About   Help   FAQ
Gene Expression Data
Assay Details
Assay
Reference: J:228563 Koscielny G, et al., The International Mouse Phenotyping Consortium Web Portal, a unified point of access for knockout mice and related phenotyping data. Nucleic Acids Res. 2014 Jan;42(Database issue):D802-9
Assay type: In situ reporter (knock in)
MGI Accession ID: MGI:6691075
Gene symbol: Efna4
Gene name: ephrin A4
Reporter: lacZ
Direct Detection
Results
Specimen JAX_1804054: postnatal adult; Efna4tm1.1(KOMP)Vlcg/Efna4+ (more )
Structure Level Pattern Image Note
TS28: uterus Present JAX_1804054

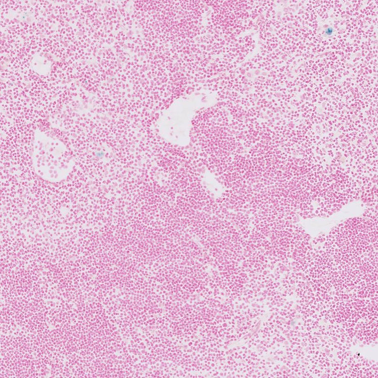
Specimen JAX_1804055: postnatal adult; Efna4tm1.1(KOMP)Vlcg/Efna4+ (more )
Structure Level Pattern Image Note
TS28: thymus Present JAX_1804055

Specimen JAX_1804056: postnatal adult; Efna4tm1.1(KOMP)Vlcg/Efna4+ (more )
Structure Level Pattern Image Note
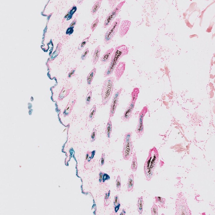
TS28: skin Present JAX_1804056

Specimen JAX_1804057: postnatal adult; Efna4tm1.1(KOMP)Vlcg/Efna4+ (more )
Structure Level Pattern Image Note
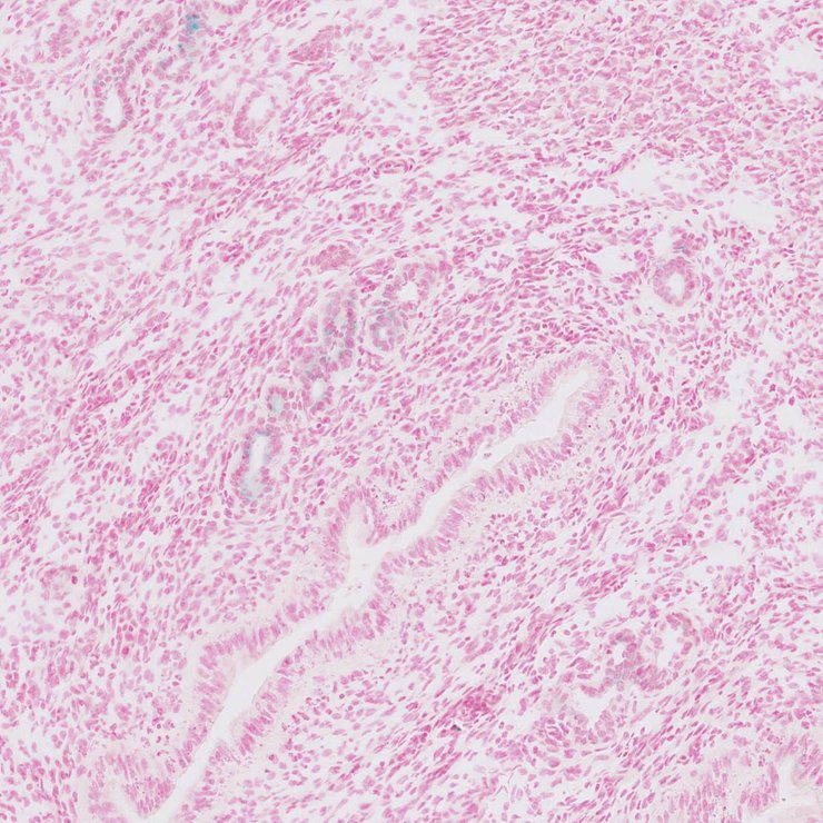
TS28: oviduct Present JAX_1804057

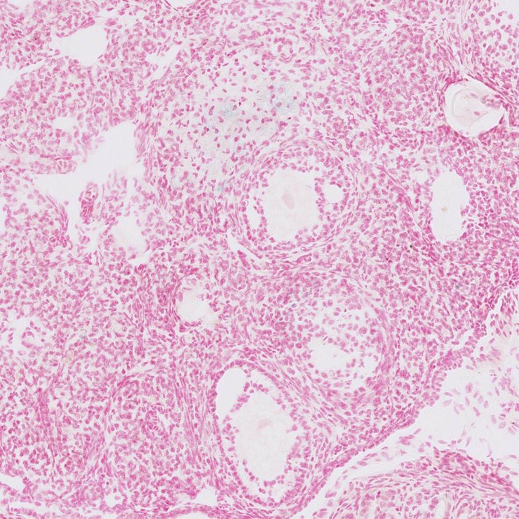
Specimen JAX_1804058: postnatal adult; Efna4tm1.1(KOMP)Vlcg/Efna4+ (more )
Structure Level Pattern Image Note
TS28: ovary Present JAX_1804058

Specimen JAX_1804051: postnatal adult; Efna4tm1.1(KOMP)Vlcg/Efna4+ (more )
Structure Level Pattern Image Note
TS28: submandibular gland Present JAX_1804051

Specimen JAX_1804052: postnatal adult; Efna4tm1.1(KOMP)Vlcg/Efna4+ (more )
Structure Level Pattern Image Note
TS28: testis Present JAX_1804052

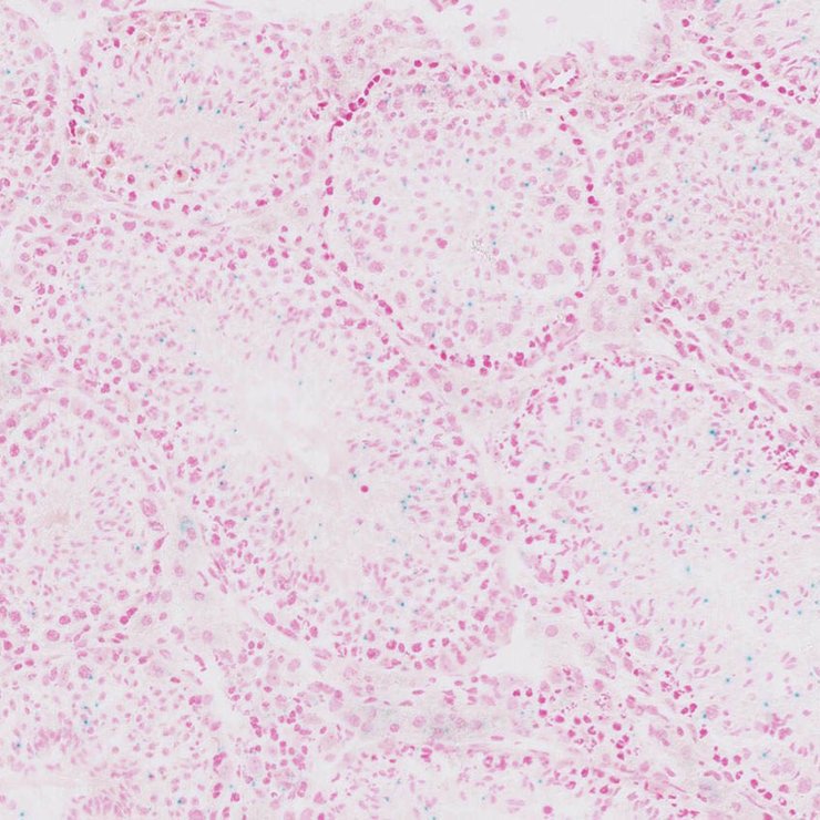
Specimen JAX_1804053: postnatal adult; Efna4tm1.1(KOMP)Vlcg/Efna4+ (more )
Structure Level Pattern Image Note
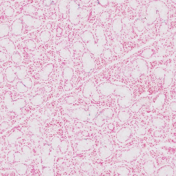
TS28: metanephros Present JAX_1804053 kidney


Contributing Projects:
Mouse Genome Database (MGD), Gene Expression Database (GXD), Mouse Models of Human Cancer database (MMHCdb) (formerly Mouse Tumor Biology (MTB)), Gene Ontology (GO)
Citing These Resources
Funding Information
Warranty Disclaimer, Privacy Notice, Licensing, & Copyright
Send questions and comments to User Support.
last database update
12/30/2025
MGI 6.24
The Jackson Laboratory