About   Help   FAQ
Gene Expression Data
Assay Details
Assay
Reference: J:228563 Koscielny G, et al., The International Mouse Phenotyping Consortium Web Portal, a unified point of access for knockout mice and related phenotyping data. Nucleic Acids Res. 2014 Jan;42(Database issue):D802-9
Assay type: In situ reporter (knock in)
MGI Accession ID: MGI:6691124
Gene symbol: Wnt10a
Gene name: wingless-type MMTV integration site family, member 10A
Reporter: lacZ
Direct Detection
Results
Specimen UC Davis_1856602: postnatal adult; Wnt10atm1.1(KOMP)Vlcg/Wnt10a+ (more )
Structure Level Pattern Image Note
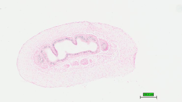
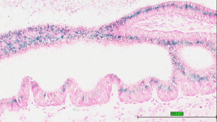
TS28: esophagus Present UC Davis_1856602

Specimen UC Davis_1856603: postnatal adult; Wnt10atm1.1(KOMP)Vlcg/Wnt10a+ (more )
Structure Level Pattern Image Note
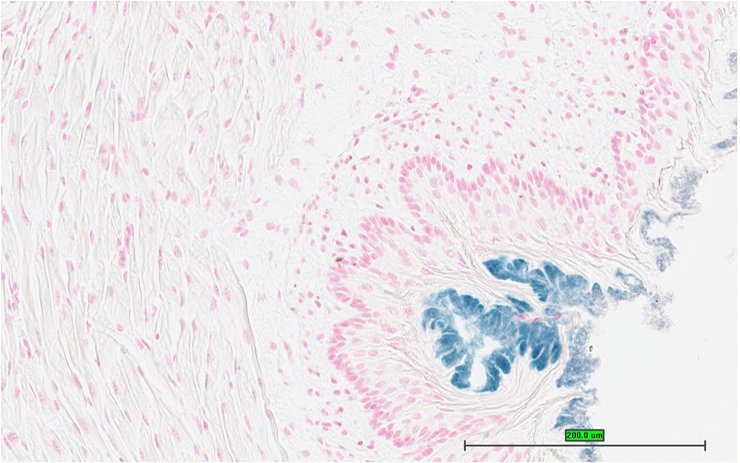
TS28: testis Present UC Davis_1856603

Specimen UC Davis_1856604: postnatal adult; Wnt10atm1.1(KOMP)Vlcg/Wnt10a+ (more )
Structure Level Pattern Image Note
TS28: testis Present UC Davis_1856604

Specimen UC Davis_1856605: postnatal adult; Wnt10atm1.1(KOMP)Vlcg/Wnt10a+ (more )
Structure Level Pattern Image Note
TS28: testis Present UC Davis_1856605

Specimen UC Davis_1856606: postnatal adult; Wnt10atm1.1(KOMP)Vlcg/Wnt10a+ (more )
Structure Level Pattern Image Note
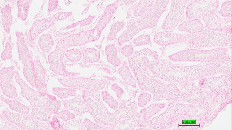
TS28: epididymis Present UC Davis_1856606

Specimen UC Davis_1856607: postnatal adult; Wnt10atm1.1(KOMP)Vlcg/Wnt10a+ (more )
Structure Level Pattern Image Note
TS28: epididymis Present UC Davis_1856607

Specimen UC Davis_1856608: postnatal adult; Wnt10atm1.1(KOMP)Vlcg/Wnt10a+ (more )
Structure Level Pattern Image Note
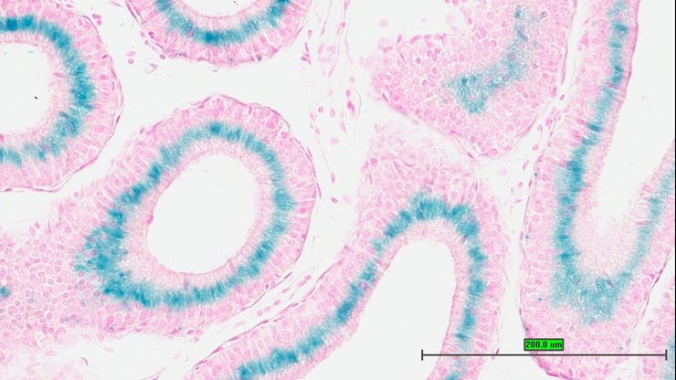
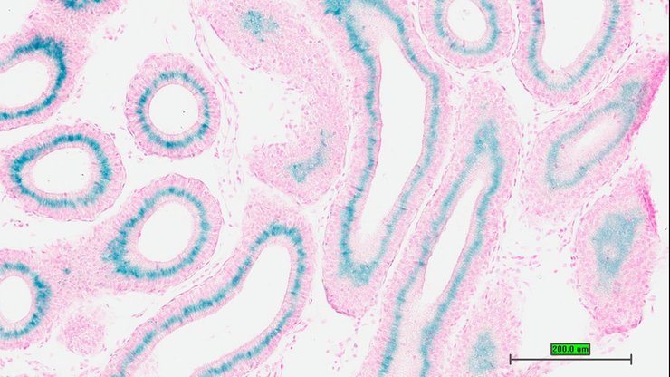
TS28: ductus deferens Present UC Davis_1856608 vas deferens

Specimen UC Davis_1856609: postnatal adult; Wnt10atm1.1(KOMP)Vlcg/Wnt10a+ (more )
Structure Level Pattern Image Note
TS28: ductus deferens Present UC Davis_1856609 vas deferens

Specimen UC Davis_1856610: postnatal adult; Wnt10atm1.1(KOMP)Vlcg/Wnt10a+ (more )
Structure Level Pattern Image Note
TS28: ductus deferens Present UC Davis_1856610 vas deferens

Specimen UC Davis_1856611: postnatal adult; Wnt10atm1.1(KOMP)Vlcg/Wnt10a+ (more )
Structure Level Pattern Image Note
TS28: ductus deferens Present UC Davis_1856611 vas deferens

Specimen UC Davis_1856612: postnatal adult; Wnt10atm1.1(KOMP)Vlcg/Wnt10a+ (more )
Structure Level Pattern Image Note
TS28: tongue Present UC Davis_1856612

Specimen UC Davis_1856613: postnatal adult; Wnt10atm1.1(KOMP)Vlcg/Wnt10a+ (more )
Structure Level Pattern Image Note
TS28: midbrain Present UC Davis_1856613

Specimen UC Davis_1856615: postnatal adult; Wnt10atm1.1(KOMP)Vlcg/Wnt10a+ (more )
Structure Level Pattern Image Note
TS28: brain Present UC Davis_1856615

Specimen UC Davis_1856616: postnatal adult; Wnt10atm1.1(KOMP)Vlcg/Wnt10a+ (more )
Structure Level Pattern Image Note
TS28: esophagus Present UC Davis_1856616


Contributing Projects:
Mouse Genome Database (MGD), Gene Expression Database (GXD), Mouse Models of Human Cancer database (MMHCdb) (formerly Mouse Tumor Biology (MTB)), Gene Ontology (GO)
Citing These Resources
Funding Information
Warranty Disclaimer, Privacy Notice, Licensing, & Copyright
Send questions and comments to User Support.
last database update
01/20/2026
MGI 6.24
The Jackson Laboratory