About   Help   FAQ
Gene Expression Data
Assay Details
Assay
Reference: J:228563 Koscielny G, et al., The International Mouse Phenotyping Consortium Web Portal, a unified point of access for knockout mice and related phenotyping data. Nucleic Acids Res. 2014 Jan;42(Database issue):D802-9
Assay type: In situ reporter (knock in)
MGI Accession ID: MGI:6691180
Gene symbol: Sycp3
Gene name: synaptonemal complex protein 3
Reporter: lacZ
Direct Detection
Results
Specimen JAX_1800163: postnatal adult; Sycp3tm1.1(KOMP)Vlcg/Sycp3+ (more )
Structure Level Pattern Image Note
TS28: uterus Present JAX_1800163

Specimen JAX_1800164: postnatal adult; Sycp3tm1.1(KOMP)Vlcg/Sycp3+ (more )
Structure Level Pattern Image Note
TS28: ovary Present JAX_1800164

Specimen JAX_1800165: postnatal adult; Sycp3tm1.1(KOMP)Vlcg/Sycp3+ (more )
Structure Level Pattern Image Note
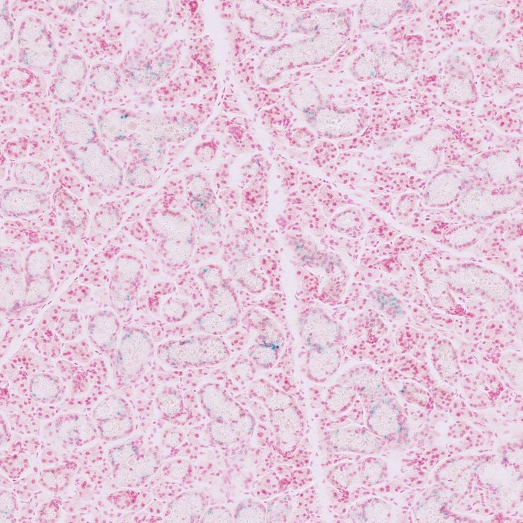
TS28: metanephros Present JAX_1800165 kidney

Specimen JAX_1800166: postnatal adult; Sycp3tm1.1(KOMP)Vlcg/Sycp3+ (more )
Structure Level Pattern Image Note
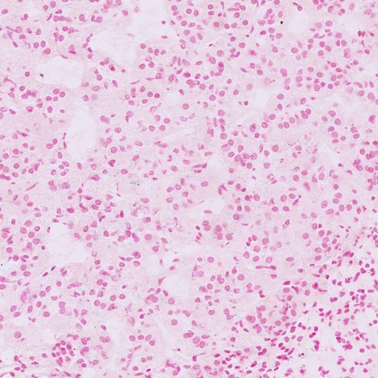
TS28: adrenal gland Present JAX_1800166

Specimen JAX_1800167: postnatal adult; Sycp3tm1.1(KOMP)Vlcg/Sycp3+ (more )
Structure Level Pattern Image Note
TS28: midbrain Present JAX_1800167

Specimen JAX_1800168: postnatal adult; Sycp3tm1.1(KOMP)Vlcg/Sycp3+ (more )
Structure Level Pattern Image Note
TS28: submandibular gland Present JAX_1800168

Specimen JAX_1800169: postnatal adult; Sycp3tm1.1(KOMP)Vlcg/Sycp3+ (more )
Structure Level Pattern Image Note
TS28: brainstem Present JAX_1800169

Specimen JAX_1800170: postnatal adult; Sycp3tm1.1(KOMP)Vlcg/Sycp3+ (more )
Structure Level Pattern Image Note
TS28: testis Present JAX_1800170

Specimen JAX_1800171: postnatal adult; Sycp3tm1.1(KOMP)Vlcg/Sycp3+ (more )
Structure Level Pattern Image Note
TS28: brain Present JAX_1800171


Contributing Projects:
Mouse Genome Database (MGD), Gene Expression Database (GXD), Mouse Models of Human Cancer database (MMHCdb) (formerly Mouse Tumor Biology (MTB)), Gene Ontology (GO)
Citing These Resources
Funding Information
Warranty Disclaimer, Privacy Notice, Licensing, & Copyright
Send questions and comments to User Support.
last database update
12/30/2025
MGI 6.24
The Jackson Laboratory