About   Help   FAQ
Gene Expression Data
Assay Details
Assay
Reference: J:228563 Koscielny G, et al., The International Mouse Phenotyping Consortium Web Portal, a unified point of access for knockout mice and related phenotyping data. Nucleic Acids Res. 2014 Jan;42(Database issue):D802-9
Assay type: In situ reporter (knock in)
MGI Accession ID: MGI:6691067
Gene symbol: Nhsl1
Gene name: NHS like 1
Reporter: lacZ
Direct Detection
Results
Specimen UC Davis_1882678: postnatal adult; Nhsl1tm1.1(KOMP)Vlcg/Nhsl1+ (more )
Structure Level Pattern Image Note
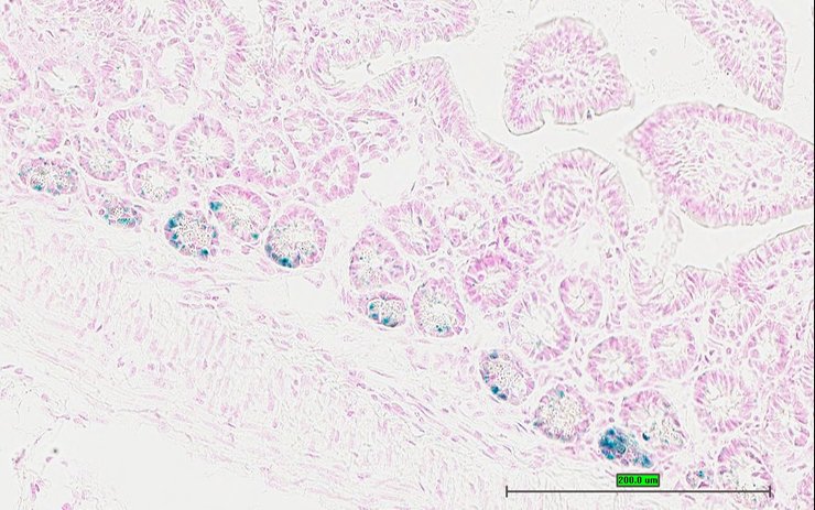
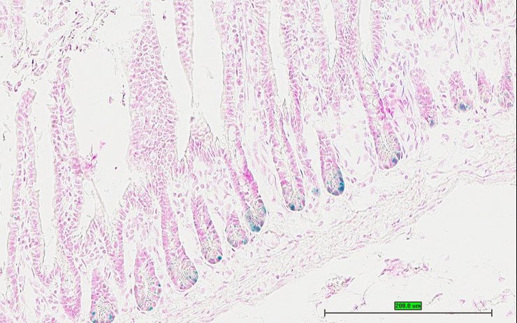
TS28: ileum Present UC Davis_1882678

Specimen UC Davis_1882679: postnatal adult; Nhsl1tm1.1(KOMP)Vlcg/Nhsl1+ (more )
Structure Level Pattern Image Note
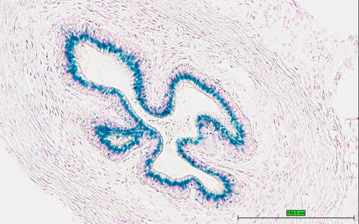
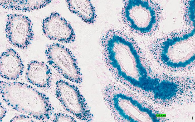
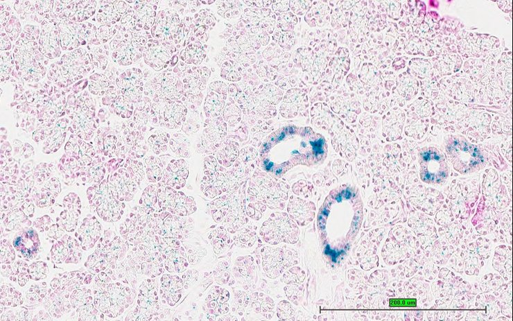
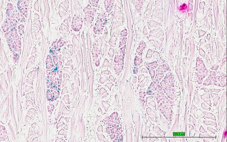
TS28: submandibular gland Present UC Davis_1882679

Specimen UC Davis_1882680: postnatal adult; Nhsl1tm1.1(KOMP)Vlcg/Nhsl1+ (more )
Structure Level Pattern Image Note
TS28: submandibular gland Present UC Davis_1882680

Specimen UC Davis_1882681: postnatal adult; Nhsl1tm1.1(KOMP)Vlcg/Nhsl1+ (more )
Structure Level Pattern Image Note
TS28: sublingual gland Present UC Davis_1882681

Specimen UC Davis_1882682: postnatal adult; Nhsl1tm1.1(KOMP)Vlcg/Nhsl1+ (more )
Structure Level Pattern Image Note
TS28: parotid gland Present UC Davis_1882682

Specimen UC Davis_1882683: postnatal adult; Nhsl1tm1.1(KOMP)Vlcg/Nhsl1+ (more )
Structure Level Pattern Image Note
TS28: trachea Present UC Davis_1882683

Specimen UC Davis_1882684: postnatal adult; Nhsl1tm1.1(KOMP)Vlcg/Nhsl1+ (more )
Structure Level Pattern Image Note
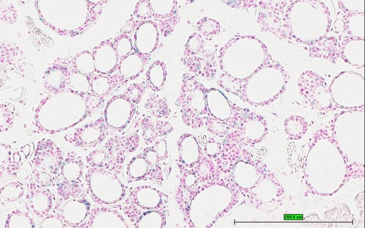
TS28: thyroid gland Present UC Davis_1882684

Specimen UC Davis_1882686: postnatal adult; Nhsl1tm1.1(KOMP)Vlcg/Nhsl1+ (more )
Structure Level Pattern Image Note
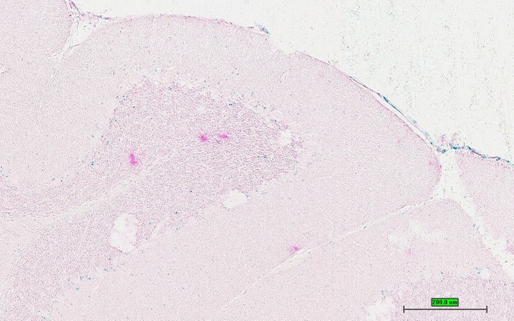
TS28: parathyroid gland Present UC Davis_1882686

Specimen UC Davis_1882690: postnatal adult; Nhsl1tm1.1(KOMP)Vlcg/Nhsl1+ (more )
Structure Level Pattern Image Note
TS28: jejunum Present UC Davis_1882690

Specimen UC Davis_1882691: postnatal adult; Nhsl1tm1.1(KOMP)Vlcg/Nhsl1+ (more )
Structure Level Pattern Image Note
TS28: ileum Present UC Davis_1882691

Specimen UC Davis_1882692: postnatal adult; Nhsl1tm1.1(KOMP)Vlcg/Nhsl1+ (more )
Structure Level Pattern Image Note
TS28: liver Present UC Davis_1882692

Specimen UC Davis_1882693: postnatal adult; Nhsl1tm1.1(KOMP)Vlcg/Nhsl1+ (more )
Structure Level Pattern Image Note
TS28: liver Present UC Davis_1882693

Specimen UC Davis_1882694: postnatal adult; Nhsl1tm1.1(KOMP)Vlcg/Nhsl1+ (more )
Structure Level Pattern Image Note
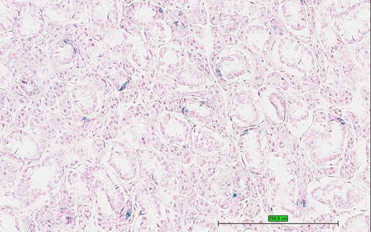
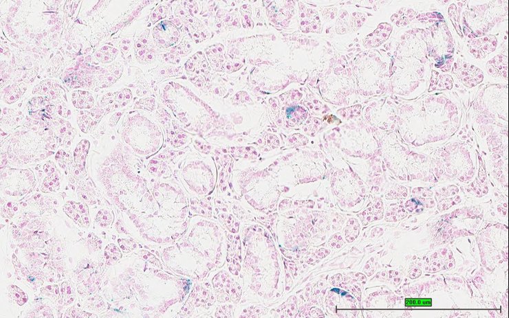
TS28: metanephros Present UC Davis_1882694 kidney

Specimen UC Davis_1882695: postnatal adult; Nhsl1tm1.1(KOMP)Vlcg/Nhsl1+ (more )
Structure Level Pattern Image Note
TS28: tongue Present UC Davis_1882695

Specimen UC Davis_1882696: postnatal adult; Nhsl1tm1.1(KOMP)Vlcg/Nhsl1+ (more )
Structure Level Pattern Image Note
TS28: tongue Present UC Davis_1882696

Specimen UC Davis_1882697: postnatal adult; Nhsl1tm1.1(KOMP)Vlcg/Nhsl1+ (more )
Structure Level Pattern Image Note
TS28: eye Present UC Davis_1882697

Specimen UC Davis_1882698: postnatal adult; Nhsl1tm1.1(KOMP)Vlcg/Nhsl1+ (more )
Structure Level Pattern Image Note
TS28: eye Present UC Davis_1882698

Specimen UC Davis_1882699: postnatal adult; Nhsl1tm1.1(KOMP)Vlcg/Nhsl1+ (more )
Structure Level Pattern Image Note
TS28: eye Present UC Davis_1882699

Specimen UC Davis_1882701: postnatal adult; Nhsl1tm1.1(KOMP)Vlcg/Nhsl1+ (more )
Structure Level Pattern Image Note
TS28: Harderian gland Present UC Davis_1882701

Specimen UC Davis_1882702: postnatal adult; Nhsl1tm1.1(KOMP)Vlcg/Nhsl1+ (more )
Structure Level Pattern Image Note
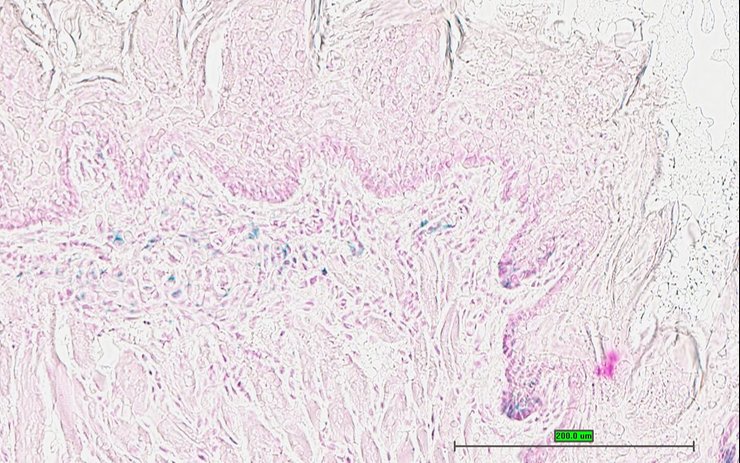
TS28: skin Present UC Davis_1882702

Specimen UC Davis_1882705: postnatal adult; Nhsl1tm1.1(KOMP)Vlcg/Nhsl1+ (more )
Structure Level Pattern Image Note
TS28: midbrain Present UC Davis_1882705

Specimen UC Davis_1882706: postnatal adult; Nhsl1tm1.1(KOMP)Vlcg/Nhsl1+ (more )
Structure Level Pattern Image Note
TS28: cerebellum Present UC Davis_1882706

Specimen UC Davis_1882707: postnatal adult; Nhsl1tm1.1(KOMP)Vlcg/Nhsl1+ (more )
Structure Level Pattern Image Note
TS28: cerebellum Present UC Davis_1882707

Specimen UC Davis_1882708: postnatal adult; Nhsl1tm1.1(KOMP)Vlcg/Nhsl1+ (more )
Structure Level Pattern Image Note
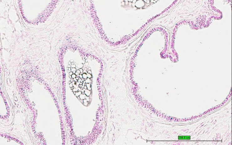
TS28: epididymis Present UC Davis_1882708

Specimen UC Davis_1882709: postnatal adult; Nhsl1tm1.1(KOMP)Vlcg/Nhsl1+ (more )
Structure Level Pattern Image Note
TS28: epididymis Present UC Davis_1882709

Specimen UC Davis_1882710: postnatal adult; Nhsl1tm1.1(KOMP)Vlcg/Nhsl1+ (more )
Structure Level Pattern Image Note
TS28: epididymis Present UC Davis_1882710

Specimen UC Davis_1882711: postnatal adult; Nhsl1tm1.1(KOMP)Vlcg/Nhsl1+ (more )
Structure Level Pattern Image Note
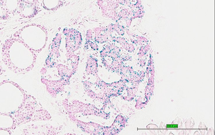
TS28: prostate gland Present UC Davis_1882711

Specimen UC Davis_1882712: postnatal adult; Nhsl1tm1.1(KOMP)Vlcg/Nhsl1+ (more )
Structure Level Pattern Image Note
TS28: penis Present UC Davis_1882712

Specimen UC Davis_1882713: postnatal adult; Nhsl1tm1.1(KOMP)Vlcg/Nhsl1+ (more )
Structure Level Pattern Image Note
TS28: ductus deferens Present UC Davis_1882713 vas deferens


Contributing Projects:
Mouse Genome Database (MGD), Gene Expression Database (GXD), Mouse Models of Human Cancer database (MMHCdb) (formerly Mouse Tumor Biology (MTB)), Gene Ontology (GO)
Citing These Resources
Funding Information
Warranty Disclaimer, Privacy Notice, Licensing, & Copyright
Send questions and comments to User Support.
last database update
12/30/2025
MGI 6.24
The Jackson Laboratory