(KOMP)Vlcg/Ankrd1+ (more )
Structure Level Pattern Image Note
TS28: liver Present UC Davis_1875631

Specimen UC Davis_1875632: postnatal adult; Ankrd1tm1.1(KOMP)Vlcg/Ankrd1+ (more )
Structure Level Pattern Image Note
TS28: liver Present UC Davis_1875632

Specimen UC Davis_1875633: postnatal adult; Ankrd1tm1.1(KOMP)Vlcg/Ankrd1+ (more )
Structure Level Pattern Image Note
TS28: liver Present UC Davis_1875633

Specimen UC Davis_1875634: postnatal adult; Ankrd1tm1.1(KOMP)Vlcg/Ankrd1+ (more )
Structure Level Pattern Image Note
TS28: liver Present UC Davis_1875634

Specimen UC Davis_1875635: postnatal adult; Ankrd1tm1.1(KOMP)Vlcg/Ankrd1+ (more )
Structure Level Pattern Image Note
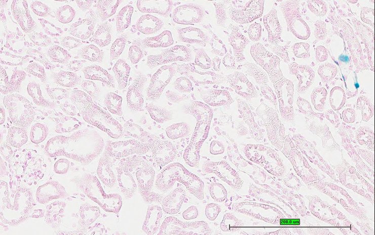
TS28: metanephros Present UC Davis_1875635 kidney

Specimen UC Davis_1875636: postnatal adult; Ankrd1tm1.1(KOMP)Vlcg/Ankrd1+ (more )
Structure Level Pattern Image Note
TS28: metanephros Present UC Davis_1875636 kidney

Specimen UC Davis_1875637: postnatal adult; Ankrd1tm1.1(KOMP)Vlcg/Ankrd1+ (more )
Structure Level Pattern Image Note
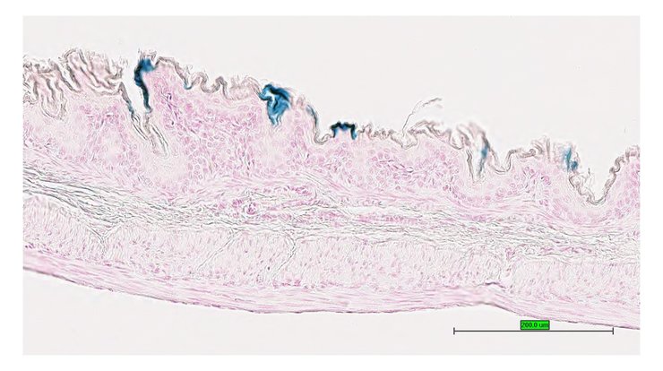
TS28: tongue Present UC Davis_1875637

Specimen UC Davis_1875638: postnatal adult; Ankrd1tm1.1(KOMP)Vlcg/Ankrd1+ (more )
Structure Level Pattern Image Note
TS28: tongue Present UC Davis_1875638

Specimen UC Davis_1875603: postnatal adult; Ankrd1tm1.1(KOMP)Vlcg/Ankrd1+ (more )
Structure Level Pattern Image Note
TS28: submandibular gland Present UC Davis_1875603

Specimen UC Davis_1875604: postnatal adult; Ankrd1tm1.1(KOMP)Vlcg/Ankrd1+ (more )
Structure Level Pattern Image Note
TS28: submandibular gland Present UC Davis_1875604

Specimen UC Davis_1875605: postnatal adult; Ankrd1tm1.1(KOMP)Vlcg/Ankrd1+ (more )
Structure Level Pattern Image Note
TS28: submandibular gland Present UC Davis_1875605

Specimen UC Davis_1875607: postnatal adult; Ankrd1tm1.1(KOMP)Vlcg/Ankrd1+ (more )
Structure Level Pattern Image Note
TS28: lung Present UC Davis_1875607

Specimen UC Davis_1875608: postnatal adult; Ankrd1tm1.1(KOMP)Vlcg/Ankrd1+ (more )
Structure Level Pattern Image Note
TS28: lung Present UC Davis_1875608

Specimen UC Davis_1875613: postnatal adult; Ankrd1tm1.1(KOMP)Vlcg/Ankrd1+ (more )
Structure Level Pattern Image Note
TS28: stomach Present UC Davis_1875613

Specimen UC Davis_1875614: postnatal adult; Ankrd1tm1.1(KOMP)Vlcg/Ankrd1+ (more )
Structure Level Pattern Image Note
TS28: stomach Present UC Davis_1875614

Specimen UC Davis_1875615: postnatal adult; Ankrd1tm1.1(KOMP)Vlcg/Ankrd1+ (more )
Structure Level Pattern Image Note
TS28: stomach Present UC Davis_1875615

Specimen UC Davis_1875616: postnatal adult; Ankrd1tm1.1(KOMP)Vlcg/Ankrd1+ (more )
Structure Level Pattern Image Note
TS28: ileum Present UC Davis_1875616

Specimen UC Davis_1875617: postnatal adult; Ankrd1tm1.1(KOMP)Vlcg/Ankrd1+ (more )
Structure Level Pattern Image Note
TS28: ileum Present UC Davis_1875617

Specimen UC Davis_1875618: postnatal adult; Ankrd1tm1.1(KOMP)Vlcg/Ankrd1+ (more )
Structure Level Pattern Image Note
TS28: metanephros Present UC Davis_1875618 kidney

Specimen UC Davis_1875619: postnatal adult; Ankrd1tm1.1(KOMP)Vlcg/Ankrd1+ (more )
Structure Level Pattern Image Note
TS28: metanephros Present UC Davis_1875619 kidney

Specimen UC Davis_1875620: postnatal adult; Ankrd1tm1.1(KOMP)Vlcg/Ankrd1+ (more )
Structure Level Pattern Image Note
TS28: tongue Present UC Davis_1875620

Specimen UC Davis_1875621: postnatal adult; Ankrd1tm1.1(KOMP)Vlcg/Ankrd1+ (more )
Structure Level Pattern Image Note
TS28: tongue Present UC Davis_1875621

Specimen UC Davis_1875622: postnatal adult; Ankrd1tm1.1(KOMP)Vlcg/Ankrd1+ (more )
Structure Level Pattern Image Note
TS28: epididymis Present UC Davis_1875622

Specimen UC Davis_1875623: postnatal adult; Ankrd1tm1.1(KOMP)Vlcg/Ankrd1+ (more )
Structure Level Pattern Image Note
TS28: ductus deferens Present UC Davis_1875623 vas deferens

Specimen UC Davis_1875624: postnatal adult; Ankrd1tm1.1(KOMP)Vlcg/Ankrd1+ (more )
Structure Level Pattern Image Note
TS28: ductus deferens Present UC Davis_1875624 vas deferens


Contributing Projects:
Mouse Genome Database (MGD), Gene Expression Database (GXD), Mouse Models of Human Cancer database (MMHCdb) (formerly Mouse Tumor Biology (MTB)), Gene Ontology (GO)
Citing These Resources
Funding Information
Warranty Disclaimer, Privacy Notice, Licensing, & Copyright
Send questions and comments to User Support.
last database update
01/20/2026
MGI 6.24
The Jackson Laboratory