About   Help   FAQ
Gene Expression Data
Assay Details
Assay
Reference: J:228563 Koscielny G, et al., The International Mouse Phenotyping Consortium Web Portal, a unified point of access for knockout mice and related phenotyping data. Nucleic Acids Res. 2014 Jan;42(Database issue):D802-9
Assay type: In situ reporter (knock in)
MGI Accession ID: MGI:6691178
Gene symbol: Itih4
Gene name: inter alpha-trypsin inhibitor, heavy chain 4
Reporter: lacZ
Direct Detection
Results
Specimen UC Davis_1884435: postnatal adult; Itih4tm3b(KOMP)Wtsi/Itih4+ (more )
Structure Level Pattern Image Note
TS28: testis Present UC Davis_1884435

Specimen UC Davis_1884436: postnatal adult; Itih4tm3b(KOMP)Wtsi/Itih4+ (more )
Structure Level Pattern Image Note
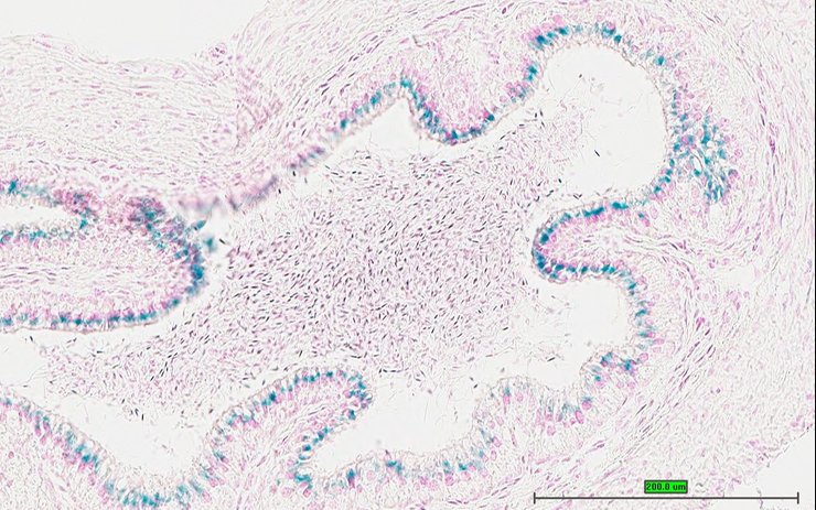
TS28: epididymis Present UC Davis_1884436

Specimen UC Davis_1884437: postnatal adult; Itih4tm3b(KOMP)Wtsi/Itih4+ (more )
Structure Level Pattern Image Note
TS28: ductus deferens Present UC Davis_1884437 vas deferens


Contributing Projects:
Mouse Genome Database (MGD), Gene Expression Database (GXD), Mouse Models of Human Cancer database (MMHCdb) (formerly Mouse Tumor Biology (MTB)), Gene Ontology (GO)
Citing These Resources
Funding Information
Warranty Disclaimer, Privacy Notice, Licensing, & Copyright
Send questions and comments to User Support.
last database update
01/28/2026
MGI 6.24
The Jackson Laboratory