About   Help   FAQ
Gene Expression Data
Assay Details
Assay
Reference: J:228563 Koscielny G, et al., The International Mouse Phenotyping Consortium Web Portal, a unified point of access for knockout mice and related phenotyping data. Nucleic Acids Res. 2014 Jan;42(Database issue):D802-9
Assay type: In situ reporter (knock in)
MGI Accession ID: MGI:6691123
Gene symbol: Wnt10b
Gene name: wingless-type MMTV integration site family, member 10B
Reporter: lacZ
Direct Detection
Results
Specimen UC Davis_1874119: postnatal adult; Wnt10btm1e.1(KOMP)Wtsi/Wnt10b+ (more )
Structure Level Pattern Image Note
TS28: jejunum Present UC Davis_1874119

Specimen UC Davis_1874120: postnatal adult; Wnt10btm1e.1(KOMP)Wtsi/Wnt10b+ (more )
Structure Level Pattern Image Note
TS28: ileum Present UC Davis_1874120

Specimen UC Davis_1874122: postnatal adult; Wnt10btm1e.1(KOMP)Wtsi/Wnt10b+ (more )
Structure Level Pattern Image Note
TS28: testis Present UC Davis_1874122

Specimen UC Davis_1874123: postnatal adult; Wnt10btm1e.1(KOMP)Wtsi/Wnt10b+ (more )
Structure Level Pattern Image Note
TS28: epididymis Present UC Davis_1874123

Specimen UC Davis_1874124: postnatal adult; Wnt10btm1e.1(KOMP)Wtsi/Wnt10b+ (more )
Structure Level Pattern Image Note
TS28: prostate gland Present UC Davis_1874124

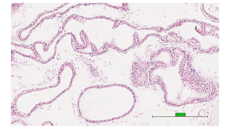
Specimen UC Davis_1874125: postnatal adult; Wnt10btm1e.1(KOMP)Wtsi/Wnt10b+ (more )
Structure Level Pattern Image Note
TS28: ductus deferens Present UC Davis_1874125 vas deferens


Contributing Projects:
Mouse Genome Database (MGD), Gene Expression Database (GXD), Mouse Models of Human Cancer database (MMHCdb) (formerly Mouse Tumor Biology (MTB)), Gene Ontology (GO)
Citing These Resources
Funding Information
Warranty Disclaimer, Privacy Notice, Licensing, & Copyright
Send questions and comments to User Support.
last database update
12/30/2025
MGI 6.24
The Jackson Laboratory