About   Help   FAQ
Gene Expression Data
Assay Details
Assay
Reference: J:228563 Koscielny G, et al., The International Mouse Phenotyping Consortium Web Portal, a unified point of access for knockout mice and related phenotyping data. Nucleic Acids Res. 2014 Jan;42(Database issue):D802-9
Assay type: In situ reporter (knock in)
MGI Accession ID: MGI:6691161
Gene symbol: Fadd
Gene name: Fas associated via death domain
Reporter: lacZ
Direct Detection
Results
Specimen TCP_2459864: postnatal adult; Faddtm1e.1(KOMP)Wtsi/Fadd+ (more )
Structure Level Pattern Image Note
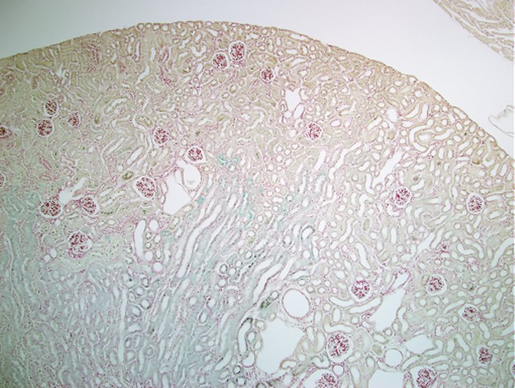
TS28: metanephros Present TCP_2459864 kidney

Specimen TCP_2459865: postnatal adult; Faddtm1e.1(KOMP)Wtsi/Fadd+ (more )
Structure Level Pattern Image Note
TS28: metanephros Present TCP_2459865 kidney

Specimen TCP_2459858: postnatal adult; Faddtm1e.1(KOMP)Wtsi/Fadd+ (more )
Structure Level Pattern Image Note
TS28: prostate gland Present TCP_2459858

Specimen TCP_2459859: postnatal adult; Faddtm1e.1(KOMP)Wtsi/Fadd+ (more )
Structure Level Pattern Image Note
TS28: prostate gland Present TCP_2459859

Specimen TCP_2459860: postnatal adult; Faddtm1e.1(KOMP)Wtsi/Fadd+ (more )
Structure Level Pattern Image Note
TS28: spleen Present TCP_2459860

Specimen TCP_2459861: postnatal adult; Faddtm1e.1(KOMP)Wtsi/Fadd+ (more )
Structure Level Pattern Image Note
TS28: spleen Present TCP_2459861

Specimen TCP_2459862: postnatal adult; Faddtm1e.1(KOMP)Wtsi/Fadd+ (more )
Structure Level Pattern Image Note
TS28: testis Present TCP_2459862

Specimen TCP_2459863: postnatal adult; Faddtm1e.1(KOMP)Wtsi/Fadd+ (more )
Structure Level Pattern Image Note
TS28: testis Present TCP_2459863


Contributing Projects:
Mouse Genome Database (MGD), Gene Expression Database (GXD), Mouse Models of Human Cancer database (MMHCdb) (formerly Mouse Tumor Biology (MTB)), Gene Ontology (GO)
Citing These Resources
Funding Information
Warranty Disclaimer, Privacy Notice, Licensing, & Copyright
Send questions and comments to User Support.
last database update
12/30/2025
MGI 6.24
The Jackson Laboratory