About   Help   FAQ
Gene Expression Data
Assay Details
Assay
Reference: J:228563 Koscielny G, et al., The International Mouse Phenotyping Consortium Web Portal, a unified point of access for knockout mice and related phenotyping data. Nucleic Acids Res. 2014 Jan;42(Database issue):D802-9
Assay type: In situ reporter (knock in)
MGI Accession ID: MGI:6691098
Gene symbol: Akr1b8
Gene name: aldo-keto reductase family 1, member B8
Reporter: lacZ
Direct Detection
Results
Specimen JAX_1469726: embryonic day 12.5; Akr1b8tm1.1(KOMP)Vlcg/Akr1b8+ (more )
Structure Level Pattern Image Note
TS20: embryo Present JAX_1469726

Specimen JAX_1469727: embryonic day 12.5; Akr1b8tm1.1(KOMP)Vlcg/Akr1b8+ (more )
Structure Level Pattern Image Note
TS20: embryo Present JAX_1469727

Specimen JAX_1469728: embryonic day 12.5; Akr1b8tm1.1(KOMP)Vlcg/Akr1b8+ (more )
Structure Level Pattern Image Note
TS20: embryo Present JAX_1469728

Specimen JAX_1469729: embryonic day 12.5; Akr1b8tm1.1(KOMP)Vlcg/Akr1b8+ (more )
Structure Level Pattern Image Note
TS20: embryo Present JAX_1469729

Specimen JAX_619767: embryonic day 12.5; Akr1b8tm1.1(KOMP)Vlcg/Akr1b8+ (more )
Structure Level Pattern Image Note
TS20: embryo Present JAX_619767

Specimen JAX_619769: embryonic day 12.5; Akr1b8tm1.1(KOMP)Vlcg/Akr1b8+ (more )
Structure Level Pattern Image Note
TS20: embryo Present JAX_619769

Specimen JAX_619771: embryonic day 12.5; Akr1b8tm1.1(KOMP)Vlcg/Akr1b8+ (more )
Structure Level Pattern Image Note
TS20: embryo Present JAX_619771

Specimen JAX_619773: embryonic day 12.5; Akr1b8tm1.1(KOMP)Vlcg/Akr1b8+ (more )
Structure Level Pattern Image Note
TS20: embryo Present JAX_619773

Specimen JAX_1802077: postnatal adult; Akr1b8tm1.1(KOMP)Vlcg/Akr1b8+ (more )
Structure Level Pattern Image Note
TS28: brainstem Present JAX_1802077

Specimen JAX_1802078: postnatal adult; Akr1b8tm1.1(KOMP)Vlcg/Akr1b8+ (more )
Structure Level Pattern Image Note
TS28: thyroid gland Present JAX_1802078

Specimen JAX_1802079: postnatal adult; Akr1b8tm1.1(KOMP)Vlcg/Akr1b8+ (more )
Structure Level Pattern Image Note
TS28: uterus Present JAX_1802079

Specimen JAX_1802080: postnatal adult; Akr1b8tm1.1(KOMP)Vlcg/Akr1b8+ (more )
Structure Level Pattern Image Note
TS28: thymus Present JAX_1802080

Specimen JAX_1802081: postnatal adult; Akr1b8tm1.1(KOMP)Vlcg/Akr1b8+ (more )
Structure Level Pattern Image Note
TS28: ovary Absent JAX_1802081

Specimen JAX_1802082: postnatal adult; Akr1b8tm1.1(KOMP)Vlcg/Akr1b8+ (more )
Structure Level Pattern Image Note
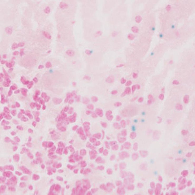
TS28: adrenal gland Present JAX_1802082

Specimen JAX_1802064: postnatal adult; Akr1b8tm1.1(KOMP)Vlcg/Akr1b8+ (more )
Structure Level Pattern Image Note
TS28: thalamus Present JAX_1802064

Specimen JAX_1802065: postnatal adult; Akr1b8tm1.1(KOMP)Vlcg/Akr1b8+ (more )
Structure Level Pattern Image Note
TS28: midbrain Present JAX_1802065

Specimen JAX_1802066: postnatal adult; Akr1b8tm1.1(KOMP)Vlcg/Akr1b8+ (more )
Structure Level Pattern Image Note
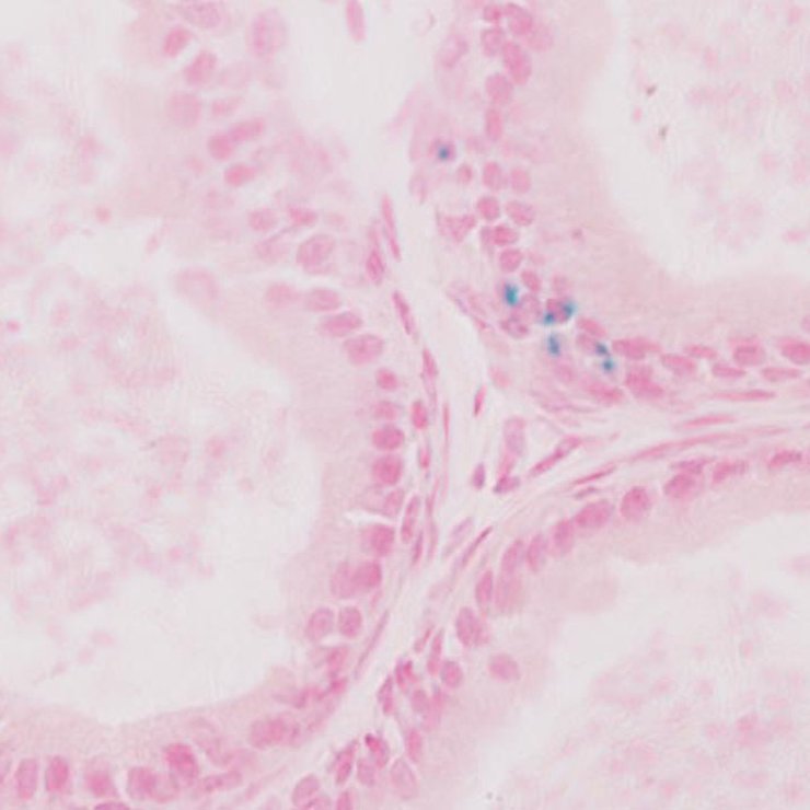
TS28: epididymis Present JAX_1802066

Specimen JAX_1802067: postnatal adult; Akr1b8tm1.1(KOMP)Vlcg/Akr1b8+ (more )
Structure Level Pattern Image Note
TS28: hypothalamus Present JAX_1802067

Specimen JAX_1802068: postnatal adult; Akr1b8tm1.1(KOMP)Vlcg/Akr1b8+ (more )
Structure Level Pattern Image Note
TS28: hippocampus Present JAX_1802068

Specimen JAX_1802069: postnatal adult; Akr1b8tm1.1(KOMP)Vlcg/Akr1b8+ (more )
Structure Level Pattern Image Note
TS28: cerebellum Present JAX_1802069

Specimen JAX_1802070: postnatal adult; Akr1b8tm1.1(KOMP)Vlcg/Akr1b8+ (more )
Structure Level Pattern Image Note
TS28: lung Present JAX_1802070

Specimen JAX_1802071: postnatal adult; Akr1b8tm1.1(KOMP)Vlcg/Akr1b8+ (more )
Structure Level Pattern Image Note
TS28: spinal cord Present JAX_1802071

Specimen JAX_1802072: postnatal adult; Akr1b8tm1.1(KOMP)Vlcg/Akr1b8+ (more )
Structure Level Pattern Image Note
TS28: large intestine Present JAX_1802072

Specimen JAX_1802073: postnatal adult; Akr1b8tm1.1(KOMP)Vlcg/Akr1b8+ (more )
Structure Level Pattern Image Note
TS28: trachea Present JAX_1802073

Specimen JAX_1802074: postnatal adult; Akr1b8tm1.1(KOMP)Vlcg/Akr1b8+ (more )
Structure Level Pattern Image Note
TS28: testis Present JAX_1802074

Specimen JAX_1802075: postnatal adult; Akr1b8tm1.1(KOMP)Vlcg/Akr1b8+ (more )
Structure Level Pattern Image Note
TS28: metanephros Present JAX_1802075 kidney

Specimen JAX_1802076: postnatal adult; Akr1b8tm1.1(KOMP)Vlcg/Akr1b8+ (more )
Structure Level Pattern Image Note
TS28: brain Present JAX_1802076


Contributing Projects:
Mouse Genome Database (MGD), Gene Expression Database (GXD), Mouse Models of Human Cancer database (MMHCdb) (formerly Mouse Tumor Biology (MTB)), Gene Ontology (GO)
Citing These Resources
Funding Information
Warranty Disclaimer, Privacy Notice, Licensing, & Copyright
Send questions and comments to User Support.
last database update
01/06/2026
MGI 6.24
The Jackson Laboratory